선택의 딜레마

by 글 쓰는 나그네

[선택의 딜레마]

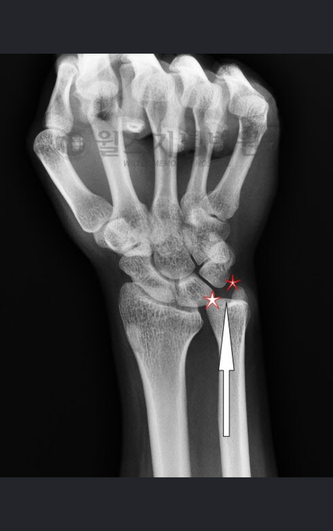
최근 대학병원에 다녀왔다. 손목의 통증 때문이다. 중학교 때부터 통증을 갖고 있다가 최근에 원인을 알게 되었다. 손목의 뼈는 요골과 척골이 있는데 척골이 상대적으로 길다고 한다. 그래서 움직이거나 손목을 비틀 때면 연골이나 인대와 충돌하는 현상이 빚어진다. 부딪히면서 찢어지기도 하고 통증을 유발하게도 된다. 그래서 잘 사용하지 않다 보니 오른손에 비해 왼손의 활용이 서툴고 악력도 많이 떨어져 있다. 근본적인 치료는 수술로 가능하다는 설명에 고민 끝에 수술하기로 결정하고 왔다. 척골을 5mm 정도 잘라서 높이를 맞추는 수술이다. 멀쩡한 뼈를 잘라서 다시 붙여야 한다니 부담스러운 것은 사실이다.

[척골 충돌 증후군]


수술을 할 거냐 그냥 이대로 지낼 거냐?라는 고민을 많이 했다. 몸에 칼을 대는 것 자체가 싫은데, 그것도 몸 안에 있는 멀쩡한 뼈를 잘라서 붙인다니 고민스러울 수밖에 없다. 결정하는 과정은 힘들다. 건강이 최우선이지만 고려해야 할 사항들이 너무 많다. 첫째로는 직장에 메인 몸이니 병가나 휴직의 문제가 가장 크고, 둘째로는 수술비용과 급여의 삭감 등으로 인한 가정 경제의 문제이고, 셋째로는 수술 이후 회복과 후유증 등에 대한 불안감이 걱정된다는 점이다. 나열해 놓고 보면 부담스러운 점은 많지만 무엇을 우선시할 것이냐는 결국 선택의 문제일 뿐이다.


[선택의 갈림길에서..]

우리는 무수히 많은 선택의 갈림길에서 길을 잃고 헤매고 있다. 어떤 선택을 하느냐에 따라 과정과 결과가 확연히 달라지기 때문이다. 그 선택의 결과를 책임지려는 자세로 대하는 사람과 선택의 결과를 타인에게 전가하려는 사람, 아예 결정 자체를 못하는 사람들도 나누어진다. 당신은 어느 선택의 줄에 서 있는가? 직장 생활하면서 가장 힘든 상사를 만나는 경우가 결정 자체를 미루는 사람이다. 충분히 예측 가능한 일들과 돌발 변수에 대한 대처능력은 평소에 얼마나 잘 준비하느냐에 성패가 달려있다.

완벽한 선택이란 없습니다. 옳은 선택은 없는 겁니다. 선택을 하고 옳게 만드는 과정이 있을 뿐입니다. [여덟 단어 - 박웅현]

박웅현 작가의 말처럼 선택을 하고 옳게 만드는 과정이 무엇보다 중요하다. 선택에는 그 시기의 상황과 그 이후의 변수가 함께 포함되어 결과를 만들어 낸다. 언제나 완벽한 선택만을 할 수는 없다. 그러하기에 그 사람의 능력은 선택 이후에 달려 있는 경우가 대부분이다. 만약 돌이킬 수 없는 선택을 했다면 철저히 낮은 자세로 반성하는 것이 선택한 결과를 올바르게 만드는 일이다.





keyword
매거진의 이전글반차를 내고 도서관에 왔다...