집 밖은 위험해

임신 6주~7주 차 일상

by 김파워

임신 5주 5일 작은 아기와 심장박동을 확인한 기쁨도 잠시 입덧은 나날이 심해졌다.

보통 6~7주부터 시작한다는데 나는 왜 임테기를 확인한 임신극초기 4주부터

울렁거리기 시작해서 계속 심해지는 거냐..


어제는 제일 좋아하는 쫄면을 먹었는데 속이 안 좋아지더니 바로 토했다.

몇 일째 먹기만 하면 토를 하고 있는데 서러웠다. 눈물이 펑펑 났다.

먹고 싶은 것도 못 먹고, 아직 임신 초기라 가족들한테 말도 못 하고,

밖에 나가면 온갖 냄새가 코를 뚫고 들어와서 울렁거리니 나가지도 못하고,

언제까지 이렇게 지내야 하나 두렵다.


나는 평소에 소화력이 좋고, 먹는 것도 좋아하는 사람인데 한 순간에 이렇게 되었다.

임신 한순간부터 내 몸이 내 몸이 아니다. 일상을 유지하는 것도 어렵다.

다행인 건 지난주까지만 출근하고 나는 이제 자유의 몸이 되었다.


임신기간 동안 출퇴근하며 일과 육아를 병행하는 사람들은 정말 대단하다.

존경스럽다. 남들 힘든 몸으로 다 할 수 있는 건데 유난이다 말하는 사람들은

임신·출산 유경험자 아니면 입을 닫았으면 좋겠다.


어떤 사람은 입덧이 막달까지 계속되었다고 한다. 누구는 16주쯤 멈췄다고 하고..

멈췄다가 다시 시작했다고도 하고.. 사람 하나 만들어내는 게 쉽지 않다.


미디어에는 우당탕탕 사고 쳐서 임신한 케이스가 많이 나와서

임신이 피임만 안 하면 뚝딱 되는 걸로 많이들 알고 있지만,

실상은 배란일을 딱 맞춰도 성공하기 힘든 게 임신이다.


첫 진료를 기다리면서 대기실에서 아무 생각 없이 성교육 시간에 봤을 법한 임신이 되는 과정을 봤다.난자까지 헤엄쳐가는 수억 마리 정자를 마음 속으로 응원하게 되었다.

수정에 성공한 장면에서는 제발 내 뱃속에 아기도 온전한 유전자가 결합했기를 바랐다.


9주 넘어서도 심장이 멈추지 않기를..

13주 차 기형아검사도 통과할 수 있기를..

넘어야 할 산이 너무 많다.


초기 유산은 생각보다 흔하다. 아기집에 아기가 생기지 않는 경우도 있고, 잘 뛰던 아기 심장이

멈추기도 한다. 초기 유산은 유전적인 원인이 크다고 하지만 받아들이기가 쉽지 않다.


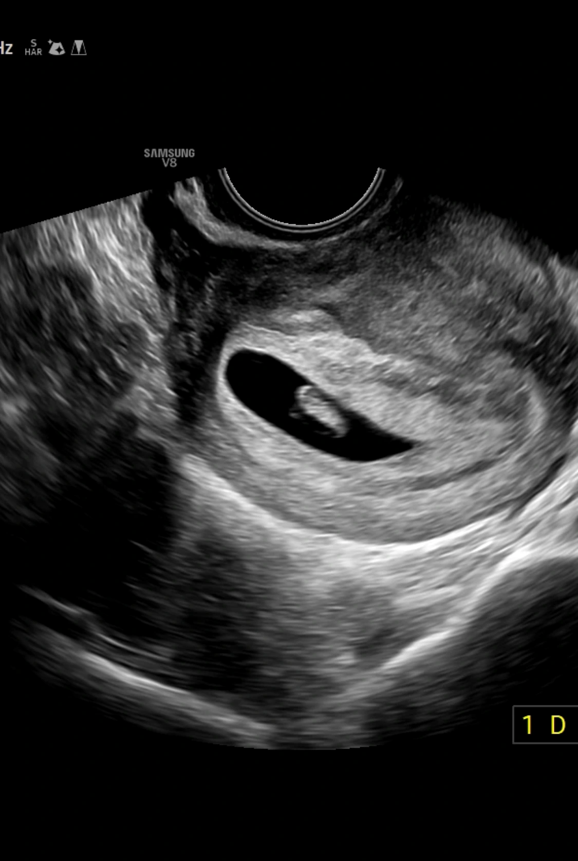
6주 6일 0.8cm 아기와 우렁찬 심장소리를 들었다.

일주일 뒤에 만난 아기는 그새 커져있었다. 이제 제법? 사람 모습이 될 준비를 하고 있었다.

오른쪽 아래 뾰족한 부분이 발이 된다고 한다. 나는 매일 토하고 우울하고 힘들었는데,

내 몸속에서 자라고 있는 아기는 잘 컸구나.. 신기하면서도 앞으로 몸이 얼마나 힘들어질까

걱정이 된다. 입덧약도 처방받았다. 2주 뒤에 만나자.



keyword
작가의 이전글떨리는 첫 초음파