brunch
브런치북 병중일기 16화

병중일기 15

보상 1

by KIDAE 기대

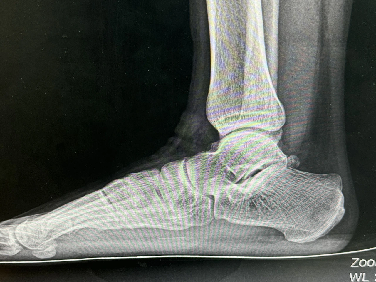
내 말목은 크게 다쳤다. 사고 지점에서 가까운 병원에서 1차 응급수술, 병원을 옮겨서 2차 본 수술 그리고 2번의 수술을 더했다. 그동안 마음고생이 많았다. 나 대신 본 수술을 할 병원을 알아봐 주고 나와 함께 구급차를 타고 이동해 준 누나, 내가 다친 날부터 내 다리가 괜찮아질 때까지 병시중을 들어준 아빠, 가게 일로 바쁜 나와 중에 항상 걱정해 주신 엄마. 나의 가족도 나와 같이 내가 다친 후로 항상 노심초사했을 것이다.

Untitled_Artwork 2.jpg

다친 후로 틈틈이 발목을 다친 것에 대해 보상받는 것들을 알아보았다. 내가 가지고 있는 얼마 되지 않는 보험에서도 사고 관련 보상이 있었다. 특히 국가 장해 등급을 받는 것에 관심이 갔다. 내가 해당이 된다면 어떤 것이라도 악착같이 받아서 그동안의 고생을 보상받고 싶었다.


IMG_8326.HEIC

국가 장해등급을 받으면 재 취업을 할 때에도 어느 정도 혜택이 있을 것 같았다. 만약 취업을 하고 회사에서 일을 하다가 계속 남아 있을 수 있는 후유증을 겪는다 해도, 회사에 굳이 설명 안 해도 장해등급이 있으면 회사가 어느 정도 이해할 수 있을 것이다. 여러모로 필요할 것 같아 여러 방면으로 알아보기 시작했다.


보험사에서 받을 수 있는 장해 보상금은 대체로 손해 사정사를 수배하여 계약하고 진행한다고 한다. 손해사정사가 모든 절차를 대행해 주고 수수료를 받는 방식이다. 여러 손해사정사와 컨텍 해 봤다. 내가 가입되어 있는 보험은 보상금이 크지 않아 대부분의 손해 사정사가 하려고 하지 안 났지만 몇 군데에서 하겠다는 연락을 받았다.


우선 손해사정사가 섭외한 병원에서 보상등급에 해당하는 검사 결과를 받은 다음 보험사에 청구해야 한다고 한다. 국가 장해 등급은 대부분 덤으로 해준다고 했다. 국가 장해 등급이 받기 어렵다고 생각해서 검사는 보험 보상금과 같이 해주는데 대신, 국가 장해등급을 받게 되면 100만 원을 지급해야 한다는 손해사정사도 있었다. 검사 비용은 30만 원 정도였다.

Untitled_Artwork 복사본 2.jpg

본 수술을 한 병원에 국가 장애 진단서를 써줄 수 있냐고 물어보았다. 마지막 수술에서 줄기세포를 넣어서 비용이 1000만 원이 나왔다. 물론 실비보험으로 90%는 커버되었다. 아빠가 실비를 들어놓지 않았다면 어떻게 되었을지 아찔하다. 그 외에도 어려 번의 수술을 진행했었기 때문에 당연히 써줄 거라 생각했다. 의사 선생님의 진료 때 국가 장해 진단서에 대해 물어보니 써본 적이 없어서 다른 의사 선생님께 물어보고 알려 주신다고 하셨다.


다음 진료 때 다른 의사 선생님 들게 물어보았는데 내가 장해등급을 받을 확률은 적다고 말씀하셨다. 일부러 안 써준다고 느끼기도 했고, 있는 그대로 말씀해 주신 것 같기도 하는 기분이 들어 헷갈렸다. 나는 그래도 써주실 수 있냐고 물으니 가져오면 써준다고 하셨다. 병원에 장해진단서 양식이 없는 것이 의문이었지만 일단 그냥 알았다고 했다. 종합적으로 생각해 왔을 때 이병원은 장해 진단서에 대해 부정적이라는 생각이 들었다. 써준다 해도 있는 그대로 써주지 않을 수도 있다는 생각이 들어 일단 본 수술을 한 이병원은 보류하기로 했다.



keyword
이전 15화14병 중 일기