brunch

건강하게 장수하는 명상의 과학적 신호

by 김권수

신경활동의 흥분을 줄이는 것이 장수의 비결

신경활동의 안정을 되찾는 명상

건강하게 살기 위해서 '뇌피로를 줄여라'라고 말하는데, 과하게 자극받아 활성화되고 흥분한 뇌신경은 장수에도 도움이 안 된다. 인지장애 없이 건강하게 장수한 노인(85세 이상)과 그렇지 않은 노인(80세 이하)들은 유전자 발현에서 뚜렷한 차이를 보였다.


건강하게 장수한 노인들은 뇌신경을 자극하는 유전자 발현이 낮았고 면역과 관련한 유전자 발현은 높았다. 또한 이들은 <신경흥분과 관련한 유전자를 억제해서 신경계를 보호>하는 REST 단백질이 더 높았다. 과도하게 흥분한 신경활동을 억제할 수 있느냐가 장수의 비결이었다.


이미지 4.jpg REST 단백질에 의해 하향조절(억제)되는 유전자 발현(a, b)/ 건강하게 장수한 사람들은 신경활동을 억제하는 REST 단백질의 분포가 높다(C)

흥분성 신경활동을 줄이는 것이 건강하게 장수하는 비결이다. 그렇다고 신경 활성을 무작정 낮추며 살 수는 없는 세상이다. 스트레스 등으로 과도하게 활성화되는 신경활동을 안정화시킬 수 있는 명상은 흥분된 신경활성을 줄일 수 있는 효과적인 방법이다.


쉴 때도 열심히 활성화되는 뇌, 어떻게 할까?

사람들이 아무 일도 하지 않고 쉬고 있을 때 오히려 활발하게 활성화되는 뇌 영역이 있는데, 디폴드 모드 네트워크(DMN)다. 사람들은 휴식한다고 생각해도 뇌는 쉼 없이 일하고 있는 셈이다. 항상 일하며 혹사당하는 뇌를 쉬게 해야 한다며 디폴드 모드 네트워크(DMN)를 활성화해야 한다고 주장하는데 그때도 뇌는 혹사당할 수 있다. 이때 여러 생각의 반추와 백일몽을 꿈꾸거나, 과거의 일이 문득 살아나고, 미래의 망상이 피어오르는 등 신경활동은 줄어들지 않는다. 마음의 방황을 멈추고 온전히 쉴 수 있는 방법이 없을까?


온전히 뇌를 쉬게 하는 명상

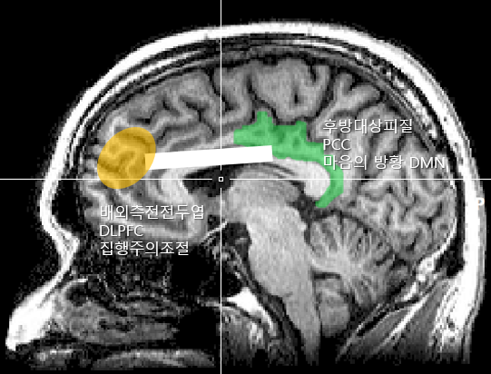
평소 명상이 가장 좋은 휴식법이라고 주장한다. 명상을 하면 주의를 조절하는 뇌 부위를 제외하고 전반적인 뇌 활동이 줄어든다. 뇌가 조용해진다. 그리고 쉴 때도 활성화되는 디폴트 모드 네트워크(DMN)의 활성도 억제된다. 명상을 하면 마음이 방황하게 하는 디폴트 모드 네트워크(DMN)의 핵심 노드인 후대상피질(PCC)과 주의를 제어하는 배외측전전두엽(DLPFC)의 기능적 연결이 강해지면서 주의력이 향상되고 마음의 방황이 줄어들게 된다(DMN억제). 보다 명료한 상태에서 완벽하게 뇌가 휴식할 수 있도록 해준다.

그림1.png


또한 딴생각에 빠지고 멍한 상태의 디폴트 모드 네트워크(DMN)에 빠져서 헤어나지 못하면 신경퇴행성 질환이나 정신질환의 발생 위험도 높아진다. DMN의 활동이 지나치면 집중력이 저하되고 우울증과 부정적 감정을 유발할 수 있다. 나이가 들면 이런 멍한 상태와 각성 상태의 전환에 이상이 생길 수도 있다. 과학자들은 명상이 디폴트 모드 네트워크에서 각성 상태의 주의 네트워크 사이를 보다 빠르게 전환하도록 도와준다는 사실을 밝혀냈다.


세포 노화를 방지하는 명상

사람이 질병이 생기고 노화되고 죽는 것은 세포 염색체 끝에 있는 텔로미어(Telomere)가 닳아 없어지기 때문이다. 우리 세포의 염색체 끝에는 텔로미어라는 작은 부분이 있어 염색체를 보호한다. 텔로미어는 세포분열이 진행되면서 점점 짧아지는데 이 과정이 노화다. 이 텔로미어가 닳아 없어지는 것을 예방하기 위해서 텔로머라제(Telomerase)라는 효소가 활성화되면서 노화를 예방할 수 있다.


다운로드.png

과학자들은 명상이 텔로미어가 닳아 없어지는 것을 예방할 수 있다는 사실을 알아냈다. 명상을 한 후 텔로머라아제의 활성도를 평균 30% 이상 높게 나타났다. 만성적인 스트레스나 심한 학대, 만성질병이나 치매를 간호하는 가족, 지속적인 번아웃을 경험한 사람들은 텔로미어의 길이 짧았다. 이런 사람들에게 명상을 8주 동안 시켰더니 텔로머라아제의 활성이 43% 향상되었다.


이런 과학적 사실들을 살펴보면 명상이 유행하는 이유를 알 것 같다. 명상이 삶과 생활과 함께 존재해야 하는 이유를 알 것 같다. 오래 살아도 건강하게 사는 것이 중요한 시대, 스트레스받고 흥분할 것이 많은 시대 명상이 함께 할 필요성 높은 시대다.





[신경자극과 REST에 의한 수명 조절]

Zullo, J. M., Drake, D., Aron, L., O'Hern, P., Dhamne, S. C., Davidsohn, N., Mao, C. A., Klein, W. H., Rotenberg, A., Bennett, D. A., Church, G. M., Colaiácovo, M. P., & Yankner, B. A. (2019). Regulation of lifespan by neural excitation and REST. Nature, 574(7778), 359–364. https://doi.org/10.1038/s41586-019-1647-8


[마음챙김 명상(MBSR)이 후방대상회(PCC)와 연결성 강화 변화]

Kral, T. R., Imhoff-Smith, T., Dean III, D. C., Grupe, D., Adluru, N., Patsenko, E.,... & Davidson, R. J. (2019). Mindfulness-based stress reduction-related changes in posterior cingulate resting brain connectivity. Social Cognitive and Affective Neuroscience, 14(7), 777-787.


[명상이 텔로머라아제 활성화

Tonya L. Jacobs, Elissa S. Epel, Jue Lin, Elizabeth H. Blackburn, Owen M. Wolkowitz, David A. Bridwell, Anthony P. Zanesco, Stephen R. Aichele, Baljinder K. Sahdra, Katherine A. MacLean. Intensive meditation training, immune cell telomerase activity, and psychological mediators. Psychoneuroendocrinology, 2010; DOI: 10.1016/j.psyneuen.2010.09.010



https://brunch.co.kr/@hesse24/78

[명상

keyword
매거진의 이전글자동반응성의 알아차림, 훨씬 더 쉬운 웰빙