15화. 22주, 정밀 초음파는 통과했는데

잘 크고 있다는 말이 전부는 아니었다

by 베이지

6주를 기다렸던 정밀 초음파 검사 날이었다.
한 달 반 만에 병원을 찾았지만, 여전히 대기실은 사람들로 가득했다.
임신이라는 이름 아래, 저마다의 시간을 견디고 있는 얼굴들이었다.


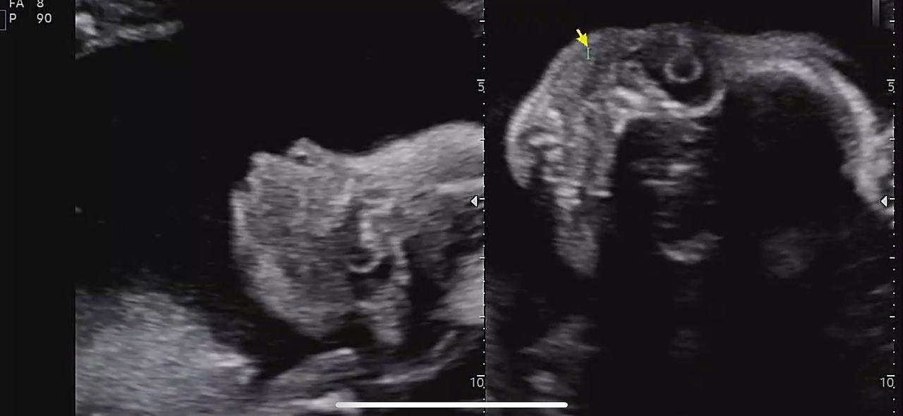
정밀 초음파는 생각보다 오래 걸렸다.
30분 가까이 이어진 검사 동안
손가락, 발가락, 귀, 콧구멍까지
아이는 하나하나 자세히 확인되었다.

KakaoTalk_20251224_170739216_02.png
KakaoTalk_20251224_170739216_03.png
KakaoTalk_20251224_170739216.png
KakaoTalk_20251224_170739216_04.png
KakaoTalk_20251224_170739216_05.png
KakaoTalk_20251224_170739216_01.png
22주 정밀초음파

결론은 단순했다.
어떤 부분도 문제없이, 아주 건강하다는 말.


긴 진료를 마치고 나온 우리는
그저 감사한 마음으로 서로를 바라봤다.
그 순간만큼은, 지난 불안과 걱정들이 잠시 숨을 고르는 듯했다.


그런데 진료의 끝에서
선생님은 내 몸무게 이야기를 꺼냈다.


6주 만에 3kg 증가.
그전까지는 2~3kg 선에서 유지되고 있었는데
갑자기 늘어난 게 조금 빠르다는 말이었다.
조절이 필요하다고 덧붙였다.


순간 마음이 내려앉았다.

맘카페를 보면
이 주수에 이미 10kg가 늘었다는 글도,
5~6kg는 기본이라는 이야기들도 흔하다.
그런데 담당 선생님이 직접 지적을 하니
괜히 내가 뭔가 잘못하고 있는 사람처럼 느껴졌다.


솔직히 말하면,
먹고 싶은 걸 마음껏 먹지도 않았고
야식도 거의 하지 않았고
운동도 나름 꾸준히 해왔다.


그런데도 ‘조절’이라는 말을 듣고 나니
임신 생활을 제대로 못하고 있는 것 같은 기분이 들었다.
남편은 신경 쓰지 말라 했지만
마음은 쉽게 놓아지지 않았다.


이제 남은 건
마지막 관문처럼 느껴지는 임당 검사.
임산부들 사이에서는 ‘임신 수능’이라고 불릴 만큼
통과하기 쉽지 않다는 그 검사다.


포도당 시럽 한 병을 건네받고
다음 진료 예약을 마친 채 집으로 돌아왔다.


그래도 분명한 건 하나였다.
22주 동안 아무 문제 없이
이만큼 잘 자라준 아기가 있다는 사실.


아직도 집에서 쉬는 하루하루가

낯설고 어색하지만,
어차피 주어진 이 시간 동안만큼은
오복이와 더 많이 교감하며 지내고 싶다.


하염없이 부족한 엄마일지라도
진심만은 변하지 않으니까.
내 마음도 조금 더 잘 돌보며
이 임신의 시간을
가능한 한 온전히 지나가 보고 싶다.

keyword
이전 15화14화. 잠잠했던 불안이 다시 나를 덮쳐왔다