brunch

시술실, 신의 손과 인간의 기술

by 법의 풍경

하얀 성전에서


시술실 문이 열리자 완전히 다른 세계가 펼쳐졌다. 눈부시게 밝은 조명 아래, 거대한 기계들이 성당의 오르간처럼 웅장하게 서 있었다. 이곳은 현대 의학의 성전이었고, 나는 제물이었다.

“안녕하세요, 저는 심혈관내과 김xx 교수입니다.”

차분하고 확신에 찬 목소리. 30대 후반으로 보이는 의사가 다가왔다. 그의 눈빛에는 수많은 생명을 구해온 경험이 담겨 있었다.


“지금부터 관상동맥성형술을 시행하겠습니다. 국소마취만 하고 의식은 깨어있을 거예요. 중간중간 말씀드리는 것에 대답해 주시면 됩니다.”
의식을 깨운 채로 내 심장을 고친다고?



대퇴동맥, 심장으로 가는 고속도로


“오른쪽 사타구니 부분을 소독하겠습니다.”

차가운 소독약이 피부에 닿았다. 그리고 국소마취 주사가 들어갔다. 따끔한 느낌 후에 그 부위가 마비되기 시작했다.

“지금 대퇴동맥에 관을 삽입합니다. 약간의 압박감을 느낄 수 있어요.”

압박감? 마치 누군가 내 몸속에 정원용 호스를 밀어 넣는 것 같았다. 하지만 신기하게도 아프지는 않았다.

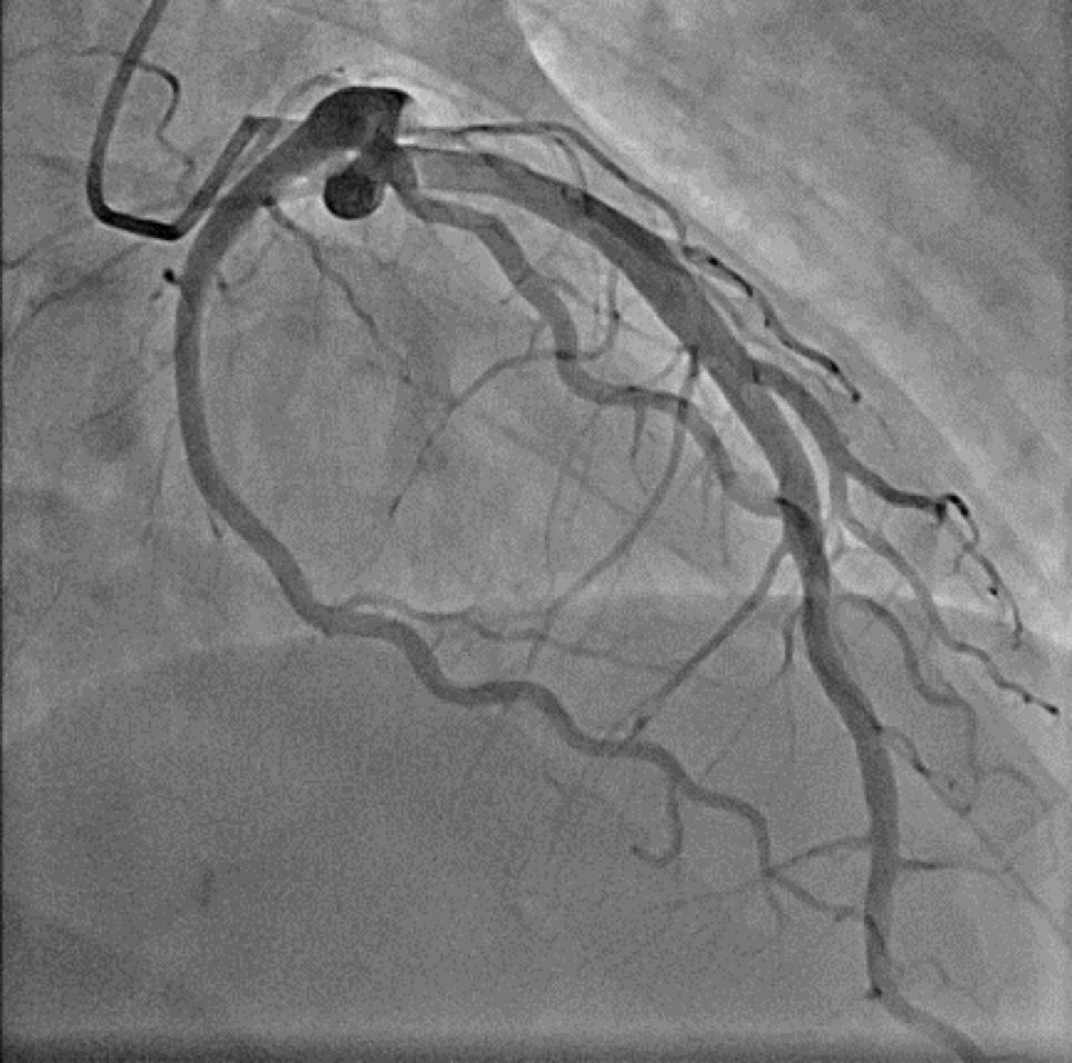
“카테터가 심장에 도달했습니다. 이제 조영제를 주입해서 혈관 상태를 확인해 보겠습니다.”

천장에 매달린 거대한 모니터에 내 심장이 실시간으로 나타났다. 마치 지하철 노선도처럼 복잡한 혈관들이 화면을 가득 채웠다.



범인 발견


“여기 보시면…”

김 교수가 화면을 가리켰다.

“우관상동맥이 여기서 완전히 막혀있습니다. 99% 폐색이네요.”

화면에서 혈관이 갑자기 끊어진 것처럼 보였다. 마치 고속도로가 산사태로 완전히 차단된 것처럼.

“와, 정말 완전히 막혀있네요.”

내가 말하자 김 교수가 웃었다.

“환자분이 너무 침착하시네요. 보통은 많이 놀라시는데.”
“12일 전에 관련 자료를 읽어봤거든요.”
“아, 그래서 증상을 빨리 알아차리셨구나. 그게 생명을 구했네요.”



풍선과 스텐트, 현대 의학의 마법


“일단 최대한 스텐트를 삽입하지 않고, 혈전을 빨아내는 방법으로 시도해 보겠습니다. 환자분은 젊으니까 스텐트가 필요 없을 수도 있어요.”


하지만 이미 혈전이 꽉 막혀 빨아내는 것만으로는 부족했다.


“트롬보(피떡) 너무 많은데, 뭉개 뭉개!”
“음. 도저히 안되네요. 너무 꽉 막혀서 스텐트 시술을 해야 할 것 같아요.”


아, 이렇게 나도 인조인간이 되는 건가? 그럼 앞으로 공항 검색대를 지나가면 삐삐 거릴까 하는 장난기 섞인 생각이 들었고, 알겠다고 했다.


“이제 막힌 부분을 뚫어보겠습니다. 풍선을 넣어서 넓힐 거예요.”

화면에서 가느다란 선이 막힌 부분으로 향했다. 그리고 순간 작은 풍선이 부풀어 오르며 막힌 혈관을 강제로 넓혔다.

우와!


나도 모르게 감탄사가 나왔다. 화면에서 혈액이 다시 흐르기 시작했다. 마치 댐이 터지면서 물이 쏟아지는 것처럼.

내 우관상동맥이 뚫리는 순간


“어떠세요? 가슴 통증이 좀 나아졌나요?”

정말 놀랍게도 그 순간 가슴의 고통이 확연히 줄어들었다. 마치 누군가 내 심장을 쥐고 있던 주먹을 풀어준 것처럼.


“네, 많이 나아졌어요!”
“좋습니다. 이제 스텐트를 삽입해서 혈관이 다시 좁아지는 것을 방지하겠습니다.”



두 번째 스텐트의 필요성


이후 김교수는 적당한 크기의 스텐트를 선별하느라 혼잣말을 중얼거렸다.


“3.4 아니다 4, 아니다 5, 아니다 4”

적당한 크기의 첫 번째 스텐트가 삽입된 후, 김 교수가 화면을 다시 자세히 들여다봤다.


“음… 여기 좀 더 아래쪽도 좁아져 있네요. 스텐트를 하나 더 넣는 게 좋겠습니다.”
“네, 알겠습니다.”


두 번째 스텐트가 삽입되자 혈관이 마치 새것처럼 매끈해졌다. 화면에서 보는 혈류도 훨씬 부드럽게 흘렀다.


완벽하네요.
혈류가 정상적으로 회복되었습니다.

완전히 뚫린 내 관상동맥

시술 후의 감회


전체 시술 시간은 약 1시간 30분. 그 시간 동안 나는 내 심장이 다시 태어나는 것을 직접 목격했다. 21세기 의학의 기적을 실시간으로 체험한 것이다.

“시술이 모두 끝났습니다. 이제 중환자실에서 경과를 지켜보겠습니다.”

김 교수의 얼굴에는 만족스러운 미소가 번져 있었다. 또 하나의 생명을 구한 의사의 미소.


“교수님, 정말 감사합니다.”
“천만에요. 빨리 오셔서 큰 문제없이 치료할 수 있었어요. 12일 전에 공부하신 게 정말 도움이 되었네요.”


그 순간 깨달았다.

12일 전의 그 작은 호기심이 우연이 아니었다는 것을.

어쩌면 그것은 운명이 나에게 준 마지막 기회였을지도 모른다.


시술대에서 중환자실로 이동하는 동안, 나는 새로운 심장을 가진 새로운 사람이 된 기분이었다.

스텐트 두 개와 함께 시작될
두 번째 인생에 대한
설렘과 두려움이 교차했다.

image.png 내 심장의 인증샷, 이쁘다.


keyword
월, 화, 수, 목, 금, 토, 일 연재
이전 02화응급실, 생과 사의 갈림길