brunch

다시 병원

잊지 못할 여성의 날

by 안녕하세연

3월 8일 오늘이 여성의 날이라는데

우리 집 여성은 왜 고통받아야 하는가


담당의는 아니지만 예약가능한 산부인과 의사, 제일 빠른 시간으로 잡았다.

몸을 추스리기도 전이지만 어쩔 수 없다.

일단 병원에 도착해서 역시나 짜증 나는 주차비를 머릿속에 입력하고

산부인과에 올라가서 접수를 했다.


또 피검사를 하고, 지난번 ER에서 했던 검사를 바탕으로 다시 경력 30년의 의사에게 다시 진단을 받은 결과.


8주 5일, 예정일 2023년 10월 13일을 219일 남기고

유산


이날도 밤에 잠을 거의 한숨도 못 자서 제정신은 아니었지만 의사 선생님께 들은 이야기를 요약하자면

"20% 정도는 유산할 수 있다. 누구도 그렇다.

뭘 잘못해서, 뭘 잘못 먹어서, 그런 거랑 상관없이 20~30%는 이럴 수 있다.

너희 잘못이 아니고, 이번엔 이런 일이 일어난 거다."


사실 어느 정도 마음의 준비를 했었기 때문에 예상도 했고,

최대한 자연스럽게 받아들이려고 노력했지만

아내는 괜찮아 보이는데 남편이 안 그래 보인다는 말에

아직 더 단단해져야 할 부분이 남아있음을 들킨 것 같아 마음이 저렸다.


안 좋은 소식을 받고도, 유산 진단 후의 과정 또한 견뎌내야 하기에

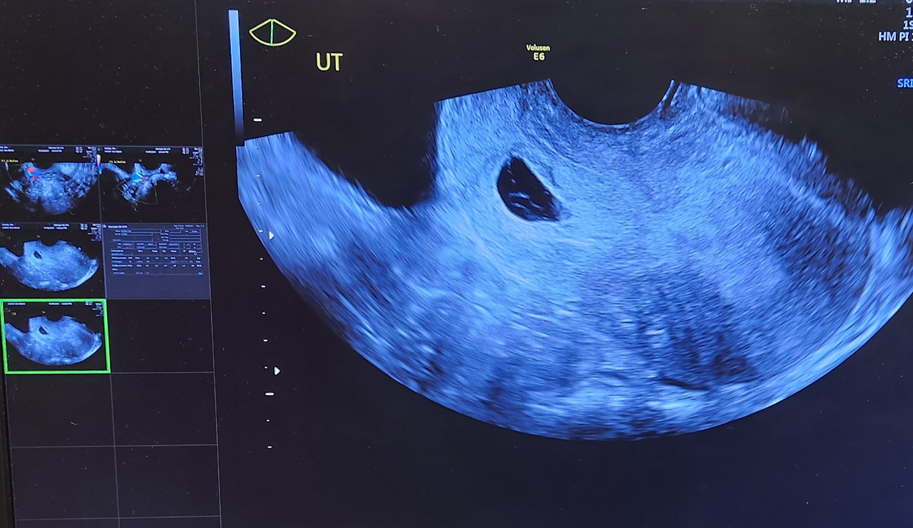
초음파 검사를 받았다.

아직 안에 아이 집이 남아있고, 깨끗하게 다 나오게 하려면 약을 먹어야 한다는 것.

그리고 그 체크를 위해 매주 와서 피검사를 받아야 한다는 이야기를 들었다.

피검사는 그냥 하나? 바늘 찌르고 뽑아야 하는 일이니

마음이 굳기도 전에 몸이 먼저 상하겠다.


병원에서는 약간 넋이 나간 상태고, 계속 검사를 받는 것만으로도 굉장히 지치는 일이니

생각을 많이 못한 채 지금 해야 할 일, 그리고 앞으로 해야 할 일들만 숙지하기에 벅찼다.


모든 검사를 마치고 돌아가는 길, 잠시 마트에 들러 장을 보려는데

과일들을 보는 순간 갑자기 울컥했다.

태아가 커가는 과정의 크기를 보통 과일 크기로 비교를 하는데

키위, 자두 같은 과일을 보자 거기에 도달하지 못한 우리 아기에게 미안해서.


20230308_170913.jpg 유산 진단을 받고, 아기집이 비어있는 걸 다시 확인

이렇게 된 거 못 먹었던 거나 실컷 먹기로 했지만

너무 지쳐서 그냥 오늘을 접기로 했다.

하지만 잊지는 않기로.


이번에 겪은 성장통이

다음에 너를 다시 만날 때

튼튼한 기쁨의 토대가 될 수 있게

이겨내고 준비할게.

내가 부족해서 미안했다.


(03/08/2023)








keyword
이전 27화재택 입원