brunch

우유병 우식증

아이의 치아 관리

by 김동석

제가 어렸을 때만 해도 부모님들은 “사탕이나 초콜릿 같은 거 준다고 모르는 사람 따라가면 안 된다.”라고 자주 말하셨습니다. 이제는 흔한 것들이지만 예전에는 그렇지 않았죠. 아이들은 아주 단 것의 유혹에 쉽게 빠집니다. 그런데 아이들이 일부러 단 것을 먹지도 않았는데 치아가 다 썩어버리는 어이없는 일이 생길 수 있습니다. 바로 우유병 우식증(nursing bottle caries)입니다. 아이는 엄마가 물려준 젖병을 물고 맛있게 빤 것뿐인데 어느덧 앞니가 다 삭아버리고 마는 것입니다.

우유병 우식증이라는 이름이 붙어있기는 하지만 정식 명칭은 조기 유아기 우식증(early childhood caries)입니다. 우유병 우식증이라는 이름이 생긴 것은 자기 직전에 물리는 젖병이 원인이 되기도 하기 때문입니다. 잠을 자기 전에 오랜 시간 동안 우유, 유동식, 이유식, 과일주스 등이 들어있는 우유병을 물고 있으면 잠이 들면, 타액분비가 줄어들면서 잠든 시간 내내 입 안의 우유 찌꺼기 등이 고이기 때문에 충치를 일으키게 됩니다. 보통은 잘 썩지 않는 앞니의 편평한 면에 생기고 그 진행 속도가 무척 빠른 특징이 있습니다. 특히 윗니의 앞니 4개가 대부분 해당됩니다. 우유병 우식증은 진행 속도도 빨라서 엄마가 잠시 신경을 쓰지 않는 한 달 사이에 뿌리까지 다 썩어버리는 일이 생기기도 합니다. 탈회되거나 갈색으로 보이다가 시커멓게 변하기도 합니다. 아이의 천사 같은 미소에 어울리지 않는 앞니가 되어버리고 마는 안타까운 일입니다.


어차피 뽑을 이라고 생각하고 대수롭지 않게 생각해버리는 어머니들을 간혹 봅니다. 하지만 젖니는 아이의 영양섭취에 중요하고 영구치가 올라오기 전까지 공간을 잘 보존해 덧니가 나지 않도록 해줍니다. 씹는 기능을 유지하는 것은 아이의 턱뼈 성장에도 중요합니다. 단순히 보기 안 좋은 것을 떠나 앞니의 역할은 더 많다는 거죠.


아이가 젖병을 물지 않고 자는 것이 가장 중요합니다. 먹은 후에는 반드시 젖은 헝겊이나 거즈로 치아와 잇몸, 혀, 입천장 등을 잘 닦아주어야 합니다. 습관 때문에 어쩔 수 없이 젖병을 물고 재워야 한다면 당분이 들어있지 않은 보리차 등으로 바꿔야 합니다. 그리고 첫돌이 지나고 나면 젖병이 아닌 컵으로 마시는 습관을 들이도록 해야 합니다.


충치가 심하게 진행되기 전에 치료하는 것이 무엇보다 중요합니다. 진행 속도가 빠르기 때문에 앞니가 약간 변색되기 시작했다면 빨리 치과 진료를 받아보시는 것이 좋습니다. 검사 후에 심각한 상태가 아니라면 정기적인 검사와 주기적 불소도포 등으로 진행 속도를 늦추고 관찰하면 예방적 치료만으로도 해결할 수 있습니다. 우유병 우식증은 부모의 책임입니다.














원래 약한 치아 - 치과 진료실 엿보기


진료를 하다 보면 “내가 원래 치아가 좀 약해.”라고 말하는 걸 종종 듣습니다. 대부분은 관리가 잘되지 않아서 생기는 문제죠. 하지만 치아 자체가 원래 좀 약한 사람들이 있기는 합니다. 대표적인 것이 바로 법랑질 형성시기의 영양결핍, 유전적인 영향으로 생기는 법랑질형성부전증입니다. 법랑질은 우리 몸에서 가장 단단한 부위입니다. 뼈도 씹어 먹을 수 있는 이유가 바로 이 법랑질이 존재하기 때문이라고 봐도 무방합니다.


법랑질형성부전증은 유치와 영구치 모두에서 발생할 수 있으며 흔히 법랑질이 벗겨지는 형태로 나타나고 벗겨진 부분이 갈색 등으로 변하게 됩니다. 특징적으로 법랑질에만 해당되어서 치아의 내부와 뿌리 등은 멀쩡하기 때문에 적절한 치료를 받으면 영구적으로 사용하는 것에는 큰 문제가 없습니다. 다만 방치할 경우 벗겨진 법랑질과 얇은 법랑질이 추가적으로 마모되면 내부의 상아질은 아주 빠른 속도로 마모되거나 썩어서 더 심각해질 수 있습니다. 따라서 치아의 표면이 벗겨지거나 색이 변하는 경우에는 빨리 치과에서 검사를 받아보시는 것이 좋습니다.


법랑질형성부전증의 치료


심하게 썩지 않는 이상 아프지 않고 기능적인 문제도 없기 때문에 치료 시기를 놓치기 쉽습니다. 따라서 정기적인 검사가 중요합니다.


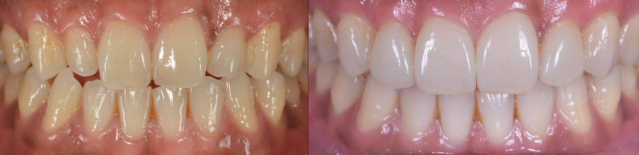
결손 된 법랑질은 장애가 발생한 시기를 기준으로 형성 부전형, 석회화 부전형, 성숙 부전형 등으로 나눌 수 있습니다. 상태에 따라서 치료법이 달라질 수 있기 때문에 정확한 상담을 받아보시는 것이 좋습니다. 부위의 범위나 위치에 따라서 레진을 이용한 수복치료도 가능할 수 있습니다. 심한 경우에는 대부분 올세라믹 크라운 같은 보철로 치아를 감싸 보호해 주는 치료가 추천됩니다. 앞니의 경우에는 치아삭제를 최소로 할 수 있는 라미네이트 치료가 적합니다.

치료전후비교.png 라미네이트는 앞니의 법랑질 저형성증, 착색된 치아, 형태 이상 등에 효과적으로 사용할 수 있다.


원래 약한 치아도 이렇게 있답니다. 하지만 대부분은 관리 소홀로 인한 문제라는 거 아시죠?

라미네이트보철물.png


keyword
이전 08화'오식' 하지 말기