brunch

콜라색 소변, 혈뇨

by 예재호

1. 소변이 너무 빨갛거나 시꺼멓게 나와서 걱정이 되었던 적 있나요? 오늘은 혈뇨에 대해서 간단하게 알아보겠습니다.


20111223160008_0_30255 (2).jpg 출처 : 아산병원


2. 소변의 색이 무조건 변해야 혈뇨라고 부를 것 같지만 사실 꼭 그런 것은 아닙니다. 저희 과엔 평소 아무렇지 않았는데 건강검진에서 갑자기 혈뇨가 나온다고 해서 내원하시는 분들이 더 많은 것 같습니다. 섞인 적혈구의 양이 얼마나 되냐에 따라 소변의 색이 짙어지긴 하지만, 많이 섞여 있다고 해서 꼭 더 나쁘다고 보기도 어렵습니다.

사실 개인적으로는 육안적 혈뇨, 즉 눈에 보이는 혈뇨보다 현미경적 혈뇨에 대해 더 긴장하게 됩니다.


3. 앞서 말씀드렸듯 혈뇨에서 가장 중요한 점은 피가 얼마나 나냐보다는 "피가 대체 어디에서 나서. 소변에 섞이고 있는가?"를 알아내는 것이라 할 수 있습니다. 혈뇨가 발생한 장소에 따라 치료가 모두 다르고 예후도 다르기 때문입니다.




4. 소변이 만들어지는 과정에 대해 정리해 보겠습니다.


첫 번째로 신장에서 소변 원뇨가 최초로 만들어지는 과정은 착즙기와 비슷한 원리로 진행됩니다. 마치 검문하듯 우리 몸의 전체 혈액이 분당 약 1L의 속도로 신장을 통과합니다. 이때 사구체라는 곳에서 압력 차를 이용해 혈관 내부에서 외부로 쥐어짜며 필요 없는 것들을 모세혈관 밖으로 내보냅니다. 이때 밀려 나와 만들어진 최초의 액체를 우리는 원뇨라고 부릅니다.


licensed-image.jpg


5. 원뇨는 농축되고 재흡수되어 최종적으로는 1/100로 용량이 줄어들어 신장 밖으로 나오게 됩니다. 방울방울 떨어지는 소변은 요관이라는 가늘고 긴, 옆구리에 있는 한 쌍의 관을 통해 방광으로 모이게 됩니다. 단순하게 중력을 이용해 똑똑 떨어지는 것을 상상하지는 마세요. 요관에는 근육이 있어 방광 쪽으로 소변을 내려보내고, 신장으로 역류하는 걸 막는 똑똑한 기관입니다.


_B000228_Function.jpg 출처 : 아산병원


6. 요관을 통과한 소변은 방광이라는 주머니에서 밖으로 나오기까지 기다리게 됩니다. 드디어 우리가 요의를 느끼고 몸 밖으로 소변을 내보내기 전의 길을 요도라고 하고 남자는 그 사이에 전립선이라는 구조물이 있습니다.


이렇게 소변이 만들어져서 몸 밖으로 배출되는 과정 어디에서나 적혈구는 섞일 수가 있습니다.




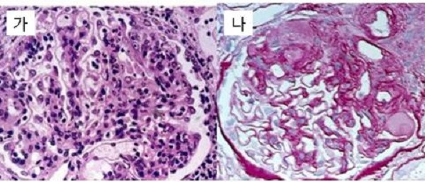
7. 첫 번째로 원뇨가 만들어지는 신장 부위에서 혈뇨가 발생한 경우를 살펴보겠습니다.


착즙 과정, 즉 사구체에서 여과되는 과정에서 적혈구가 빠져나오는 경우가 있습니다. 학교 신체검사에서 혈뇨가 나왔다거나 하면 이 경우일 가능성이 있습니다. 적혈구는 원래 여과될 수 없는 큰 크기이므로 여과막을 통과하면서 '찌그러지고 모양이 변형되는 특징'이 있어, 소변 현미경 검사에서 변형 적혈구가 관찰되는 경우가 많습니다. 사구체에서 기원한 혈뇨 환자는 피부 반점이 있기도 하며, 이곳저곳이 붓기도 하고 혈압이 갑자기 크게 높아지기도 하는 등 전신적인 증상을 동반할 수 있습니다.


37590_4718_374.jpg


신장암이 생겨도 혈뇨가 발생할 수 있습니다. 여과 과정과는 무관하지만, 종양 때문에 출혈이 생기고 이것이 소변으로 나오는 경우입니다. 둘의 공통점은 조직검사를 받게 될 가능성이 높다는 것입니다.




8. 두 번째로 신장에서 나와 요관을 통해 방광으로 내려가는 길에 나온 적혈구가 소변에 섞이는 경우입니다. 우리가 잘 아는 요로결석이 대표적인 원인입니다. 작은 관을 막아 버린 결석 때문에 요관이 상처가 나고 그 상처를 통해 피가 섞입니다. 옆구리 통증이 매우 심하고, 육안적으로도 혈뇨가 보이며, 재발이 잦기 때문에 환자들이 잘 압니다. 혈뇨 중에서는 뚜렷한 증상이 있기에 비교적 쉽게 원인을 파악할 수 있고 (비록 고통스러우나) 치료 과정 또한 썩 명쾌한 편에 속한다고 생각합니다.


35b15d1953fef.jpg




9. 세 번째로 요관 아래, 즉 방광 부위에서 혈뇨가 발생하는 경우입니다. 이곳에서 발생한 혈뇨는 감염과 연관이 깊습니다. 발열, 오한, 오심, 구토, 치골 부위나 방광 쪽 통증, 악취 나는 소변, 소변의 횟수 증가, 소변 중 통증 등을 호소합니다. 이른바, 요로감염입니다. 물론 요로감염이 심해지면 신우신염으로 진행될 수 있어 감염성 혈뇨를 전부 하루 요로에서 기원한 혈뇨로 분류하면 안 되긴 하겠습니다.


남성의 경우 전립선염으로 혈뇨가 생길 수 있습니다. 이 경우 고환과 항문 사이 부위에 통증과 열감을 호소할 수 있습니다. 다만 고령일 경우 방광암이나 전립선암의 가능성이 있으니, 주의가 필요합니다.




10. 유사 혈뇨도 있습니다. 횡문근융해증은 실제 적혈구가 섞이지 않았음에도 콜라 색 소변을 보는데 이는 헤모글로빈과 근육세포의 미오글로빈이 비슷하기 때문입니다.


11. 일반 동네 내과에서도 혈뇨의 기원을 파악하기 위한 기본적인 검사가 가능합니다. 단순 소변검사만으로도 농뇨나 단백뇨가 동반되었는지 알 수 있으므로 조직검사, 영상의학적 검사 등의 추가 검사가 필요한지 비교적 쉽게 가늠할 수 있습니다. 찌그러진 적혈구가 얼마나 포함되어 있나에 대한 변형 적혈구 검사 (dysmorphic RBC) 와 요 중 헤모시데린 검사는 사구체 기원 혈뇨를 감별하는 데도움이 됩니다.

keyword
이전 23화레고 브릭 갯수가 문제입니다.