CT와 MRI 어떤 차이가 있을까?

의학용어, 엑스레이, CT, MRI, 방사선 촬영

by 단어의 뒷모습

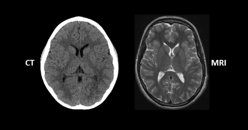
우리 몸속을 들여다볼 수 있다면, 얼마나 좋을까요? 암세포도, 찢어진 인대도, 부러진 뼈도 바로 찾아낼 수 있을 테니까요. 근대 과학이 발전하면서 우리 몸을 자르지 않고도 속을 들여다볼 수 있게 되었습니다. 다양한 기구를 통하여 우리는 우리 몸속을 들여다볼 수 있습니다. 아래는 모두 뇌의 단면 사진인데, 촬영 원리와 특징이 다릅니다. CT와 MRI는 매우 비슷해 보이지만, 작동 원리면에서는 CT와 X-ray가 사촌지간입니다. 우선 X-ray를 알아보고, 이어서 CT, MRI의 작동원리와 어떤 질환의 촬영에 적합한지 알아보겠습니다.




1. X-ray


가장 기본적으로 찍게 되는 방사선 사진입니다. 사진기로 가시광선을 기록하듯, 특별한 파장을 갖는 엑스레이(광선)를 엑스레이 필름에 기록하는 원리입니다. 가시광선과 달리 엑스레이는 인체를 어느 정도 투과할 수 있는데, 공기 > 지방 > 수분 > 뼈 순서로 잘 투과합니다. 뼈는 거의 투과하지 못하기 때문에 희게 나타나고, 공기는 검게 나타납니다.

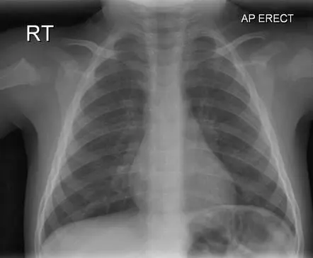
위는 흉부 엑스레이 사진인데요, 희게 나타난 뼈와, 공기가 가득 찬 폐를 관찰할 수 있습니다.

왼쪽 상단의 대문자 RT(혹은 R)는 그쪽이 오른쪽이란 뜻입니다. LT이 있으면 왼쪽이겠죠? 오른쪽 상단에 AP라고 쓰여 있습니다. 이는 anterior to posterio의 약자로, 앞에서 뒤로 찍었단 뜻입니다. 엑스레이를 환자 앞에서 쪼이고, 필름은 환자의 뒤쪽에 놓은 상태에서 사진을 찍었습니다. AP뒤에 ERECT는 사진을 서서 찍었다는 의미예요.


2. CT


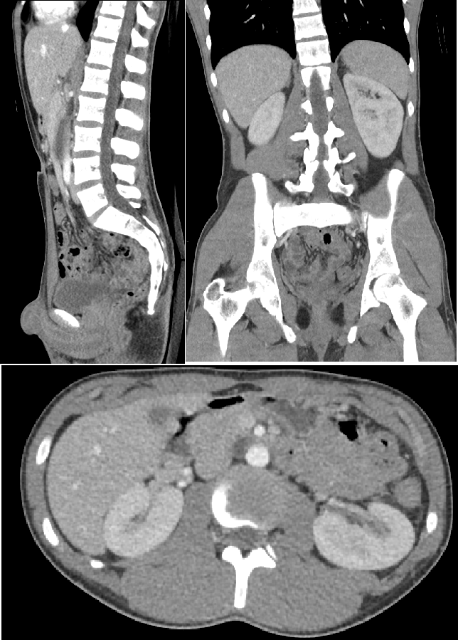
CT는, 엑스레이 사진을 여러 장 찍어 우리 몸의 단면을 컴퓨터로 재구성하는 촬영 방법입니다. 그래서, '컴퓨터로 계산하여(computerized) 단면(tomo)을 기록했다(graphy)'란 뜻으로 computerized tomography(컴퓨터 단층촬영), 줄여서 C.T.라고 부릅니다. tomo는 잘랐단 뜻이에요. ana-tomy는 신체를 자르는 해부란 뜻입니다. 촬영하는 단면은 주로 3가지로 나뉘는데요, 각각 아래 복부와 골반의 CT에 잘 나타나 있습니다. 첫 번째 왼쪽 사진은 시상 단면(sagittal section)이고, 둘째는 관상 단면(coronal section), 마지막으로 아래 단면은 횡단면(transverse section)이라고 합니다. 해부학적 단면에 관한 용어는 아래 7화 포스트에 자세히 설명되어 있습니다.

Computed tomography of the abdomen and pelvis, Mikael Häggström, M.D.

CT 역시, 원리는 X-ray와 같기 때문에 뼈는 투과하지 못해서 희게 나오고, 공기는 검게 나옵니다. CT는 MRI의 하위 호환 버전으로 생각하는 경우가 있는데, 장단점이 있습니다. MRI는 수분이 없는 조직을 구별하기 힘듭니다. 그래서, 경우에 따라 CT가 더 적합한 경우들이 있습니다. 예를 들어, 연조직의 석회화 같은 경우 CT를 통해 더 잘 변별할 수 있습니다. 뼈와 관련된 질환(bone structures and related issues), 석회화, 요로결석 등을 촬영에 주로 사용됩니다.


CT촬영이 적합한 질환은 다음과 같습니다

뼈와 관련된 질환

석회화 병변

복부의 종양


또한, MRI은 30분에서 1시간의 촬영 시간이 소요되는 한편, CT는 5-10분이면 촬영이 끝납니다. 도넛 모양의 기계 속에서 X선 tube가 환자의 몸 주위를 빙빙 돌아가면서 찍습니다. 커버를 벗기면, 엑스레이가 돌아가는 모습이 공상과학 소설 속 타임머신 같아 보입니다.


CT 스캔의 x-ray tube가 회전하는 모습(gfycat.com)

CT는 기계 자체가 폐쇄감이 덜해서, 폐쇄공포증이 있는 사람에게도 적합합니다. 요즘 MRI는 개방감이 생겼는데, 오래전 MRI는 마치 세탁기 속으로 들어가는 것 같았습니다. 아래 그림에서 오른쪽의 도넛처럼 생긴 기구가 CT입니다. 왼쪽의 좀 더 두꺼운 기계가 MRI예요. 사진 설명에 tanning bed라고 했습니다.

CT의 결정적인 단점은 방사선 조사량입니다. 아래 신문 기사에서는, "복부 CT 한 번 찍으면 방사선 3년 치 쬐는 셈"이라고 하니, 최대한 피해야겠지요.

“흡연자가 저선량 폐 CT를 찍는 것을 제외하고 증상이 없는 사람이 자주 CT를 찍는 것은 가급적 피해야 한다. 향후 방사선 노출에 대한 고려를 포함해 근거에 기반한 검진 프로그램이 마련돼야 한다”(중앙일보, 2015)


tanning bed(MRI, left) vs donut(CT, right)


3. MRI


MRI는 자기 공명 영상(Magnetic resonance imaging)이라고 합니다. 우리 몸에 강한 자기장을 걸면, 우리 몸의 수분 속 수소 양성자가 마치 자석처럼 반응합니다. 이 반응을 컴퓨터로 관찰하여 기록한 영상입니다. 이해가 잘 안 되어도 전혀 상관없습니다. 지금 핸드폰 LCD가 어떻게 작동하는지 모르지만, 제 글을 잘 읽고 계시잖아요? 여기서 중요한 것은 수분이란 단어입니다. MRI는 CT나 엑스레이와 달리 수분의 밀도가 음영, 즉 흑백의 대비를 조절합니다. 수분이 많은 부위는 사진상에 하얀색으로 수분이 없는 부위는 검게 나타납니다.

위의 사진에서 처럼 CT 사진에서 뼈 부분은 희게 보이지만, MRI 사진에서 수분이 없는 뼈는 어둡게, 수분이 많은 연한 조직은 밝게 보입니다. 촬영 방법에 따라 T1 영상의 경우 물이 검은색으로 표현됩니다. 실제 CT나 엑스레이처럼 직접 감광지에 기록하는 것이 아니고, 수소원자의 방향을 컴퓨터가 재구성해서 시각화하기 때문에, 이론적으로는 무지개색으로 표현하는 것도 가능합니다.

Screen Shot 2022-09-03 at 3.23.15 PM.png https://www.elliothospital.org/


MRI는 다음과 같은 조직을 관찰하기 적합합니다.

인대와 같은 연조직 (soft tissues, such as torn ligaments )

척수와 뇌의 병변(Abnormalities of the spinal cord and brain)

종양(tumors)

추간판 탈출(herniated discs)


MRI는 강력한 자기장을 이용하기 때문에, 자기장에 반응하는 금속을 몸에 지니고 촬영할 수 없습니다. 특히, 체내 임플란트 된 금속이 있으면 촬영이 불가능합니다. 수분의 밀도를 관찰 기록하기 때문에, 살아있는 생명체, 유기체는 대부분 관찰이 가능합니다. 심지어 바나나도 말이죠. 바나나의 자기 공명 영상을 보면서 과학의 발전에 경의를 표해봅니다!




keyword
매거진의 이전글진료 기록 엿보기, 자주 쓰이는 약어들