유효 기간 끝난 내 왼쪽 부신

고 알도스테론 증 환자에게 수술은 축하받을 일?

by Someday


고 알도스테론 증 환자, 부신 절제 수술 결정 - 2021년 8월 23일 (월)

8월 23일, 평촌 한림대 성심병원 내분비내과에서 정맥 채혈 검사 결과를 듣고 왔다.

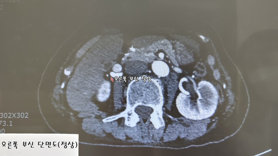
왼쪽 부신이 완전히 망가져 있었다.

오른쪽 부신 대비 50배까지 많은 알도스테론이 분비되고 있었다. 헉!


20210823_145705_-_%EB%B3%B5%EC%82%AC%EB%B3%B8.jpg?type=w966


수술이 결정 났다.

내분비내과 주치의 허지혜 교수님이, 유방내분비외과 서용준 교수님께 연결시켜 주었다.


20210823_145851_HDR_-_복사본.jpg
20210823_145827_-_복사본.jpg


서 교수님은 알도스테론 수술 방법과 예후까지 일목요연하게 설명한다.

처음 만난 분이지만 친절한 설명에 믿음이 갔다.

9월 16일 수술 예정, 복강경 수술로 옆구리 관을 넣어서 한다고.

2층 채혈실과 심장검사실에 들려서 돌아 가란다.

그런데, 1층 입원계 입원 예약도 깜빡 잊고 그냥 집으로 돌아왔다.

최근, 나는 이렇게 점점 멍청이가 되어간다.

내일(24일), 통합 협진센터 진료가 예정되어 있으니, 입원 예약도 꼭 하고 와야겠다.


고 알도스테론 등 환자에게 부신 수술은 축하받을 일? - 2021년 8월 24일 (화)

24일, 한림대 성심병원 도착(AM 10시 20분), 입원 계부터 찾았다.

전날 깜빡 잊었던 9월 15일 일반실 입원 예약부터 했다. 이번엔 남편 '묵'이 동행, 케어해 주겠다니 입원에 대한 두려움이 좀 잦아들고, 편안함이 깃든다. 수술이야 혼자 감당할 몫이지만, 내 곁에 동반자가 턱 버티고 지켜주겠다니 싫을 리 없다.

수납 창구가 붐벼, 2층 '통합 협진센터' 예약시간(10시 45분)을 겨우 맞췄다.

간호사 선생님이 내가 복용 중인 약 이름을 확인하고, 내 팔에 혈압계를 두른다.

수축기 혈압이 높게 나왔다. 143mmHg / 72mmHG 이완기는 좋은 데. 약을 먹어도 왼쪽 부신 물혹에서 알도스테론을 과다 분비해서 잘 잡히지 않는다.


지난 7월 5일부터 복용했던 아래 세 가지 약은 23일까지만 복용

카두라엑스엘서방정 4mg (저녁 식후 1정 / 1일), 케이콘틴 서방정 (아침·저녁 식후 각 2정씩 / 1일), 삼진 히드랄라진 염산 염정 (아침·저녁 식후 각 1정씩 / 1일)

24일부터 수술하는 날까진 23일 새로 처방받은 알닥톤정과 집에 있던 혈압약을 복용한다.

알닥톤정 (아침 식후 1정/1일), 레보텐션정 2.5mg (아침 1정/ 1일), 올메텍정 10mg (아침 0.5정/ 1일)

아침저녁 챙겨 먹던 약을 아침에만 챙기면 되니, 이도 좋다.


잠시, 기다리니 내 이름이 불린다. '통합 협진센터'에서는 내 몸이 수술할 수 있는 상황인지 전체적으로 되짚어 본다. 부신 수술을 앞두고 불편한 점이나 궁금한 점을 묻고, 상세한 답변을 듣는다.

그동안 온몸 여기저기 아프지 않았냐고 협진센터 의사 선생님이 먼저 물어오니, 답답하던 내 속이 뻥 뚫리는 것 같았다.

여태껏 주치의 내분비내과 선생님은, 여기저기 통증은 고 알도스테론증과 직접적인 연관은 없다는 쪽(혹, 류머티즘 관절염이 시초가 아닐지?)으로, 7월 29일 만났던 내분비과 의사 선생님도 관련 없다고.

그래서 그동안 정형외과도 다녀왔고, 한방 정형외과에서 침도 맞았다.

정형외과에서는 염증 증상은 보이지 않는다 했으나, 통증은 차도 없이 온몸 이곳저곳을 돌아다니며 아파, 마음이 항상 무거웠다.


어제, 유방내분비 외과 서 교수님은 수술 후, 전해질 농도가 잘 유지되면 통증도 어느 정도 좋아지는 것을 직접 느끼게 될 것이라 했다. 물론 나이가 들면 퇴행성 질환이 생기는 경우도 더러 있지만.

수술한다는 사실은 뒤로한 채, 통증 완화에 주목하며 더 큰 위안을 받았던 터다.

그런데 오늘 이 의사 선생님은 부신(고 알도스테론증) 때문에 통증이 유발된 것이라며, 수술 후 통증도 많이 좋아질 것이라고 먼저 이야길 꺼낸다.

나는 다시 한번 확인하며 되묻기까지 했다. 내심 이분 말대로 되길 바라면서.


그러나 나는 의사 네 분 의견을 모두 새겨 둔다. 모든 경우의 수가 존재하는 것은 이 세상에 같은 사람은 한 명도 없기 때문이다. 당연히 수술 후, 좋아지길 바란다. 그러나 류머티즘 관절염이 찾아오는 지도 예의 주의해서 관찰하리란 생각을 담아둔다.


최근엔 오른쪽 엄지손가락이 아파 펜으론 글씨도 못 쓸 정도다. 칼로 사과도 못 깎고 있다는. (깎을 수야 있지만 통증이 따르니~)

처음(7~8주 전)엔 무릎 통증이 그리 심하더니,

정맥 채혈할 때는 오랫동안 움직이질 못해서인지 허리 통증이 심했고 아직까지 허리가 아프다.

양쪽 손목도 심하게 아팠는데, 이젠 손등과 손가락이 더 아프다.

발등이 아팠다 종아리 부분이 아프기도 하고.

이렇게 여기저기 돌아가며 뼈까지 아파보기는 태어나서 처음이다. ㅠ

같은 병이라도 개인적인 차이는 있겠지만, 이런 통증이 지속되다 보니 점점 더 무기력해지고 마음까지 약해진다. 근육통과 피로감까지 더해져, 낮에도 누워있는 시간이 적지 않다.

밤에는 일찍 잠자리에 드는 것이 통증을 좀 완화시켜 준다.

아니 잊게 해 준다. 아플 때는 잠드는 것이 최고다.

중간에 깨면 이도 고통이지만, 다시 쉽게 꿈길로 빠져드니 그나마 다행이다.


3~5cm 정도 크기의 작은 부신이 우리 몸에서 얼마나 중요한 역할을 하는지 새삼 놀랍다.

고 알도스테론증에 관해 알기 전엔 부신에 대해 따로 관심을 가져 본 적도 없다.

그동안 불쌍한 내 왼쪽 부신이 아프다고 내게 보낸 신호가 이렇게 온몸 통증으로 전해지나 보다.

결국 내 왼쪽 부신을 품고 살 수 없는 상황이니, 잘라내는 수술을 하게 된다.

부신 한 개로도 살 수 있다 하지만, 진즉 내 왼쪽 부신이 다 망가져가는 것을 느끼지 못하며 살아온 것이 안타깝다.

의사 선생님께, 내가 26일 제네카 백신 2차 접종 때도 혈압이 높게 나올까 봐 걱정된다 하니, 접종 시 부신 때문에 그렇다고 알리란다. 백신 접종은 맞아도 문제없다고.

나는 부신이 아파서 생긴 2 차성 고혈압 환자이기도 하다.

또, 최근 목에 가래가 생긴다고 했더니, 색깔을 묻는다.

옅은 황색이라 하니, 의사 선생님 본인도 (환절기가 시작되니) 요즘 목에 가래가 생긴다며 약을 권하진 않는다. 대신 물 많이 자주 마시고, 생강차(내 생각) 라도 마시며 관리해야겠다.


코로나 검사만 3번째가 된다.

9월 16일 왼쪽 부신 수술 확정

아무튼 내 혈액과 심장엔 이상 없으니, 9월 16일 수술은 계획대로 진행하기로 하고, 상담을 끝냈다. 수술은 두렵지만 수술을 해야만 건강한 삶을 누릴 수 있다니, 어쩌겠는가!

고 알도스테론증은 수술받을 수 있는 상태가 오히려 '축하받는다'라는 사실이 아이러니하다.

혹이 있는 부신이 정상이고, 혹이 없는 부신에서 알도스테론이 많이 나올 때,

또 양쪽에 원인이 있을 경우(양쪽 부신에서 알도스테론이 많이 분비될 때), 모두 수술도 못한다.

평생 약으로 조절, 수시로 체크하며 살아야 한다니, 만약 나처럼 온몸이 돌아가며 아픈 사람은 어찌 버텨낼지 걱정스럽다.

다행히 나는 혹 있는 왼쪽 부신이 비정상이고, 오른쪽 부신은 정상임이 정맥 채혈로 확인됐다.


부신 정맥 채혈이 안 되는 사람도 있다.

10명 중 1~2명은 부신 정맥 채혈이 제대로 안된다고. 이럴 경우, 일주일 후 재 시술을 하기도 하나, 시술할 수 없는 경우도 있다. 이 경우에도 어느 쪽 부신이 비정상적인지 확인할 수 없어서 수술할 수 없다.

의술이 눈부시게 발전했지만, 부신 정맥 채혈은 다른 인터벤션 itervention 시술보다 실패율이 높다.


20210824_110544_HDR.jpg?type=w966 진료를 마치고, 한림대 성심병원 '치유의 숲'을 지나 버스 정류장으로 향하는 길. 잠시 비는 소강상태.

이제 수술 입원일까지 내가 할 수 있는 것은, 내 마음 다독이며 건강한 정신 상태를 유지하는 일이다.

수술 후, 정말 거짓말처럼 온몸 통증이 사라지길,

2차성 고혈압도 예전처럼 정상치로 유지되길,

활기찼던 내 원래 모습으로 돌아가길.

나의 '알도스테론 병상일기'도 특별한 돌발 상황이 발생하지 않는다면, 일단 접어둔다.

9월 16일 수술 후 이야기를 담아낼 때 즈음, 이 모든 통증과 아픔을 먼 옛이야기처럼 편하게 펼칠 수 있길 바라면서.


『Bye, 내 왼쪽 부신!』 종이책과 e북 함께 발간

https://product.kyobobook.co.kr/detail/S000208722137


https://ebook-product.kyobobook.co.kr/dig/epd/ebook/E000005400623


keyword