발목이 아프다

초보의 욕심

by 채널김

2달 전부터 발목 통증이 있었다.

처음엔 대수롭지 않게 넘겼다. 운동을 하다 보면 뻐근할 수도 있고, 근육이 적응하는 과정이겠거니 했다. 아마 내가 마일리지를 늘리고 한참 러닝에 재미를 붙이면서부터인 듯하다.


처음엔 뛰다 걷다를 반복하고 뛰는 거리도 얼마 되질 않아서 몰랐는데 어느 순간 발목이, 그것도 오른쪽 발목이 시원찮았다. 그제야 깨달았다. 이건 단순한 피로가 아니라 신호였다.


딱히 삐끗한 것도 아닌데, 하루 뛰고 하루는 쉬는 시간을 갖는데도 뭔가 찌릿한 통증이 계속됐다. 지난번에 휴가를 가기 전까지도 통증은 있었지만 단순 근육통이려니 하고 넘겼다. 휴가기간 동안은 잘 뛰질 않았더니 조금 괜찮아서 다 나은 줄 알았다.


하지만 운동하면서 가장 중요한 것은 내 몸에 귀 기울이는 것이었다. 지속되는 통증에는 반드시 이유가 있기 마련이다.




채울 수 없는 욕심

생각보다 러닝 하면서 나처럼 발목 통증을 호소하는 사람들이 많다. 어떤 사람들은 몇 주에서 길게는 몇 달을 쉬기도 한다. 통증을 참고 뛰다가 염증이 심해져서 돌아갈 수 없는 강을 건너는 사람들도 있다. 나 또한 크게 아프진 않은 것 같아서 통증을 이겨내려고만 했다.


발목에 좀 더 힘을 주면서 뛰어보기도 하고 발의 착지자세를 바꿔가면서도 뛰어 보았다. 러닝화가 두 개 있는데 번갈아 신으면서 운동화 끈을 항상 다르게 조여 보기도 했다. 하지만 나아지긴커녕 통증은 가라앉지 않고 일상이 되어버렸다.


게다가 러너들에게 흔하다는 '족저근막염'도 의심이 되기도 했다. 아침에 침대에서 바로 발은 디디면 뒤꿈치가 찌릿한 통증이 어느 순간 생겨버렸다. 처음 느껴보는 통증에 깜짝 놀랐다.


'건강하려고 하는 운동인데 잃는 게 더 많네..'


아프지 않던 곳이 하나 둘 늘어가는 중이다. 걷고 뛰는 건 인간의 기본 옵션이 아니었던가? 왜 기본만 하는 것 같은데 병이 늘어나는 걸까?


그런 생각을 하면서도 쉬기는 싫었다.

'기록'이라는 단어는 묘한 마력을 갖고 있다.

어제보다 조금 더 잘하고 싶은 마음, 어제의 나를 넘어서는 만족감.

그게 어느새 욕심이 된다.


언제 이런 욕심이 생겼는지는 몰라도 어제보다 못한 내가 되기 싫어서 짜증을 내면서도 뛰러 나갔다. 역시나 이건 정말 바보 같은 짓이었다.




경고를 무시한 대가

결국, 걷을 때마다 아파질 정도로 심해진 날이 왔다. 이날도 며칠 지나면 괜찮겠지 하고 넘겼다. 하지만 지금까지와는 다르게 시간이 지날수록 점점 아파졌다.

‘이건 아니다.’

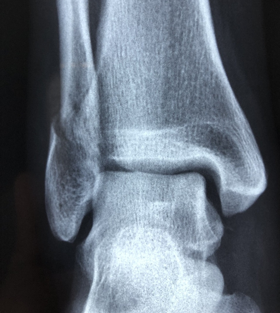
이때 아차 싶어 곧장 정형외과로 달려갔다.


오랜만에 엑스레이도 찍어보면서 내 발목뼈모양도 구경했다.

'오른쪽 발목 염증이 심하시네요'

의사 선생님은 내 발목을 보면서 굉장히 여유롭게 말씀하셨다. 요즘 러닝이 유행하면서 비슷하게 발목이 아픈 환자가 많다고 했다. 약을 먹고 냉찜질을 하면 금방 좋아질 거라 하셨다. 덧붙여서 운동화도 잘 맞는 걸 찾아보라는 조언도 해주셨다.




생각해 보니 내가 아프게 된 몇 가지 이유가 떠올랐다. 부디 이 글을 보는 초보자들도 잘 생각해 보길 바란다.


첫 번째, 과도한 욕심

하루 뛰면 하루 쉬는 게 맞지만 통증이 있으면 더 쉬는 게 맞다. 하지만 나는 그걸 참고 뛰니 더 악화되었다. 내가 선수가 될 것도 아니고 누가 상을 주는 것도 아니다. 개인적인 기록이 욕심이 날 수도 있겠지만 꾹꾹 참아야 한다. 최악으로는 나중에 영영 못 뛸 수 있으니 아프면 제발, 꼭 쉬어야 한다.


두 번째, 잘 안 맞는 신발

보통 러닝화는 본인의 발 사이즈보다 약간 큰 사이즈를 추천한다. 뛰다 보면 발이 부을 수 있어서 잘 맞던 신발이 꽉 낄 수 있기 때문. 나는 발볼이 그리 넓은 편이 아니라 크게 보통으로 맞는 신발을 신었었다. 그랬더니 발바닥과 발톱까지 아파져 버려 지금은 넉넉하게 바꿨다.


세 번째, 운동화 끈의 중요성

운동화 끈은 정말 생각지도 못했다. 너무 헐렁하게도 너무 꽉 묶어서도 안되는데 이게 사람마다 맞는 게 다르다. 또 발등 부분은 꽉 조이고 발목은 약간 덜 묶기도 하고 반대의 경우도 있다. 이번에 내 발목 염증의 가장 큰 이유이기도 하다.


운동화 끈 묶는 강도나 방법은 여러 번 해보고 나에게 맞는 걸 찾아야 한다. 나는 꽤 여러 번 해보고 나서야 잘 맞는 방법을 알아냈다. 그리고 신발에 따라서도 다르니 생각보다 번거로운 일이 아닐 수 없다.


네 번째, 스트레칭과 보강운동의 중요성

어떤 운동을 하던 스트레칭의 중요성은 백번 얘기해도 부족하다. 운동을 시작하기 전과 후에 몸을 잘 풀어줘야 운동을 잘했다고 할 수 있다. 이 부분을 건너뛰는 사람이 많은데 혹시 어디가 아프면 스트레칭과 마사지가 부족한 게 아닌가 생각해 봐야 한다.


그리고 달리기 외에도 다른 보강운동도 중요하다. 기구를 다루는 근력운동이나 자전거 타기, 등산 등 러닝이 아닌 다른 운동을 하면 근육을 다양하게 활용할 수 있다. 그래야 더 오래, 즐겁게 달릴 수 있다.




달리기는 쉽지만 참 어렵다.



천천히 즐기는 마음으로!


keyword