brunch

명의를 만나다.

뺑덕어멈의 변명

by 주원

며칠 전에 첫째가 운동을 하다 다리를 삐끗했다며 비줄비줄 울며 들어왔다. 24시간 중 23시간 예쁜 아이지만 저 특유의 입술 실그러뜨림은 영 거슬린다. 소심하고 예민한 성격이 울음에도 드러나서 말이다.


우는 애를 앉혀놓고 발목을 이리저리 돌려보아도 외상은 없어 보였다. 나는 뺑덕어멈 뺨치게 쿨한 엄마이니 일단 병원은 내일로 미뤄두었다. 지난겨울에도 첫째가 넘어져서 팔이 아프다며 조퇴를 하고 온 적이 있었다. 나는 엄살 부리지 말라며 핀잔을 줄 만큼 일단은 지켜보는 스타일이다. (물론 그때는 손목 골절로 판명되어 아이에게 재빠르게 사과한 전력이 있다.) 애셋을 키우다 보면 저절로 담대해진다. 애들은 돌아가며 아프고 다치는데 내 몸은 하나라 일일이 병원에스코트를 할 형편이 안된다. 열이 높다거나 알레르기가 올라온다거나 피부자상, 열상이 심하지 않으면 일단 두고 본다. 다음날이면 멀쩡해지는 경우가 허다하다.


첫날은 좀 붓는 듯했으나 지켜보았고 둘째 날은 아프다고 했으나 붓기가 미약하여 소염진통제를 먹였다. 셋째 날이 되자 아이는 걸을 때 찌르는 듯 통증이 있어서 학원에 가지 못하겠다고 했다. '그 정도로 아프다고? 만약 이번에도 정형외과적 문제가 있으면 모진 에미 소리는 피할 수 없겠는데.' 생각하며 시계를 보았다. 시계는 3시를 가리키고 있었다. '가만 보자. 병원에 도착하면 3시 10분. 접수하고 대기하고 엑스레이까지 찍으면 최소 3시 30분인데 물리치료까지 하게 되면 4시 학원은 못 가겠는데. 그래도 할 수 없지. 애가 아프다는데 학원이 문제야?'생각하면서도 내 몸은 번개처럼 움직였다. 일말의 가능성이라는 게 있는 법이다. 서둘러 차를 몰고 병원 건물로 들어섰다. 지하 2층까지 내려가도록 주차 자리는 보이지 않았다. 마음이 급해진 나는 아이를 엘리베이터에 앞에 내려주며 말했다.


"저번에 왔던 병원인 거 기억하지? 4층 정형외과 가서 네 이름 말씀드리고 발목이 아파서 왔다고 해. 엄마 주차만 하고 바로 올라갈게."


지하 3층으로 내달려 남은 두 자리 중 한 자리에 주차를 하며 안도의 숨을 내쉬었다. '좋았어!' 쾌재를 부르며 엘리베이터를 잡아 타고 4층에 도착했는데 애가 병원 문 앞에 오도카니 서있다. 한숨이 절로 나왔다. 부끄러워 문도 열지 못한 것이다. '이 대기인수 한 명 한 명 줄어드는게 얼마나 피마르는 일인지 모르는 녀석아!' 꿀밤 한 대를 때려주고 싶었지만 대신 이마에 뽀뽀를 갈겨주고 우악스럽게 병원 문을 열었다. 대기인 0명이다. 절로 미소가 지어졌다.


무슨 일로 오셨냐는 의사 선생님의 말씀에 "아이가 발목을 삐끗해서요." 하며 묵직한 아이 발을 신발에서 꺼내 양말을 벗기자마자 의사선생님은.


"아이고 많이 부었구나." 하셨고 0.1초 후에 다시

"아닌가? 살인가?" 하셨다.

살짝 당황한 나는

"아. 그게. 저도 헷갈려서요. 워낙 발목이 굵거든요."


의사 선생님과 간호사 선생님이 동시에 웃음을 터뜨렸다. 선생님은 멋쩍으셨는지 헛기침까지 하시며

"흠.. 으흠.. 그럼 사진 한 번 찍어봅시다." 하셨다.


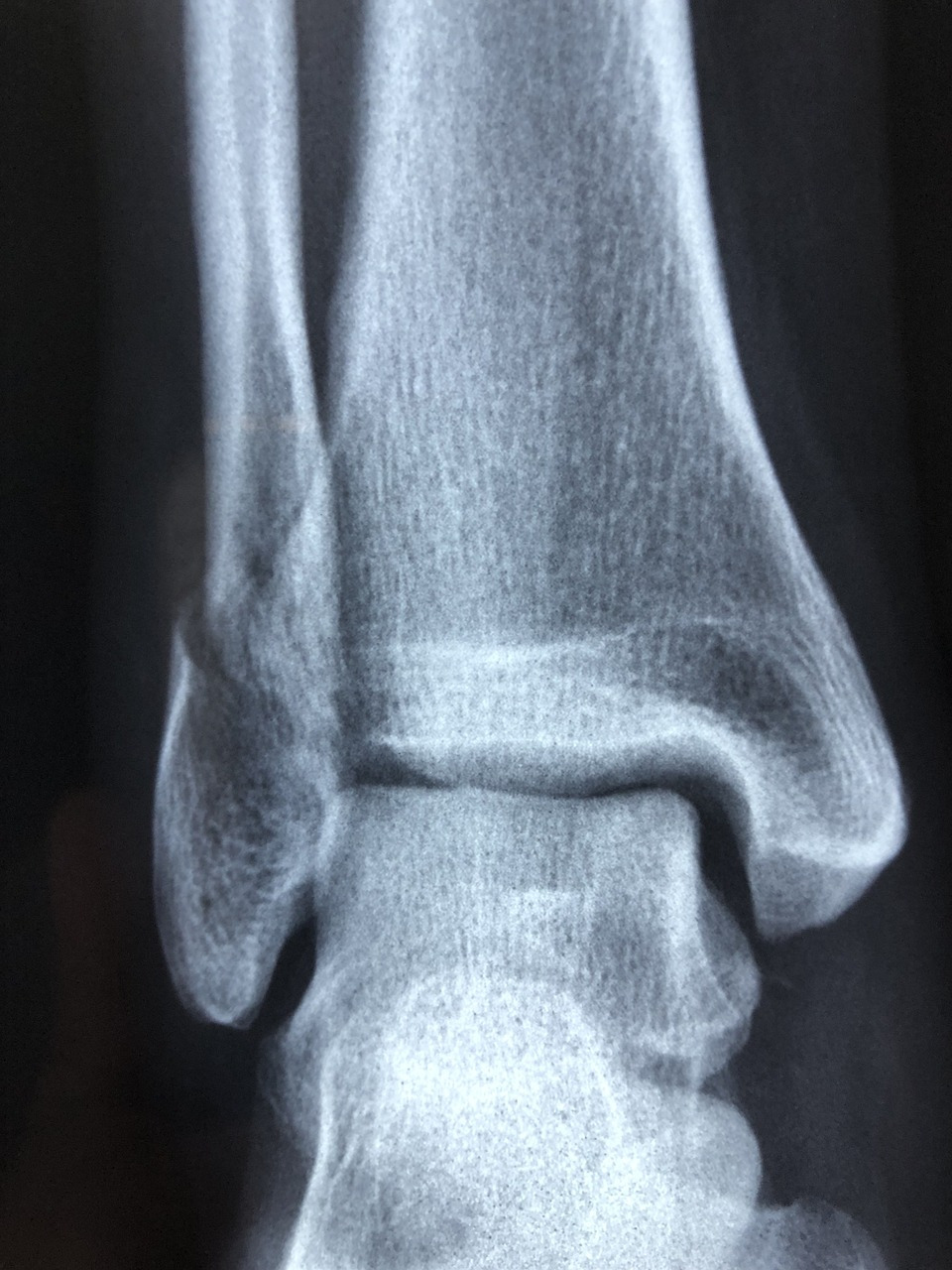
발목이라면 수 백 번 수 천 번 보셨을 의사 선생님 눈에도 확연히 굵은 내 딸의 발목 엑스레이는 명명백백했다. 나는 뺑덕어멈이 아니라 반의사였던 것이다. 아무 이상 없음이라는 진단과 동시에 아이의 통증은 사라졌고 아이는 4시 수업에 차질 없이 출석했다.


오늘 진정한 명의를 만났다.

radiography-3057768_1280.jpg 출처: 픽사베이


keyword
수요일 연재