1-3 쉬어가기. 귤락이 두꺼워져요
난 귤 먹을 때 뇌 생각이 나
by
저삶의
May 26. 2025
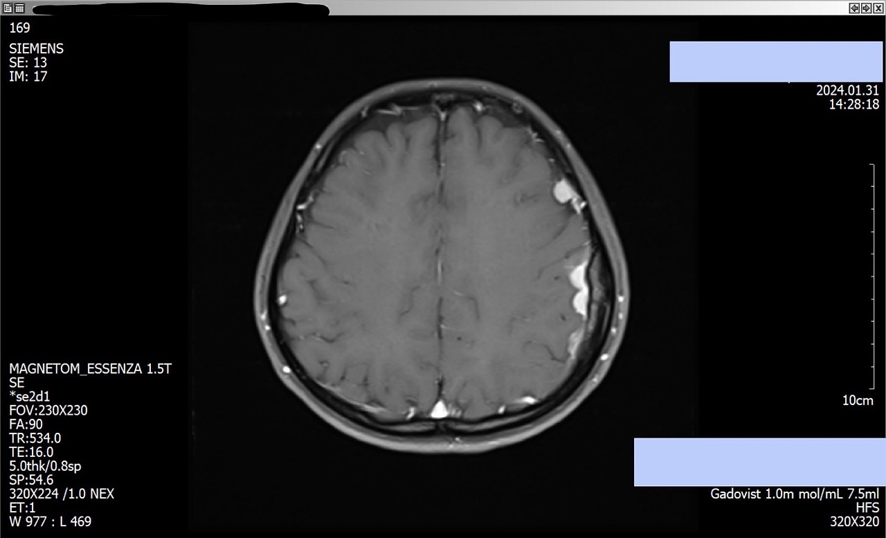
2024년 1월에 촬영한 뇌 MRI
나와 남편은 귤 종류의 과일을 까서 먹다가 이 사진을 떠올리곤 한다.
마치 귤 겉면에 붙은 흰색 귤락이 눈치 없이 두꺼워져 있는 듯한 형상이다.
keyword
병원
뇌
MRI
Brunch Book
나의 첫 환자는 나였다
02
1-2. 뇌수막종, 당신 누구야?
03
1-3. 의대생인데 환자입니다
04
1-3 쉬어가기. 귤락이 두꺼워져요
05
1-4. 부정-분노-타협 건너뛰고 우울
06
1-5. 이제 앞만 보고 달리면 될 줄 알았지?
나의 첫 환자는 나였다
brunch book
전체 목차 보기 (총 24화)
이전 03화
1-3. 의대생인데 환자입니다
1-4. 부정-분노-타협 건너뛰고 우울
다음 05화