brunch

소아과 아빠랑 같이 쉽게 읽는 소아피부과 교과서 16화

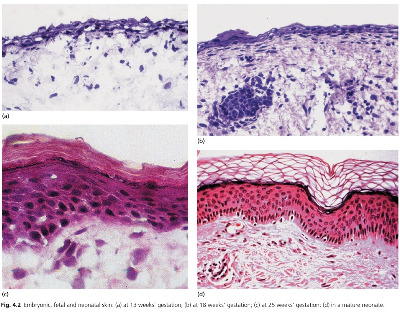
신생아 피부의 생리학 2 - 표피 편

by 김국원

표피는 증발, 독성 물질의 피부흡수, 물리적 손상 및 미생물 감염으로부터 보호를 하는 중요한 장치예요



표피의 두께와 장벽 지질 함량에 크게 좌우되는데요

모두 임신 주수와 관계가 있어요



표mRNA와 지질 합성에 관여하는 효소가 표피 발현되요

각질층 만드는 순서를 정하고 성숙시키는 중요한 물질 중 하나가 PPAR-α이며 초기 태아 표피에서 많이 나와요



글루코코르티코이드, 갑상선호르몬 및 에스트로겐은 피부 장벽을 형성시켜요

안드로겐은 피부 장벽 형성을 지연시켜요



인간 태아에서 피부 장벽 형성은 임신 20~24주경 시작돼요

각질화 과정은 손바닥 발바닥에서 시작되어 퍼져나가요



필라그린은 각질층의 각질 필라멘트를 모아줘요

이 필라그린이 분해되면서 천연 보습인자(natural moisturizing factor)가 나오게 된답니다



sticker sticker

용어정리


PPAR-α :

핵호르몬 수용체로써 여러 유전자들의 발현을 조절. 특히 PPAR-α는 근육이나 간세포에 존재하고 지질 대사를 조절


글루코코르티코이드 :

부신 피질에서 생성되는 스테로이드 호르몬. 포도당, 단백질, 지방 대사에 중요한 역할. 신체에서 항염증, 항알레르기, 면역억제 역할을 함.



갑상선호르몬 :

주로 신체의 신진대사의 속도를 조절하는 호르몬으로 유아의 경우 뇌 발달에 필수적. 목 앞부분에 갑상선이라는 기관에서 방출



에스트로겐 :

여성에서 생식 부분과 2차 성징을 조절하는 성호르몬. 주로 난소에서 생성되고 임신 중에는 태반에서 생성. 남성의 경우에도 에스트로겐을 생성.



natural moisturizing factor :

각질 세포에는 천연 보습인자라는 작은 분자가 들어있으며 이 분자는 각질 세포에 물을 흡수시켜 수분을 유지. 필라그린이 분해되어 생성. 이들은 물에 녹는 성질이 있어 과도한 물과의 접촉은 이들이 씻겨나가게 해서 오히려 건조하게 만들 수도 있음.



오늘 공부 끝!


피부 치료는 꼭 피부과 의사와 상의하세요!!

sticker sticker


keyword
이전 15화소아과 아빠랑 같이 쉽게 읽는 소아피부과 교과서 15화