brunch

임신 38주 차, 출산 1주 전 검사 진행

준비된 스마트 할부지 32, 아직도 작지만 출산할 계획이라네요.

오랜 시간 걱정하고 기다려 왔는데, 드디어 이번 주 금요일(2025.06.20)이 '팡팡이' 탄생일입니다.


출산 전 마지막 검사

오늘은 출산 전 마지막 검사를 받고 왔다고 합니다.

지난주 검사 결과에서 태아가 자기 주수(週數) 보다 작다고 해서, 일주일 내내 단백질을 섭취하였는데도 '팡팡이'는 별로 안 컸다고 하네요. 그런데 이와 같이 엄마 배에서 잘 안 자라면, 탯줄이 역할을 잘 못하고 있을 수 있어서 일찍 출산하는 게 더 안전하다고 합니다. 딸아이의 생각은 이럴 바엔 좀 더 일찍 수술을 했으면 했는데, 의사분이 금요일에 수술을 해도 문제가 없다고 해서 그냥 예정대로 출산하기로 했다고 하네요.

태아의 성장이 평균보다 느리다고 판단하는 기준은 '몸무게 하위 10%'라고 합니다. 38주 차 태아의 몸무게 평균은 약 3,050g ~ 3,600g 정도라고 하는데, '팡팡이'는 약 2,680g이니 작은 편이기는 하지만, 일단 2,500g은 넘어서 미숙아는 아니라고 합니다. 이럴 경우 엄마 몸에서 못 크면 나와서 크는 게 좋을 수도 있다고 하네요.


38주 '팡팡이' 초음파 사진 분석

1. 심장박동수(Fetal Heart Rate)는 지난번 37주 차의 FHR과 동일하게 147 bpm입니다.

38주 FHR.jpg [38주 차 심장박동수]

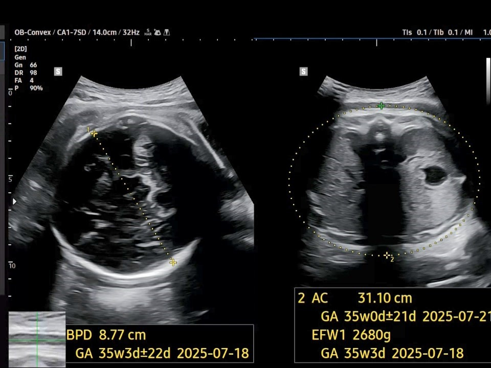
2. 태아 머리직경(BPD: Biparietal Diameter)은 8.77㎝이고, 태아 복부 둘레(AC: Abdominal Circumference)는 31.10㎝이네요. 둘 다 아주 조금 증가한 수치입니다. 임신 주수보다 약 2주 정도가 작은 상황이네요.

38주 BPD.jpg [38주 차 머리직경과 복부 둘레]

3. 허벅지 뼈의 길이(FL: Femur Length)는 6.87㎝로 지난주보다 0.1㎝ 가량 자랐습니다. 그리고 태아 추정 체중(EFW: Estimated Fetal Weight)은 약 2.6㎏으로 나옵니다. 지난주에 비해 약 100g 정도 몸무게가 늘기는 했는데, 막달에는 태아가 일주일에 약 200g씩 크는 것에 비해서는 잘 안 크고 있다고 보입니다.

38주 FL.jpg [38주 차 허벅지뼈 길이]

마지막 주에 촬영한 초음파 동영상을 편집하여 등재하였습니다.

[38주 차 초음파 영상]

초음파 검사를 통한 태아의 체중이나 크기의 측정은 100% 정확하지는 않다고 합니다. 그래도 평균보다 작다고 하니 걱정은 되네요. 딸애는 남은 기간이라도 "삼시 세끼"를 고기로 먹어서라도 키워보겠다고 하는데, 마지막 희망을 걸어봐야겠습니다. 여하튼 내일은 시부모님과 같이 갈빗집에 가서 고기를 먹고, 수술 전날에는 뷔페도 다녀온다고 합니다. 조금이라도 더 커줬으면 하는 바람이네요.


이제 금요일 오전에 제왕절개 수술이 예약되어 있습니다. 당일 날 수술이 9명이라 이것도 산모가 오는 순서대로 수술이 이루어진다고 하네요. 생각보다 제왕절개 수술이 많은 것 같아서 찾아보니 좀 놀랐습니다.

우리나라 제왕절개 분만율은 매년 상승해서 2014년에는 38.7%, 2018년에는 47.3%, 2019년에는 50.6%, 2022년에는 61.2%, 그리고 2024년에는 64.2%라고 합니다.
비록 21년 기준이기는 하지만, OECD 국가 중 튀르키예 다음으로 높다고 합니다. 이 같은 수치는 미국(32.1%)의 두 배, 일본(16.6%)의 세 배 이상이라고 하며, 세계보건기구(WHO) 권고치인 10~15%의 네 배를 넘는 수준이라고 합니다.
이렇게 제왕절개 비율이 높은 이유는 '고령 임신의 증가, 의료 분쟁에 대한 부담, 산모의 분만 고통에 대한 두려움, 병원들의 제왕절개 선호 등'이라고 하네요.
제왕절개 분만율.png [출처: 건강보험심사평가원·국민건강보험공단, 「건강보험통계」]


딸 애와 팡팡이 모두 편하게 지내다가, 건강하게 출산하는 것이 바람이네요.


※ 내용은 딸아이의 임신 정보를 기반으로 작성하였으나, 일부 의학 관련 사항은 인터넷을 참고하였습니다.


오늘도 펭귄의 짧디 짧은 다리로 달리고 달리고 ~

8_uj7Jz2GdW7GSTqYVZnya--mx4.png


keyword
월요일 연재