준비된 스마트 할부지 21, 양수량이 조금 늘었다고 합니다.
임신 21주 차에 양수량이 7.9㎝로 줄어, 2주 뒤에 다시 검사를 하자고 했었는데 오늘이 바로 그날입니다.
예약시간이 11시 30분인데 12시가 넘어서도 아무런 이야기가 없어서, 카톡으로 물어보니 아직도 진료대기 중이라고 하네요. 꾹 참고 한참을 기다리다 보니 어느덧 오후 2시가 다 되어갑니다.
아내와 딸애 모두 카톡도 보지 않고 있으니 이제 은근히 걱정이 되기 시작합니다.
불안한 마음에 기다리다 못해 결국 아내에게 전화를 했더니...
딸애와 점심을 먹고 있다고 하네요.
소식을 기다리는 사람은 안중에도 없고 잘 먹고 있답니다.
간단하게 물어보니 양수량이 지난번에 비해 좀 늘어 10㎝가 되었다고 하네요.
임신 6개월(20~23주) 일 때 산모와 태아의 변화를 보면...
산모 몸무게는 임신 전보다 5~6kg 증가, 태아 몸무게는 600~700g이고 키는 약 28~30㎝로 참외 크기라고 하네요. 이때가 태아가 무럭무럭 자라며, 양수가 늘어나서 태아가 자궁 안에서 자유롭게 움직일 수 있는 시기라고 합니다.
딸애가 보내준 동영상 중 중요한 부분만 캡처하여 보았습니다.
1. 우리 '팡팡이'의 심장박동수(Fetal Heart Rate)는 133 bpm입니다. 지난 21주 때는 145 bpm이었으니 10 bpm 정도가 느려진 것으로 보이는데, 임산 주수가 늘어날수록 느려진다고 하네요.
2. 태아의 머리 직경(BPD: Biparietal Diameter)은 5.27㎝로 임신 22주 4일에 해당됩니다. 그리고 태아 추정 체중(EFW: Estimated Fetal Weight)은 507g으로 임신 22주 2일에 해당되니, 발육이 일주일 정도 늦은 것 같네요.
3. 허벅지 뼈의 길이(FL: Femur Length)는 4.06㎝로 임신 23주 1일에 해당됩니다. 보통 허벅지 뼈 길이(FL), 배 둘레(AC: Abdominal Circumference) 그리고 태아 머리 직경(BPD)을 기준으로 태아의 체중을 산출한다고 합니다. 그래서 태아 추정 체중(EFW2)이 다시 측정되었는데요. 여기서는 533g±80g으로 나오고 임신 22주 4일에 해당되니 EFW1과 EFW2 사이에 큰 차이는 없네요.
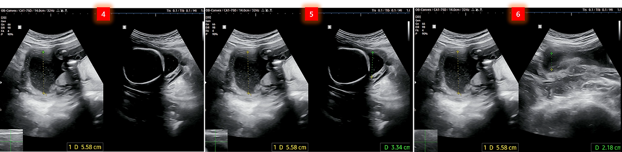
4~6. 양수량 검사를 한 것 같은데 지난번과 좀 다르네요.
지난번에는 4곳의 길이를 측정했는데 이번에는 3곳에서만 측정한 것 같습니다.
그때는 Q1~Q4의 값이 합쳐져 마지막 Q4 측정 시 AFI(양수지수) 값으로 나타났었는데 이번에는 그런 값이 안 보이네요. 여하튼 제 나름대로 초음파 사진에서 나온 각 깊이를 합쳐보니 11.1㎝로 나옵니다.
병원에서는 10㎝로 설명했다고 하니 제가 측정한 값은 맞지 않는 걸로...
다음은 동영상 자료를 편집하여 넣어보았습니다.
산모가 잘 먹어야 태아도 잘 클 것 같아서, 오늘 오후에는 평촌에 있는 뷔페 마빌리에에 가서 맘껏 식사를 했습니다.(사실은 우리 부부의 결혼 32주년이라...)
한동안 양수량이 부족해서 딸애가 무척 우울해했었는데, 오늘 병원에서 조금 늘었다고 하니 한결 마음이 편안해진 것으로 보이니 다행입니다. 스트레스는 만병의 근원이니까요.
이제 3주 뒤에는 태아 '팡팡이'의 3D 사진 촬영이 있다고 하네요.
마치 우리가 인생 네 컷을 찍듯이 태아의 사진도 그런 식으로 촬영을 하는 모양입니다.
물론 공짜는 아니고 일정 비용을 지불해야 한다고 하네요.
태아 때 사진이 출산 후 얼굴 모습과 매우 비슷하다고 하니 한껏 기대가 됩니다.
또 기다림 and 기다림 ~
※ 내용은 딸아이의 임신 정보를 기반으로 작성하였으나, 일부 의학 관련 사항은 인터넷을 참고하였습니다.
오늘도 펭귄의 짧디 짧은 다리로 달리고 달리고 ~