계류유산으로 너를 보내며(6)

분만 병원으로 전원 그리고 산후조리원 예약

by 로투스

벌써 임신 8주 차, '임산부'라는 호칭에 이제 막 익숙해져 가고 초반엔 그저 '혼란'이었던 다양한 임신 증상들에 조금은 적응해갈 즈음..


기존에 다니던 병원은 분만을 하지 않는 곳이라 이제 슬슬 분만을 하는 병원으로 옮겨야 했다.


그동안 남편이 평일에는 시간을 내지 못하여 같이 산부인과에 간 적이 없었는데, 분만병원으로 옮기는 첫날은 남편도 나도 직장에 휴가를 내고 함께 병원에 가기로 했다.


연차를 낸 김에 그동안 알아보았던 산후조리원에도 직접 가보고 마음에 들면 계약도 하고 오자고 계획을 세웠다.


분만병원에는 배 크기가 다양한 산모들이 있어 신기하고 재미있었다. 기다리는 동안 지루하지 않게 사람 구경을 하였다.


함께 병원을 가는 것은 처음이라 뭔가 특별한 기념일이 된 것 같은 기분이 들었다. 남편도 함께 우리 요셈이를 분만까지 담당해 주실 의사 선생님을 만났고, 함께 초음파를 보며 그동안은 동영상으로만 보았던 요셈이의 쿵쿵 뛰는 심장소리를 직관하였다.


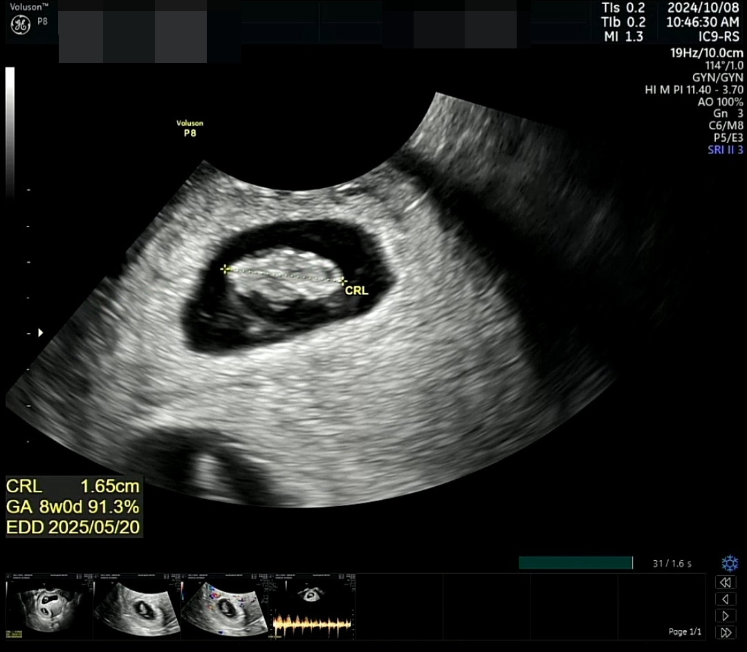
요셈이는 그새 또 자라 1.65cm가 되어 있었다. 이제 모양도 제법 생명체 같았다.

심장도 잘 뛴다고 하였다.


필요한 검사를 마치고, 2주 후에 다시 병원에 오라고 하셨다.


임신을 확인하고 나서 매주 이슈가 많아 마음을 졸이며 일주일마다 병원에 다녔는데, 2주 후에 병원에 오라고 하니 '이제는 조금 마음의 여유를 가져도 되는 걸까?' 하는 생각이 들었다.


2주 후에 병원에 오고, 또 그 2주 후에는 정밀 초음파를 보고 목 투명대를 확인하며 1차 기형아 검사라는 걸 할 거라고 했다. 이렇게 조금만 있으면 곧 임신 중기에 들어설 거라고 생각하니 설레고 기뻤다.


병원에서 나와 맛있는 점심도 먹고, 알아봐 둔 산후조리원으로 향했다. 언덕의 조용한 주택가 맨 꼭대기의 자연뷰를 자랑하는 한적한 독채 건물이었다. 조용한 자연 속에 있다는 것이 마음에 들었다. 통창으로계절을 느낄 수 있는 곳이었다.


실제로 가보니 더 내 마음에 들었다. 신생아 관리도 잘 되는 것 같았고, 차분히 응대해 주시는 상담실장님 모습에 신뢰감도 생겼다.

남편도 마음에 드는지 바로 그 자리에서 계약을 하고 결제를 하였다. 아직 한 군데밖에 보지 못하였지만, 입덧으로 몸도 힘든데 괜히 이곳저곳 많이 다녀봤자 소용없을 것 같다는 마음이었다. 그만큼 둘다 그 곳이 마음에 들었다.


산후조리원 내부 여기 저기를 소개 받으며, 신생아실을 지나는데 유리창 속으로 아가들이 보였다. 신생아 아가들은 내가 생각한 거보다 훨씬 더 자그마했다.

작은 아가들이 너무 예쁘고 신기해서 멍하니 한참을 들여다보았다.


"예쁘죠? 내 아기면 더 예쁠 거예요.^^"

상담실장님이 아기를 보고 신기해하는 나를 웃으며 바라보았다.


나는 저 유리창 너머로 가슴팍에 '요셈이'라고 써 붙여놓은 우리 아가가 누워있을 상상을 해보았다.


남편과 나는 입가에 빙그레 미소를 지었다.


'내가 정말 엄마가 된다니...우리가 부모가 된다니..'

감격스러운 순간들의 연속이었다.


'너는 어떻게 생겼을까..? 딸일까? 아들일까? 빨리 보고싶다 요셈아♡'


요셈이를 분만해주실 의사선생님도 골랐겠다, 산후조리원도 골랐겠다. 많은 것들이 착착 해결되어 가고 있었다.

남편과 함께 다음달에는 베이비페어도 가보자고 계획을 세웠다.


비록 몸은 힘들지만 행복한 일만 가득할 것 같은 기분 좋은 날들이었다.

keyword
이전 05화계류유산으로 너를 보내며(5)