8주차 | 꿈틀꿈틀, 젤리곰이 나타났다

3배로 성장했다는데도, 아직 작고 소중해

by 고지은
젤리곰이 된 우리 아가


어머, 너무 귀여워

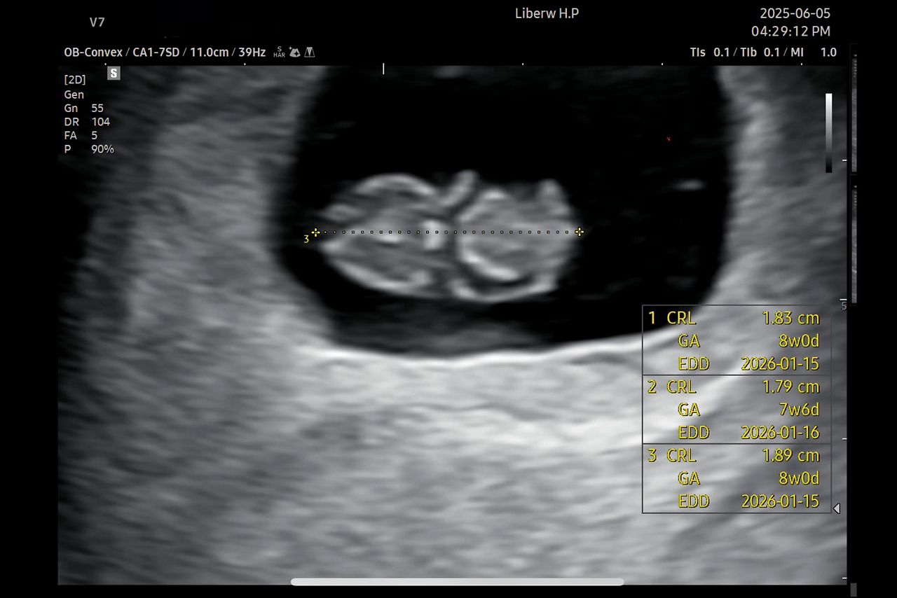
콩딱거리는 심장뿐이던 콩알 모양 아기가 팔다리와 꼬리까지 꼬물거리는 젤리곰 아기가 되었다. 2주 동안 0.5cm 에서 1.8cm로 폭풍성장한 것. ‘아 이게 팔이군요’ 바로 알아차렸다면 더 좋았겠지만 나도 엄마는 처음인지라, 의사 선생님이 가리키며 설명해 줄 때까지 요 땅콩은 뭣인가 했다. 알고 보면 너무나도 선명한 머리와 팔과 다리인데 말이다!




2주 전 심장소리를 처음 듣는 날엔 아기가 구석에서 쉬고 있었다. 그 때문인지 심장 소리가 매우 작게 들려서 조금 아쉽고 걱정되었는데, 이렇게 쑥쑥 잘 자라고 있는 모습을 보니 반가웠다. 심장이 벌렁거리는 모습도 얼마나 귀여운지.




병원에서 감사하다는 말만큼 ‘귀엽다’는 말을 많이 외치고 왔다. 의사 선생님은 내 반응이 너무 좋으니 초음파 사진도 여러 장 뽑아주겠다며, 덩달아 신나 하셨다.




- 지난주에 갑상선 때문에 눈물 흘린 거 민망하시죠? 이렇게 잘 크고 있으니 염려 말고 지금처럼 푹 주무시고 잘 챙겨드세요.

- 넵! 감사합니다. 진짜 귀엽다! 수고하세요.





8주차 내원 후기

이 시기의 태아를 모양 때문에 ‘젤리곰’ 이라고 한댄다. 귀엽다!

우리 아기는 하리보보다는 땅콩모양에 더 가까웠지만. 친구에게 보여주니 통닭 같다고.

처음으로 복부 초음파를 했다. 아프지 않고 편해서 좋다.

출산 예정일이 확정되었다. 이모 삼촌들, 모두 캘린더에 저장해 주세요!

앞으로는 4주마다 병원에 간다. 텀이 길어졌다. 어떻게 기다린담.




아가야,
꼬물꼬물 거리는 모습이 너무 귀여워.
아직 꼬리도 있더라, 팔다리만큼 길어!

기분이 너무 좋으니,
특별히 달콤한 디저트를 먹자,
말차라테랑 에이스 비스킷 어때.

2025.06.05


keyword
이전 03화7주차 | 네? 제 갑상선이 어떻다고요?