곱상하게 생겨서

당직 단상

by 하일우



뜻깊은 모임 창립을 위해

여러모로 동분서주하시는

양 세무사님이 병원에 찾아오셔서

근무 중에 짧고 굵게 의기투합하였다.




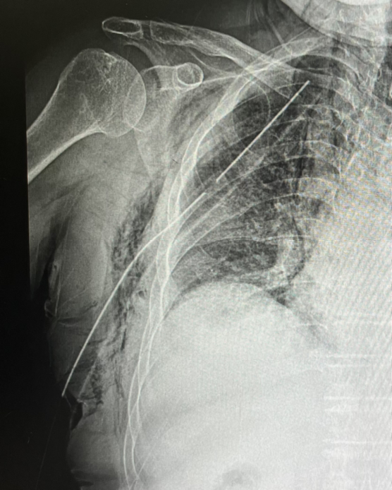
집에서 넘어지셨는데,

쇄골과 늑골이 부러진

할머니를 맞이하였다.


흉부 CT 사진에서

기흉과 피하기종이 보여서

모처럼 흉관을 삽입하였다.



시술에 집중하는 내게

할머니께서 말씀하셨다.

“곱상하게 생겨서

왜 이렇게 아프게 해.”


그 와중에 의사 관상 보셨네.


아프게 해드려서 죄송해요.
얼른 나으세요.


수용의 선물을 통해
당신의 아픔을 마주할 때,
상처는 풀리기 시작하고
다른 더 높은 운명이
당신 앞에 열리게 됩니다.

사랑은
자유를 통해 자라고
수축을 통해 죽습니다.

신성한 상처에 들어가는 과정은
우리의 삶과 인간관계를 동반하여
함께 오는 카르마의 매듭과
끝을 푸는 과정입니다.

우리가 상처를 마주하는 것을 배울 때,
우리의 여정은 점차 명확해지고, 쉬워집니다

_25번째 유전자 키


keyword