brunch

EP.8 가족이 생겼어요!

갑자기 찾아온, 반가운! 알콩이

by PP

We're off this week!


PP부부에게 새로운 식구가 생겼어요!

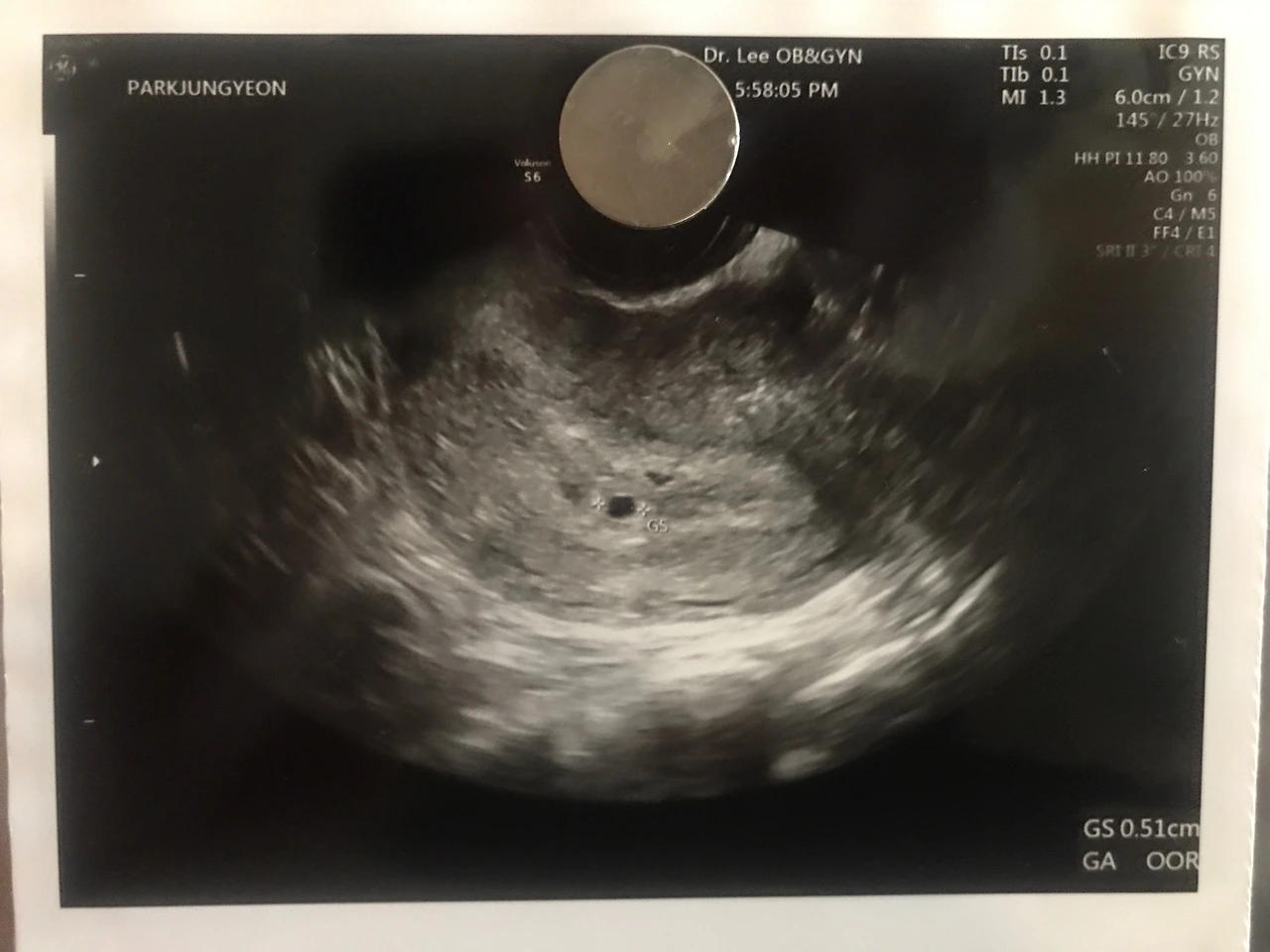
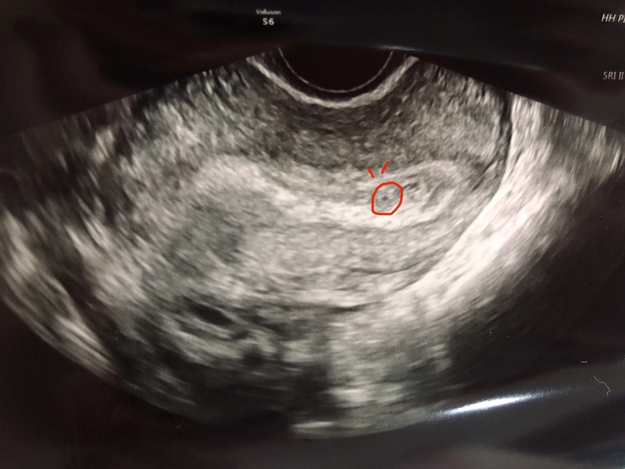
축하해 주세요! 여러분! 새로운 식구가 생겼습니다. 아들인지 딸인지 말랐는지 뚱뚱한지 키가큰기 작은지 똑똑한지 재주꾼인지 알 수는 없지만! 저 사진속 가운데에 있는 저 조그마한 녀석이 바로 피피의 새식구 '알콩이' 입니다.


점점 크고 있는 '알콩이'

알콩이는 현재 4-5주차로 뇌(Brain)를 만들고 있는 중이에요! 다음 주엔 아마도 심장과 위 등의 장기를 만들고 있을거에요. 1주일만에 사람의 형태를 띈다고 하니 정말 놀랍죠?


뇌와 심장을 먼저 만드는 알콩이
아주 작은 알콩이

출처 : KBS 의학다큐멘터리 '태아'



그런데 왜 이름이 알콩이냐구요?


꿈속에서 나타난 수박만한 알밤 2개

장모님이 어느날 꿈을 꾸셨는데요, 수박만한 알밤 2개가 반짝반짝 빛나고 있었다고 해요. 깜짝 놀라서 태몽인가 싶으셨다고 하는데요, 정말 태몽인가봐요. '알콩이'는 태명이에요. 알밤+콩알만한 아기 = 알콩이라고 지었어요. 실제 이름은 뭐가 어울릴까요? 정말 고민이네요.



오늘은 보건소에 들려서 2달치 엽산과 임산부 뱃지, 초보 아빠 수첩, 음식안내문, 등 여러가지를 받았어요. 임신은 40주차 까지이고 현재 5주차 까지 왔습니다. 알콩이가 세상에 나오기 까지 앞으로 35주가 남았어요. 여러분도 알콩이의 미래 함께 응원해 주실꺼죠?


떨림, 그 순간.

처음 테스트기 에서 2줄을 보았을 때, 몸에서 모든 전기가 흐르고 벅차 오르는 감동이 있었습니다. 피피 부부는 소리를 지르고 서로를 꼬옥 껴안았어요. 정말이지 말로 형용하기 어려운 감정이었습니다. 저희에게는 알콩이 만큼이나 파자마에 대한 애정도 각별하답니다. 피피 파자마가 세상에 나오기까지 하나하나 세심히 신경쓰고 여러분에게 더 재미있는 이야기를 들려드릴게요!


피피부부는 이제 달콤한? 신혼생활을 벗어나 육아와 사업을 병행하는 국면을 맞이 하였습니다. 과연 슬기롭게 헤쳐나아갈 수 있을까요?



다음 글은 피피크루(PP Crew)에 대해서 다루어 볼게요!


부부가 창업하는것에 대해서 궁금하신 분들은 꼭 댓글 남겨주세요!

꼭 답변 남기도록 하겠습니다.






All inspiration comes from home.

모든 영감은 집에서 나온다.


https://www.instagram.com/official.pauseplease/






keyword
이전 07화EP.7 제품(파자마) 실제로 제작하기 (1)