brunch

소아과 아빠랑 같이 쉽게 읽는 소아피부과 교과서 4화

태아 피부 3 - 후기임신

by 김국원

후기 임신 (임신 28주~출산) 때는 출산 시 보이는 피부와 거의 유사한 상태가 돼요

Untitled (27).png



표피는 완전히 각질화되고

진피 영역이 뚜렷해지고

피부 부속기 완전히 형성되죠

Untitled (28).png



아포크린샘이 분비되기 시작한답니다.

Untitled (29).png



그렇다면 출생한 뒤랑 전이 뭐가 다를까요?

세포질에 글리코겐이 많고 진피가 얇아요

Untitled (30).png


콜라겐 메트릭스의 구조와 구성이 미성숙한 상태죠

Untitled (31).png


각질의 세포층이 적어요 그래서 장벽이 얇죠

수분 손실은 많이 일어나고

피부로 물질 흡수가 더 많이 일어나게 돼요

Untitled (32).png


땀 흘리는 기능이 아직 발달을 안 했어요

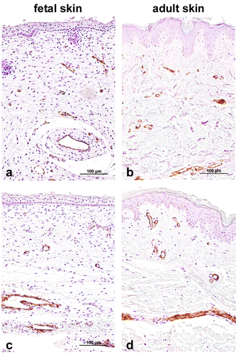
혈관의 밀도가 높지만 질서 없이 흐트러져 있어요

Untitled (33).png



sticker sticker

용어정리


표피 : 피부 가장 바깥쪽 층

진피 : 표피 아래 있는 두꺼운 세포층, 피부탄력, 윤기, 탠션에 영향

Untitled (34).png

글리코겐 : 세포 내에서 단백질 합성하는 에너지, 피부활력과 관계

Untitled (35).png



콜라겐 : 우리 몸을 구성하는 단백질 중 30%를 차지하고 있으며 주로 구조를 지탱해 주는 역할을 한다. 피부의 탄력과 관계

Untitled (36).png



콜라겐메트릭스 : 다수의 콜라겐으로 얽혀있는 일종의 망 형태

Untitled (37).png



오늘 공부 끝!

keyword
이전 03화소아과 아빠랑 같이 쉽게 읽는 소아피부과 교과서 3화