brunch

#05_트라우마, 움직이며 치유하기

치유(治癒), 스스로 회복하는 움직임의 소중함

by 김용암

몸 안에서 일어나는 일들을 알 수 있을까? 대부분의 사람들이 의아해하겠지만 몸에 주의를 기울이면 신체에서 보내는 신호를 느낄 수 있다. 화가 나거나 두려움이 생기면 심장박동이 빨리 지고 배에 허기가 지면 배꼽시계가 신호를 보낸다. 운동을 한 동안 하지 않은 상태에서 급작스레 움직이면 뻣뻣해진 몸 상태도 느낄 수 있다. 이렇듯 몸안에서 일어나는 일들을 감지하는 기능을 내부수용감각(interoception)이라 한다.


내부수용감각의 종류

심장 박동

위장 활동

근육 신장

내부수용감각(interoception)

내부수용감각이 활성화되면 신체 인지력이 좋아지고 감정조절을 하는데 많은 도움을 준다. 요가원이나 명상센터에서 하는 바디 스캔(Body Scan) 프로그램은 내부수용감각에 귀를 기울이는 훈련이라 할 수 있다. 보편적으로 트라우마가 있는 사람들은 심리치료만 받는데 내부수용감각을 활성화시키는 바디 스캔 같은 프로그램을 병행한다면 치유에 더 많은 효과를 볼 수 있다.


내부수용감각 경로가 포함되어 있는 뇌의 부위

전측 대뇌피질(Anterior Cingulate Cortex)

- 뇌고랑 앞쪽을 감싸고 있는 부위

- 자율신경계(혈압, 심박) 기능에 중요한 역할

섬엽(Insula Cortex)

- 측두열을 걷어낸 깊숙한 뇌 부위에 위치

- 내장 감각이나 신체 감각을 담당


뇌의 구조


일반적으로 트라우마는 감정이나 정신에만 영향을 미친다고 알고 있지만 감각, 즉 몸에도 많은 영향을 준다. 트라우마가 몸에도 많은 상처를 남기기 때문이다. 과거에 치유되지 않은 트라우마가 감정이나 정신적 변화 없이도 신체에서 먼저 나타날 수 있다. 팔을 움직이는 동작이나 빨라진 심장박동이 트라우마를 불러와 마음을 괴롭게 할 수 있다.



"트라우마의 물리적 형태 변화"


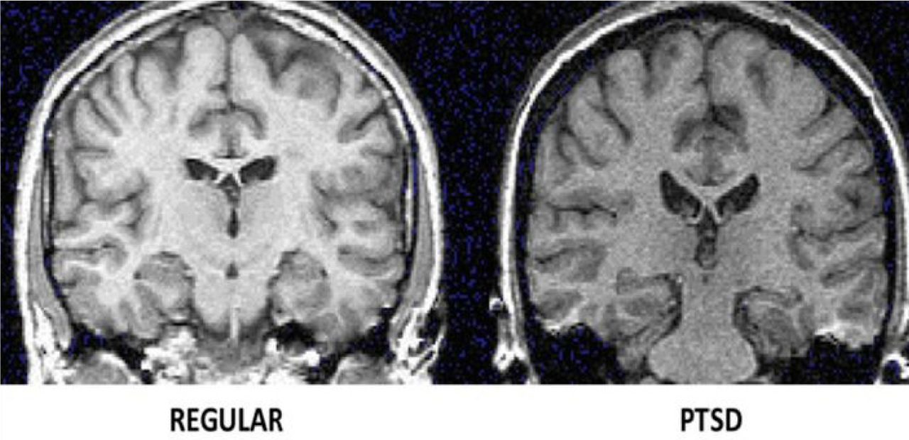
'외상 후 스트레스 장애(PTSD)'는 트라우마로 쉽게 이해되는데 이러한 트라우마는 보이지 않는 심리적인 요인만 영향을 미치는 것이 아니라 물리적인 형태에도 영향을 미친다. 데이비스 에머슨의 저서 트라우라 치유 요가에서 이러한 근거를 설명하고 있다. 웨스턴 온타리오 대학교 정신과 교수 루스 래니우스와 그의 동료들의 연구에서 외상 후 스트레스를 가진 사람들이 비교집단에 비해 뇌 활동 수준이 낮았으며 외상 스트레스가 있는 참전군인이 포함된 다른 연구에서는 비교집단에 비해 섬엽과 대상피질의 회백질 크기가 더 적은 것으로 발견되었다.


*외상 후 스트레스 장애(Post Traumatic Stress Disorder): 사람이 충격적인 사건을 경험한 후 발생할 수 있는 정신 신체 증상들로 이루어진 증후군



트라우마 영향으로 물리적 문제가 발생한 뇌 부위는 많은 감각정보가 입력될 수 있도록 다양한 인지 운동이 필요하다. 2011년 트라우마를 가진 성인 8명을 대상으로 한 연구에서 6명은 20주간 TSY(트라우마 치유요가)를 참여하고 하였고 나머지 2명은 참여하지 않았는데 fMRI(기능적 자기공명영상) 사전, 사후 검사에서 요가를 한 6명이 그렇지 않은 2명에 비해 내부수용감각 활동 증가를 검증할 수 있었다.


인지 운동: 근육 운동과 두뇌 사용을 동시에 하는 운동



"움직이면 행복해진다"


긍정적인 생각이나 마음이 행복하면 신체가 건강해진다는 통념은 있다. 반대로 신체가 건강하면 마음과 정신이 맑아진다는 말은 추상적으로만 알고 있지 근거에 관심을 두지 않거나 중요하게 생각하지 않는다. 심리적 외상 스트레스가 신체에 부정적 영향을 주는 것처럼 좋은 신체활동도 심리적 외상 스트레스에 긍정적 효과를 준다. 신체 인지를 통한 움직임은 내부수용감각을 활성화시키고 현존(현재에 집중)을 깨우치게 한다. 심리치료와 움직임 훈련을 병행한다면 트라우마의 근본적인 치유가 될 수 있다.


< 바디 스캔; Body Scan >


keyword
이전 12화#04_엄격한 움직임으로 몰입하기