brunch

고무줄 키, 거북목 일자목 교정하면 해결되요

배우 정경호 키, 미스테리 그 답은 일자목, 안면비대칭

by 신정민


우리 슬기로운 준완쌤이 요즘 확실히 대세가 맞나봅니다. 의도하지 않았는데 이번 글의 주인공도 배우 정경호 씨입니다. 지난 번에 정경호씨가 안면비대칭과 이와 밀접한 관련이 있는 구조적인 문제가 함께 보인다는 말씀을 드렸었는데요. 글을 올리고 얼마 안있다가 페이스북에서 일반인이 올린 것으로 보이는 한 게시물이 엄청난 조회수를 받으면서 공유가 되고 있었습니다. 바로 이 글입니다.


http://bbijju.kr/list/board_content.asp?idx=20200601224540&page=1


그 내용인 즉슨 정경호 배우 키가 어떤 사진에서는 178인 이준기 배우보다 작아보였다 어떤 경우는 182인 소지섭 배우하고 서면 비슷해 보이고 또 184인 하정우 배우 옆에 서니 또 똑같아 보이는 등등 이상하게 사진마다 키가 다르게 보이는 고무줄 키라는 점이었습니다. 카메라 문제다. 실물을 보면 저 키가 맞을거다.. 실제 키는 180정도 인거 같다 등등 다양한 결론을 내고 있더라구요.

그래서 슬기로운 의사생활을 다시보기 해서 뒤져 봤더니 많은 영상에서 183이라는 유연석 배우하고 비슷해 보이는 것으로 보입니다. 프로필 상 키 184가 정경호 배우의 키가 맞는 거 같아요.



정경호 배우의 키는 왜 고무줄처럼 늘었다 줄었다 하는 걸까요? 이러한 패턴은 거묵복과 척추측만증, 골반불균형 등의 구조적 문제를 갖고 있고 자세습관이 나쁜 분들에게 흔히 관찰되는 현상입니다.

이 사진을 보면 정경호 씨는 다른 99즈의 모습과는 달리 헤드 포지션이 유달리 앞쪽으로 많이 가있습니다. 거북목일 될 때 동반되는 라운더 숄더, 굽은 등까지 진행되어 있는 것으로 보입니다. 헤드포지션이 앞쪽으로 빠져있다보니 목을 세우는 정도에 따라 키가 달라보이는 효과를 내는 것입니다. 턱을 당기고 구부정한 등과 허리를 편 자세에서는 원래 키로 보였다 헤드가 전방으로 치우친 자세로 찍힌 사진에서는 작아보이는 것입니다. 그 정도에 따라 키가 고무줄처럼 커보였다 작아보였다 하는 것이죠.


거북목은 어떤 질환인가요?



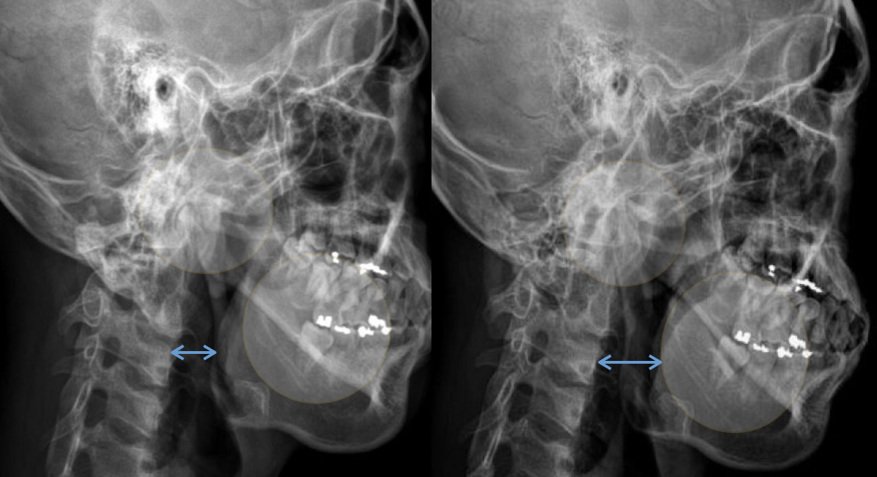
거북목을 가진 사람들은 보통 굽은 등을 함께 갖고 있기 때문에 경추에서 흉추, 요추, 골반까지 생리적인 커브에서 많이 무너져있고 견갑대의 위치가 불안정합니다. 엑스레이로 본다면 위와 형태를 갖고 있는 경우가 대부분입니다. 몸의 무게 중심이 이처럼 앞쪽으로 이동해 있고 경추의 커브가 무너지면서 흉추의 과후만되고 요추는 과전만되는 상태로 생리적인 커브가 무너지는 것입니다.



거북목은 얼굴이 앞으로 나오면서 목의 정상 커브인 c자 커브가 사라지면서 일자커브나 역커브의 형태로 변하고 어깨는 말리고 등은 굽는 특징적인 자세 패턴을 의미합니다.이처럼 일자목, 전방두부자세, 굽은 등과 연관된 거북목은 잘못된 자세 습관에 발생하는 대표적인 질병입니다.





거북목 교정하면 어떤 효과가 있나?


1. 목어깨 통증, 두통 치료


앞으로 쏠리는 머리를 잡아주기 위해서 뒷목 밑어깨, 그리고 어깨와 머리를 이어주는 여러 근육들이 과도하게 긴장하여 피로도가 증가합니다. 그래서 목어깨와 머리를 연결하는 근육이 과긴장되면서 두통과 목어깨 통증이 발생하는데요. 거북목 교정을 하면 근육의 이완으로 이러한 통증이 사라집니다.




2. 얼굴과 두상의 입체적 변화


거북목은 턱관절장애,얼굴비대칭, 긴얼굴 등과 같은 얼굴변형과 매우 관계가 깊습니다. 경추의 균형이 깨지면 상부 경추와 균형맞추기 위한 턱관절의 틀어짐이 필수적으로 생깁니다. 또한 두개안면골의 변형으로 이어질 수 있는데, 측두골의 경상돌기 위치가 전방으로 이동해 두개골의 염전이 발생할 수 있고 후두골-접형골 연접부위 (SBS)와 측두하악 관절 부위의 위치 비틀림으로 이어질 수 있습니다.


두개골의 비틀림은 목의 중심이 앞으로 이동하면 여러 근육의 위치 불균형과 동반되어 발생합니다. 특히 측두골의 경상돌기의 위치가 전방으로 이동하는 것은 흉쇄유돌근의 과긴장으로 인해 일어나고 두반극근의 힘의 방향이 앞으로 이동하면서 SBS의 신전되어 후두골이 납작해지는 현상이 발생합니다. 또한 거북목을 갖고 있는 사람은 설골의 위치가 뒤로 밀리고 혀밑바닥 근육이 아래로 떨어지면서 아래턱이 두툼한 이중턱이 됩니다. 그래서 거북목이 교정으로 설골 주변의 근육의 역학의 변화로 아래턱 라인이 매끈하게 바뀌게 됩니다.

정상 목과 거북목의 두상의 볼록함 차이

결국 거북목이 교정되고 나면 전체적으로 얼굴형태가 입체적으로 바뀌고 납작했던 두상 형태도 위의 그림처럼 볼록함이 증가되면서 입체적인 형태로 교정이 될 것입니다. 사실 전신부정렬 개선을 염두해두고 진행하는 안면비대칭 교정 치료에서는 안면비대칭, 두상비대칭은 당연하게 같이 치료될 수 밖에 없는 부분입니다.


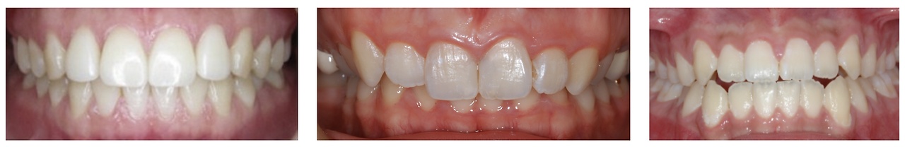
2. 치아 교합의 변화

전방두부 자세에서는 아래턱이 뒤로 밀리게 되는데, 이는 과개교합, 즉 교합의 부조화로도 이어집니다. 과개교합은 턱관절장애와 관련이 깊은 치아교합 형태입니다.

정상 교합 / 과개교합 / 반대교합

실제로 안면비대칭 교정으로 하악의 위치가 앞쪽으로 이동하면서 거북목이 개선되어 경추 커브가 바뀌고 아래턱의 위치가 앞으로 이동해서 치아의 교합까지 정상 교합에 가깝게 변화가 생깁니다.




3. 코골이 개선, 구강근기능 개선

설골의 위치가 후상방으로 이동하면서 설골을 잡고 있는 설골상근이나 흉골설골근, 견갑설골근 등 혀 밑바닥 근육의 변화로 혀 근육이 불균형해져 씹고 삼킬 때 혀의 컨트롤 능력이 떨어지게 됩니다. 그래서 음식을 씹고 삼킬 때 혀의 움직임이 불량해지는 구강근기능장애가 발생할 수 있습니다. 또한 혀가 뒤로 밀리면서 기도가 좁아지면 공기가 좁은 기도를 지나가면서 입천장, 목젖, 혀 등의 연조직의 마찰음을 만들게 되면서 코골이가 심해집니다. 그래서 거북목이 교정되면 코콜이가 줍니다.


4. 호흡 개선
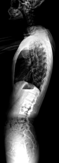
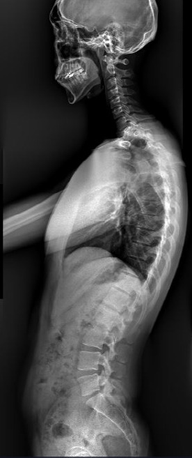
안면비대칭 교정, 거북목 교정 후 좁아서 기도가 확장되었습니다.


아래턱이 뒤로 밀리면 상대적으로 기도의 직경이 좁아집니다. 이런 경우 airway를 확보하기 위한 보상반응으로 목을 더 앞으로 빼는 자세를 취하게 되서 악순환은 반복됩니다. 안면비대칭 교정을 통해 거북목이 교정되면 아래턱이 앞으로 이동하면서 기도가 확보되면 목을 앞으로 빼지 않아도 airway가 충분히 확보되어 호흡이 편해집니다.


5. 숨어있는 키 되찾기

실제로 환자분들이 "안면비대칭 교정하고 키가 3cm나 컸어요." "요즘 키가 큰 거 같다는 말을 많이 들어요" 라는 말씀을 하실 때가 있습니다. 제가 무슨 요술을 부려서 이미 성장이 끝난 성인의 키를 키우는 것이 아닙니다. 커브의 변형으로 몸의 무게 중심이 앞쪽으로 이동하면서 두개골의 가장 꼭대기에 위치한 일정 점이 전하방으로 이동되어 키가 작아집니다. 또한 생리적인 커브가 깨지면 척추 분절사이를 완충해주던 디스크에 압박되어 상대적으로 줄게 되는 것이지요. 그래서 거북목 교정하고 나면 헤드포지션이 개선되고 정상적인 커브의 회복으로 디스크의 압박이 사라지기 때문에 생기는 키가 당연히 커지게 되는 것입니다.




거북목을 교정해서 바른 자세를 찾는 것,
그것이 당신의 숨어있는 매력을 찾는 방법입니다.



text neck syndrome 이라는 별칭으로 불리는 거북목, 어쩌면 스마트폰과 뗄래야 뗄 수 없는 삶을 살아가는 현대인들에게 거북목은 필연적인 건강 문제가 아닐까 합니다.


거북목 교정 스트레칭 운동


거북목과 이와 동반된 라운드 숄더와 굽은 등을 함께 교정할 수 있는 스트레칭 동작을 두가지 알려드려볼게요. 첫번째 동작은 경추 커브를 개선하는 스트레칭입니다. 이 동작을 할 때는 우선 아래턱을 잡아당겨 이중턱 만든다는 느낌으로 몸의 뒤쪽으로 쭉 늘려줍니다. 이때 포인트가 턱을 뒤로 밀면서 동시에 머리 끝을 위로 살짝 들어주는 방향의 힘을 동시에 줘야 경추의 facet 이 손상되는 것을 예방하면서 제대로 경추에 자극을 줄 수 있습니다.

두번째로 이제 말린 어깨와 굽은 등을 스트레칭해주는 동작으로 넘어가보겠습니다. 거북목이 있으면 어깨가 말리고 등이 굽게 됩니다. 그러면서 견갑대가 아주 불안정해지고 등근육이 단축되면서 통증이 발생하기도 합니다. 이 동작은 견갑대를 풀고 등을 이완해주는 자세입니다.

거북목을 예방하려면 평소 생활습관도 중요합니다. 우선 앉아있을 때 등을 구부리고 배를 접어서 앉지 마시고 허리에 쿠션을 대주시고 컴퓨터 모니터를 눈아래 10-15도 사이에 오도록 놓아주시구요. 스마트폰 많이 보시잖아요. 그때 목을 숙이지 마시고 팔을 고생시키는 것이 좋습니다. 또 한가지 더 엎드려서 책을 보거나 스마트폰을 보는 습관이 있다면 꼭 바꿔주셔야 합니다.




참고문헌/

1. 도널드 뉴만. 근육뼈대계통의 기능해부학 및 운동학, 법문에듀케이션(2017)



신 정 민 / 전직 약사 & 현직 한의사

강남 참진한의원 얼핏클리닉에서 난치성여드름, 여드름흉터, 얼굴교정 진료 (안면비대칭, 턱관절장애, 주름, 리프팅, 성장기 얼굴형 교정, 거북목 교정 )를 진료하고 있습니다. 병원에서는 알려주지 않는 약물과 의학 정보과 임상 현장 경험을 반영한 얼굴 건강에 대한 지식을 여러분들과 함께 나누고자 짬짬이 글을 쓰고 있습니다. 제 글을 통해 많은 분들이 건강해지고 행복해지길 진심으로 바랍니다.




keyword
매거진의 이전글집에만 있었더니 콕하고 생겨버린 나쁜 자세 습관 6가지