brunch

소아과 아빠랑 같이 쉽게 읽는 소아피부과 교과서 5화

인간의 피부 발달의 독특한 특징

by 김국원

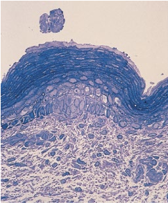
주피(periderm)는 일부 포유류와 조류에서만 볼 수 있어요

수정 후 발달 되는 피부의 가장 바깥쪽에 있는 일시적 세포층이랍니다

주피 세포가 점진적인 발달 단계를 거쳐서 형태학적으로 변화해요

주피는 태아와 양수사이에 존재함으로써 양쪽의 물질 이동에 관여하게 됩니다

Untitled (38).png



각질화도 특징적이에요

임신 중 가장 먼저 각질이 형성되는 곳은 손톱이고 임신 11주쯤 발견됩니다

일반적으로 두꺼운 피부부터 각질화가 진행됩니다

Untitled (39).png



손 · 발톱의 형성도 특이한 점이죠

임신 후 60일쯤 손가락이 분리되고

손등에는 손톱이, 손바닥에는 에크린 땀샘이 생기게 돼요

임신 후 15주 차에는 두꺼운 각질층이 손톱부위 피부층을 덮고

임신 후 19주 차 손, 발톱은 약하지만 대체적으로 출생 시와 비슷해져요

Untitled (40).png



에크린 땀샘도 만드는데요

인간 포유류 중 에크린 땀샘 밀도가 가장 높데요

손바닥과 발바닥에서는 다른 곳보다 4~6주 늦게 형성되고요

임신 후 22~24주가 되면 땀샘이 코일 모양의 분비샘이 되어 성인과 구조가 같아져요

Untitled (41).png



털 피지선도 만들어지는데요

모낭은 임신 10주 이후 머리와 얼굴에서 시작되어 임신 20주에 다리까지 내려옵니다

모낭은 이때만 발생하고 나이가 들어가면서 그 수가 줄기만 한데요

털은 임신 20주경 lanugo 모낭을 보이며 시작됩니다

Untitled (42).png



결론적으로

피부 발달은 복잡하고 선천적 기형으로 이어질 여지가 있어요

피부의 발달을 이해해야 소아 피부질환에 대한 새로운 치료법도 찾아낼 수 있어요

Untitled (43).png

sticker sticker

용어정리


양수 : 임신 시 모체 자궁 내에 태아를 둘러싸고 있는 양막 안에 차 있는 액체, 바닷물과 성분이 비슷, 외부의 충격으로부터 보호하고 세균감염을 막으며 체온조절

Untitled (44).png



피지선 : 피지를 분비하는 모낭에서 발견되는 작은 샘, 피부가 건조해지지 않도록 피지를 분비

Sebaceous-Glands.jpg



오늘 공부 끝!

keyword
이전 04화소아과 아빠랑 같이 쉽게 읽는 소아피부과 교과서 4화