brunch

그때 왜 폐암을 발견해 내지 못했을까?

흉부 엑스레이의 배신

by 닥터 키드니

대장암 완치 판정을 받은 시아버지는 1년마다 S 병원에서 건강 검진을 받고 있었다. 1년 전 찍은 흉부 엑스레이는 완벽하게 정상이었다. S 병원에서의 검사가 1년이 채 되지도 않았는데, 눈앞에 보이는 이 덩어리는 거짓말 같았다. 하지만 폐 덩어리가 아버님을 무기력하게 했다는 것은 분명했다.


마침 전화가 울렸다. 시어머니였다.


" 아버지 폐암인 것 같단다."


설마 했던 일이 현실이 되었다. 앞으로 아버님의 앞날이, 그리고 우리가 겪어내야 할 일들이 순식간에 눈앞에 펼쳐졌다. 아버님 생각에 마음이 아파왔다. 시어머니는 예전부터 '너는 감정을 표현하지 않는 차가운 사람'이라고 했다. 감정을 함부로 드러내는 것을 성숙하지 않은 것이라 생각했다. 나도 모르게 울음이 터져 나왔다. 내 의지와 상관없이 흐르는 뜨거운 눈물은 실수였다. 시어머니에게 감정을 들킨 것뿐이다.


어머니가 내게 물었다. 1년 전 S 병원의 흉부 엑스레이에서는 아무것도 없었는데, 1년 만에 이렇게 폐암이 생길 수 있는 일이냐고. 부정하고 싶었지만, 폐암이라면 그럴 수 있는 일이다. 단, 1년 만에라도. 아니 단 3개월 만에라도. 폐암은 충분히 그럴 수 있다.


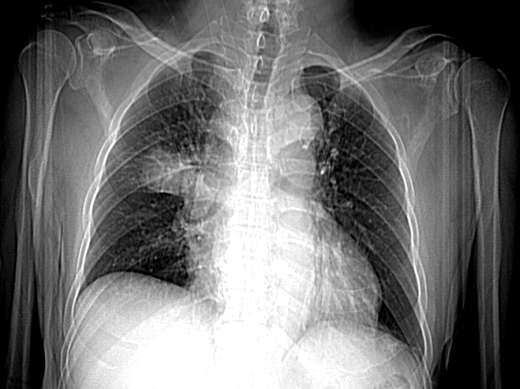
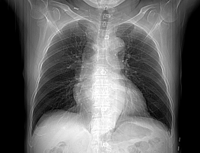
image (1).png
1년 전 흉부 엑스레이 VS 1년 후 흉부 엑스레이


폐암은 암 사망률 1위의 질환으로 많은 이들이 두려워한다. 어떤 질환이든 빨리 발견하는 것이 예후에 중요하다. 폐암 역시 그렇다. 우리는 건강검진 목적으로 해마다 찍은 흉부 엑스레이를 찍지만, 폐암을 조기 진단하는 검사법이 아니다.


2019년 12월에 보고된 한 연구에 의하면 폐암의 증상이 있는 사람이 흉부 엑스레이로 폐암을 진단받을 확률은 80%에 불과했다. 나머지 20%는 흉부 엑스레이에서 폐암을 찾지 못했다. 5명 중 1명은 폐암 증상이 있어도 엑스레이로 폐암을 진단받지 못했다. 이들은 폐암의 증상이 있는 경우였으므로, 증상이 없는 초기 폐암을 엑스레이로 진단하는 것은 극히 드문 일이다.


1년 전 그때 왜 폐암을 발견해 내지 못했을까?


폐암은 빨리 자라는 암으로 폐암의 부피가 두 배로 커지는 데 걸리는 기간은 98일 (중앙값 기준)이다. 짧게는 한 달 만에 두배로 커지기도 한다. (소세포 폐암 30일, 편평 상피세포암 100일, 선암 180일) 이런 이유로 폐암을 진단받은 사람의 경우 65%에서 1년 이내 선별 검사에서 엑스레이를 찍었을 때 암이 없었다는 연구 결과도 있다.


폐암의 병변 특성상 흉부 엑스레이에 드러나지 않을 수 있다. 특히 암의 직경이 1CM 미만의 암의 경우 누락될 가능성이 높다. 만약 폐암이 상엽에 있거나 갈비뼈, 폐혈관, 심장과 같이 해부학적으로 겹치는 부위에 있다면 엑스레이로 진단이 어렵다. 그밖에 미숙련자와 영상 판독 실력이 부족한 경우도 폐암 진단의 누락 원인이 되기도 한다.


폐암의 조기 검진은 흉부 엑스레이가 될 수 없고, 폐암의 고위험군에서 저 선량 흉부 CT를 찍는 것이다.




나는 어머니를 붙잡고 이 모든 것을 설명할 수 없었다. 이미 발생한 폐암에 대해 그때 왜 발견해내지 못했던 이유를 찾고 물어지는 건 소용없는 일이다. 그보다는 아버님이 잘 이겨내실 수 있을 거라고 어머니를 다독였다.


만 의사인 나는 이해하지만, 어머니는 이해하지 못했던, 꽤나 답답하고 억울해할 일이라고 생각할 사람들이 떠올랐다. 그것은 미스터리한 일이 아니라 충분히 그럴 수 있는 일임을 알리고 싶었다.


흉부 엑스레이가 정상이라고 안심했다가 뒤늦게 폐암을 진단받은 사람들.

흉부 엑스레이 한 장으로 폐암을 진단받을 수 있을 거라 생각하는 사람들.


그들에게 조금의 위로와 이해되기를 바라며 글을 쓰고 영상을 만들었다.


궁극적으로 나는 우리 가족이 겪었던 아픔을 경험하는 사람이 줄어들기를 바랐다.


♥ 흉부 엑스레이의 배신 : 당신이 찍은 엑스레이는 폐암을 조기에 발견하지 못한다

https://youtu.be/4ddYFQxDxc0

※ 참고한 논문

1) Stephen H Bradley et al. (2019). Sensitivity of chest X-ray for detecting lung cancer in people presenting with symptoms : a systematic review, British Journal of GeneralPractice, e827-e835

2) Henschke et al. (2012). Lung Cancers Diagnosed at Annual CT Screening: Volume Doubling Times, Radiology, Volume 263: Number 2, 578-583


keyword
이전 02화제발 폐렴이길 바랐다.