나는 버림받은 존재였다

by 여송

전기 대학의 합격자 발표가 끝날 무렵, 합격자에 대한 축하와 불합격자에 대한 격려가 주변 사람들의 주된 화제였다. 숱한 역경을 이겨낸 끝에 이뤄낸 결실이라는 등 나도 많은 사람들로부터 축하 인사를 받았다. 하지만 마음 한 구석에는 꺼림칙한 구석이 남아 있어 축제를 즐기기에는 아직 이르다는 생각이 들었다. 마지막으로 넘어야 할 관문은 다름 아닌 신체검사였다. 이것이 다른 사람들에게는 큰 문제가 되지 않겠지만, 나에게는 최종 합격에 영향을 미칠 수 있는 중대한 사안이었다. 당시의 대학 입시요강에는 신체검사와 관련된 규정이 별도로 존재했었다. 그중 결핵과 관련된 불합격 사유로는 ‘활동성 중등증 및 중증 폐결핵’이라고 명시되어 있었다. 활동성(活動性)이라는 의미는 결핵균이 아직 몸속에서 활동하고 있다는 뜻이고(결핵약을 일정 기간 복용하면 균이 활동을 멈추는 비활동성 상태가 됨), 중등증(中等症), 중증(重症)은 결핵의 진행정도를 나타내는 용어이다. 그때는 결핵이 경증, 중등증, 중증으로 나뉘었는데, 통상적으로는 각각 1, 2, 3기로 알려져 있었다.

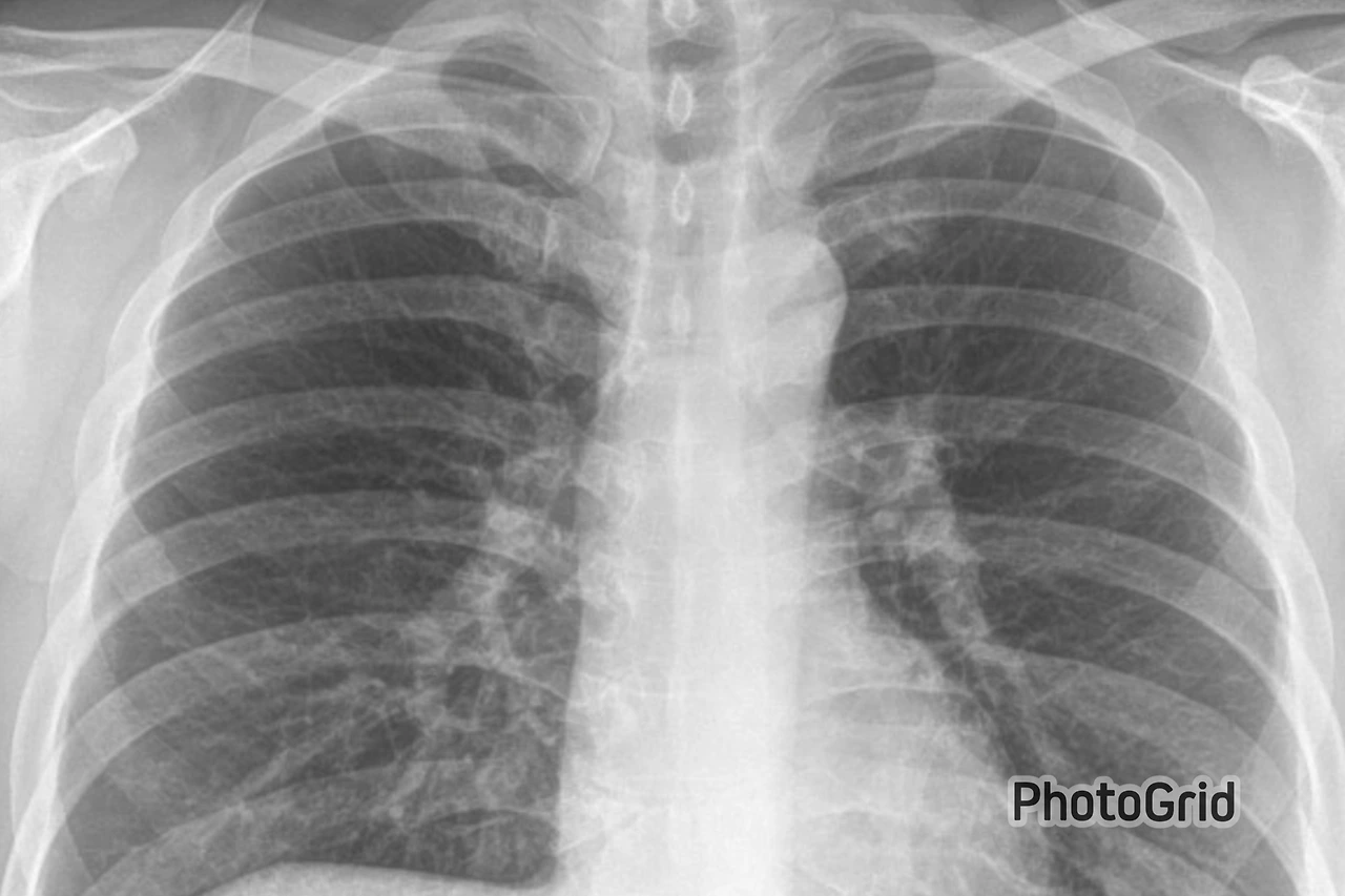
며칠 후, 학교 내 보건진료소에서 합격자 신체검사가 시작되었다. 신체검사 항목 중 다른 것은 문제가 될 게 없었다. 나는 초조한 마음으로 X-ray 촬영대에 올라섰다. 그 시절의 흉부 X-ray 사진은 간접촬영방법을 채택하고 있었는데, 조그맣게 찍은 필름을 확대하여 판독하는 방법이었다. 이 방식에 의해 결핵이 의심되면 직접촬영대상자로 분류되는 것이다. 당연히 나는 직접촬영대상자로 호출되어 또다시 가슴사진을 찍어야 했다.

다음 날, 두근거리는 가슴으로 보건진료소 문을 밀고 들어갔다. 좁은 진료실에서는 머리가 하얗게 센 의사가 왼손으로 안경을 약간 들어 올린 채 X-ray 사진을 열심히 관찰하고 있었다. 하얀 형광등 불빛의 판독대에 시커멓게 붙어 있는 X-ray 필름에는 붉은 색연필로 다음과 같이 쓰여 있었다.


‘활동성 공동성 중등증'



나는 망치로 뒤통수를 한 대 맞은 것처럼 정신이 아득해 왔다. 갑작스러운 현기증에 눈앞이 캄캄하고 다리가 후들거렸다. 영육적(靈肉的)으로 공중 분해된 자아(自我)를 간신히 붙들고 서 있는 내 모습을 보고 노(老) 의사는 부드러운 목소리로 입을 열었다.


“원칙적으로는 불합격 대상인데 1년 휴학하는 조건으로 입학을 허가하겠네”


또다시 입학이 1년 늦어진다는 생각에 나는 퉁명스럽게 대꾸했다.


“안 그래도 입학이 늦었는데 휴학이라뇨? 휴학하면 군대도 가야 하는데요”


의사는 어이없다는 표정과 미소가 절반씩 섞인 얼굴로 말했다.


“이런 몸으로는 군에서 받아주지도 않네”


당시 활동성 폐결핵환자는 전염 가능성 때문에 학교든 군대든 갈 수가 없었다. 나는 사회로부터 격리되어야 할 대상이었던 것이다. 더구나 결핵균이 폐 조직을 파먹어 허파에 구멍이 생겼다는 공동성(空洞性)이라는 단어는 나를 더 낙담하게 만들었다. 더 이상 할 말을 잃은 나는 고개를 푹 숙인 채 보건진료소 문을 밀고 나섰다. 젊음으로 가득 찬 캠퍼스에는 늦겨울의 한기가 마지막 기세를 떨치고 있었다.

인생은 수많은 고갯길을 오르내리면서 나아가야 하는 기나긴 여정이다. 그 길은 또한 결코 되돌아올 수 없는 일방통행로이다. 모든 고갯길이 그러하듯, 인생길도 오르막이 있으면 내리막도 있다. 그렇기에 우리는 오르막에서는 내리막이 있으리라는 희망을 가져야 하고, 내리막에서는 다가올 오르막에 대비하는 지혜를 가져야 한다.

어렵게 입학하자마자 또다시 휴학을 해야만 하는 인생의 오르막길에서 허탈해했지만, 나는 이 보건진료소에서 주치의가 될 의사를 만나는 행운을 얻었다. 나를 진료했던 의사는 훗날 초대 삼성의료원장과 대통령 주치의를 역임한 S대 의대의 한용철 교수님이었다. 지금은 고인이 되셨지만, 결핵학이 전공이었던 그분은 내가 대학을 졸업한 후에도 계속 내 병을 돌봐주셨다.

입학식을 알리는 간판으로 화려하게 치장된 교문을 뒤로하고, 나는 쓸쓸하게 발걸음을 돌렸다. 며칠 뒤, 세상으로부터 버림받은 나는 고향으로 향하는 기차에 몸을 실었다. 훗날 입학생들에게 들은 이야기지만, 그 해 입학식장에는 다음과 같은 문구가 적힌 팻말이 서 있었다고 한다.


‘사회계열 수험번호 1032


위 수험생을 제외한 0000명의 입학을 허가함


S대학교 교무처장'

keyword
이전 14화피와 땀은 배신하지 않는다