제9권-'나'라는 착각
과거에 갇혀 고통받고 있다면, 이 책을 추천합니다.
그레고리 번스 - '나'라는 착각
fMRI 신경과학자가 사람의 뇌를 스캔한다.
생각의 작동 원리를 탐구한 내용의 기록.
과거. 현재. 미래
나의 현재는 단 2초간 존재한다.
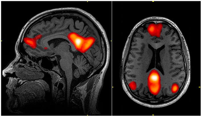
미래를 상상할 때와 과거를 회상할 때의 뇌 활성화 위치는 같다.
'미래는 과거에서 떠올린 상(像)이다.'
"과거와 미래는 실재적으로 서로 인과관계가 없다. 뇌가 미래를 떠올릴 때 과거를 회상하는 것뿐"
사람의 뇌는 태양의 햇빛과 방 안의 LED 빛을 구분하지 못한다. 눈으로 보아야 구별해 낸다.
반면에 생각은 보이는 성질의 것이 아니다. 그래서 뇌는 아직 본 적 없는 미래의 상(像)을 만드는 일이수고로와서 과거의 상(像)을 떠올리는 쉬운 방법을 선택한다.
뇌의 수고로움을 다짐해야
비로소 과거에서 벗어날 최초의 자격을 얻는다.
뇌를 수고롭게 하는 텍스트
텍스트는 이미지가 없다. 그래서 읽기, 쓰기 활동은 뇌에게 상(像)을 만들어내라고 일을 시킨다.
이 과정을 통해 뇌는 '새로 그리는 방법'을 훈련한다.
머릿속의 어두컴컴한 Artboard 위에 New Drawing을 할 수 있게 되었을 때, 비로소 뇌는 더 이상 '지난 파일(이미지) 불러오기'를 할 이유가 사라진다.
쓰레기를 읽으면 쓰레기가 된다.
그렇다면 텍스트로 된 모든 것은 유익하냐?
그렇지 않다.
생각을 현혹시키려고 쓰인 글이 성행한다. 도파민을 자극하는 이미지와 영상은 이런 글에서부터 탄생되어 배포된다. 좋은 수단으로 개발된 도구가 목적을 달리하면 거꾸로 사람을 해친다.
올바른 수고로움을 알아보는 판단력을 요구한다. 배고프다고 아무거나 주워 먹으면 거지로 보일 뿐이다.
뇌를 속이고 미래를 그리는 방법
평소보다 운동량을 증량해 시도하면, 금방 몸이 한계 신호를 보낸다. 그래도 계속하면 뇌는 강한 신호를 보낸다.
‘오늘 유난히 몸이 무거운걸?‘
‘아침에 탄수화물을 안 먹어서 그런지 힘이 안 들어가네.’
‘기분도 영 그렇고, 머리가 지끈거린다.’
이제 그만하고 집에 가고 싶어 졌을 때, 뇌를 속이는 라이어 게임을 시작한다.
“나는 할 수 있다.” 반복해서 소리쳐 외친다.
다시 시도한다. 몸에 힘이 안 들어간다.
2초 뒤 과거가 될 현재를 향해
5년 후 목적을 이룬 ‘미래의 나’가 메시지를 보낸다.
“현재의 나에게 해줄 말은?”
“그날 하루를 견딘 덕분에 오늘의 내가 있게 된 거야. 지나고 보면 다 별거 아니니까, 그냥 해.”
…
나는 여전히 현재 시점에서 과거를 회상할 것이다. 다만 그 상태는 멈춤 일지, 진행형일지가 다를 것이다.
목적을 이룬 내가 회상하는, 곧 과거가 될 현재를 인식하는 나.
그리고 여전히 바램만 있는 내가 회상하는, 아픈 과거를 지닌 나.