brunch

임산부 쉽지 않네.. 끝나지 않는 입덧 지옥

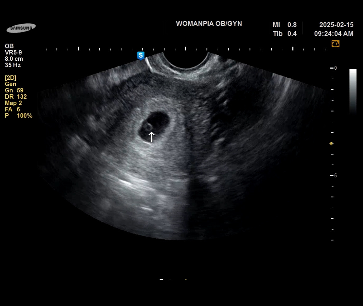
임신 초기 : 11주차 6일

by 토토

어느덧 14주 6일 차.

초기 임산부로 지낸 그동안의 이야기.


처음 알게 된 게 4주 차, 그 주 토요일 바로 산부인과를 가서 만난 작고 동그란 난황. 5주 차 3일째였다.

난황은 수정 후, 약 2주 무렵 생기며, 초기 영양 공급 등 임신 초기 발달에 중요한 역할을 한다. 태반이 생기기 전까지 태아에게 영양을 주고, 시간이 지나면서 역할을 마치고 점점 작아지거나 사라진다.


난황이 아기가 되는 건 아니고 난황 옆에 아주 작은 점처럼 아기가 있다고 하는 데, 이 시기에는 거의 보이지 않기 때문에 아기가 아니라고ㅎㅎ 병원을 나오고 의사 선생님이 아직 아기가 아니에요라고 한 말이 되게 강하게 머리에 남았었다.


2주 뒤로 다음 진료가 잡혔는데, 2주 뒤는 너무 멀리 느껴짐..

심장소리를 들어야 임신확인증을 준다고 하고, 임신 확인증이 있어야 회사에 제출할 증빙 서류가 생기고 임산부 배지도 임신확인증 가지고 보건소로 가야 한다.



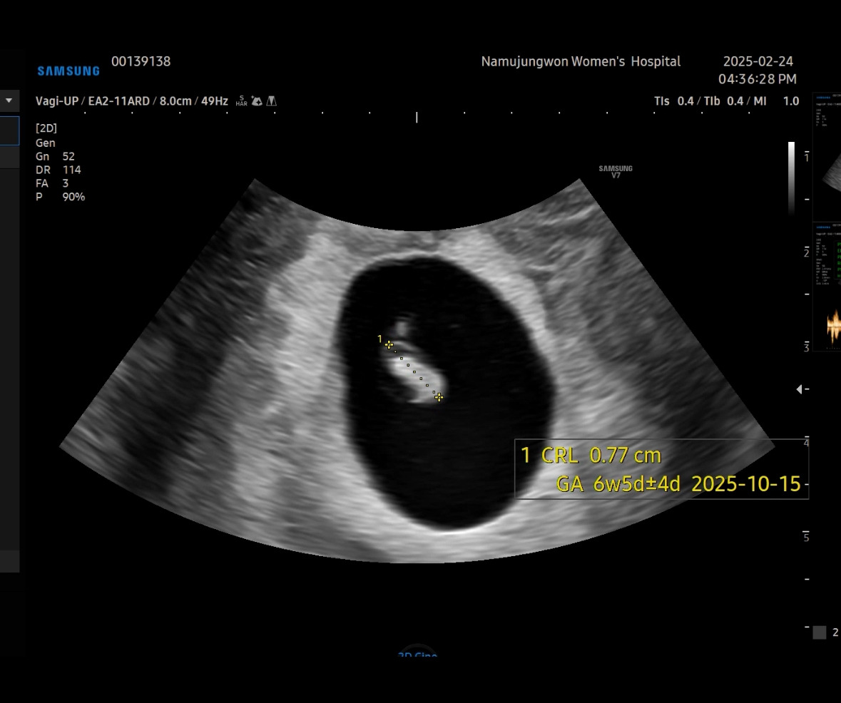
병원을 비교해보고 싶기도 하고 해서 집에서 더 가까운 산부인과로 그다음 주에 방문했다. 난황 말고 아기가 된 모습을 기대하며.. 6주 차 5일에 만난 꼬물이!

머리부터 꼬리까지의 길이가 0.77cm로 6주 차 5 일이라고 이날 확정되었다. 그래서 출산 예정일은 25년 10월 15일! 아직은 출산의 무서움보다는 그날이 너무너무 기다려진다.


머리 쪽에 투명 공간에는 앞으로 뇌가 만들어지는 부분이고 아래에 꼬리는 점점 사라질 거라고 했다. 그리고 머리에 붙어있는 동그라미가 작아지고 있는 난황이다.

지금은 자궁이 꼬물이에 비해 넉넉해 보였다.


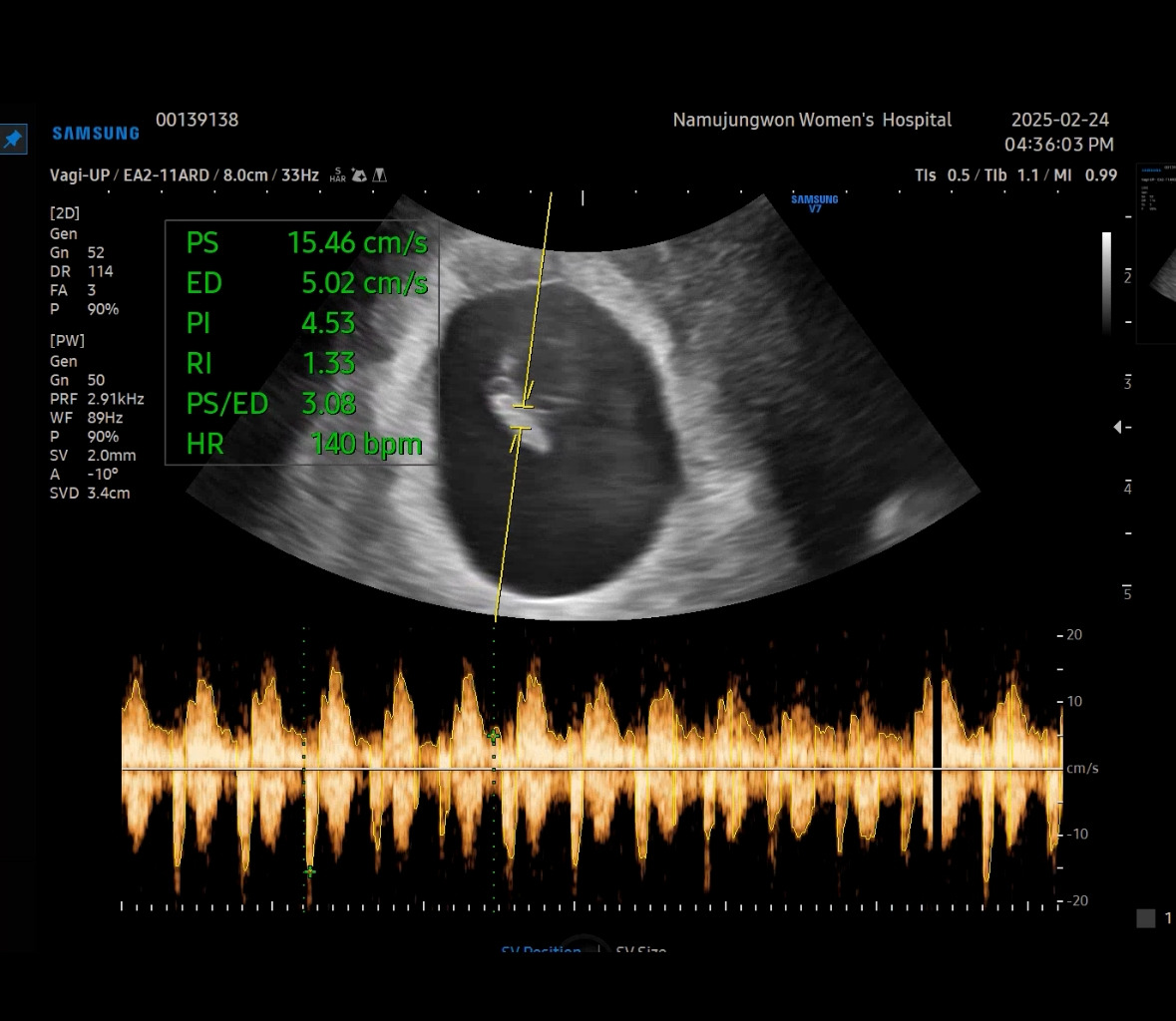
심장소리를 잡고 엄청 볼륨을 높여 주셔서 순간 울컥하는 마음에 눈물이 고였다. 신기하다. 1센티가 안 되는 저 꼬물이가 심장이 뛰고 있다는 게.


병원은 좀 더 친절하고 말을 많이 해주신 두 번째 병원을 선택해서 꾸준히 다니기로 했다. 다음 진료는 2주 뒤.


임신확인증을 받아 시보건소에 가서 임산부 배지와 엽산, 철분약을 받아왔다. 젊은 공무원 직원분이 상세히 설명해 주시는 여러 임산부 혜택들. 쉽게 정리되지는 않았다. 그냥 신청하면 한 번에 돈 주고 하지~ 공짜는 쉽지 않네 역시.


마지막 하타 요가 수업. 임밍아웃을 하고 선생님이 16주 지나고 오라고 하셨다.

이때까지 다리도 쫙쫙 찢고 몸의 변화는 가슴 커진 것뿐이었는데, 입덧이 슬슬 시작되었다. 입덧을 확실히 느끼게 된 계기가 있었는데..


유민이 환영 기념으로 애견펜션을 예약해서 2박 3일 다녀왔는 데.. 여기가 우리 집에서는 차 타고 편도 4시간 거리였다. 초기에는 멀리 다니지 말라는 얘기가 있긴 했지만 나는 입덧도 없고 옆자리에 앉아서 가는 데 뭐 그런 게 있겠어~ 하고 갔다.


하지만 역시 인생은 반전이 있고 호락호락하지 않지. 가는 길까지는 별일 없었는데, 둘째 날 아침 먹으러 차를 타고 10분 안 되는 거리를 가는 데 죽는 줄 알았다. 빈속+자동차 콤보는 입덧에 최악이었던 것..


나는 다행히 먹덧이지만 빈속에 그 뱃멀미 저리 가라 울렁울렁 미식 거리는 그 상태로 흔들리는 차(평소에는 흔들리는지 몰랐음ㅠㅠ)를 타고 가는 10분 안 되는 거리에 정말 너무 힘들었던 기억. 이날을 기점으로 울렁거림은 저녁마다 찾아왔다..ㅎㅎㅎ



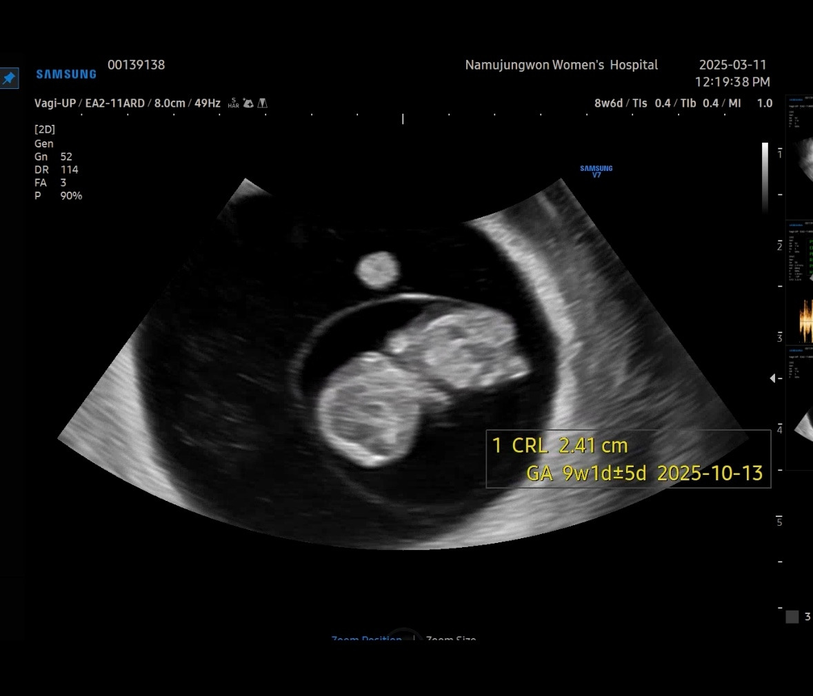
8주 차 6일. 아기가 하리보 젤리를 닮았다고 해서 젤리곰 시기라고 많이 부른다. 의사 선생님이 하리곰 모양을 예쁘게 잡아서 머리, 팔, 다리, 심장을 알려주셨다.

이제야 2.41cm가 된 유민이 젤리곰. 너무 귀엽다.

아참! 이때부터 입덧약을 매일 저녁 2알 받아먹었다. 아마도 입덧이 점점 심해진 것인지 먹어도 저녁 울렁거림은 줄어들진 않았다. 다행히도 아침, 점심때까지는 입덧하기 전의 평소와 같았다.




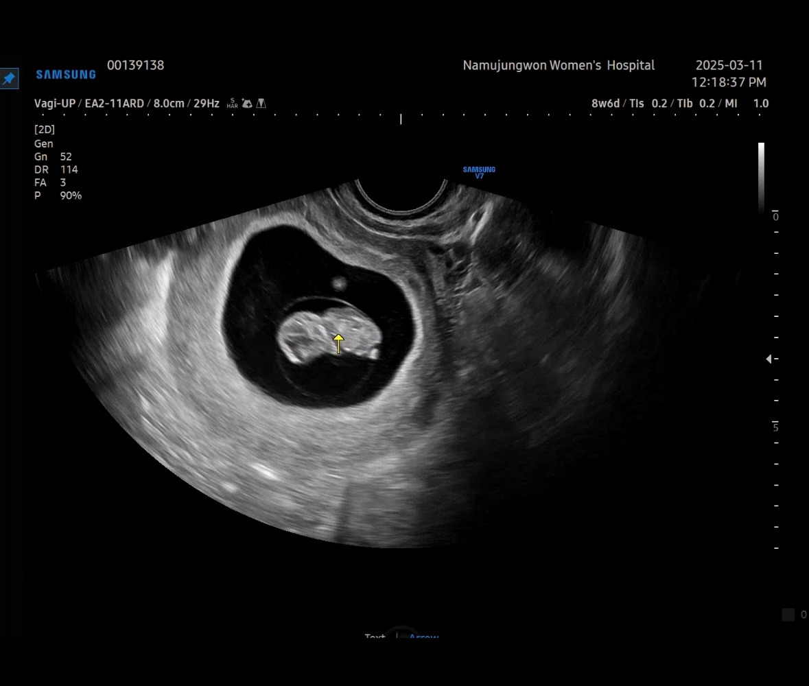
그리고 11주 차 6일.

아니 젤리곰이 이제는 정말 사람 같네! 콧대가 제법 올라와 옆모습인 걸 알아보겠다. 이제는 좌뇌, 우뇌, 신장, 간 위치도 잡아주셔서 정말 신기했다.


이 날은 병원에서 1차 무료로 3D 초음파 영상을 보여주었다.

팔다리가 더 또렷이 보이고 배에 연결되어 있는 탯줄도 보인다. 기지개도 켜고 잘 움직이는 유민이.

영상에 보면 성별을 알 수 있는 그 중요 부위에!!! 동그랗게 뭔가가 있는데, 이게 정확히 지금 딸인지 아들인지 아직 모르는 상황이다.. 후..


주변에서는 아들이다 확신하고 있지만, 창민이는 딸이라 굳게 믿고(바라고) 있는 상황..ㅎㅎㅎㅎㅎ 너무 웃기다. 나는 잘 모르겠다. 어차피 난자와 정자가 수정되는 시점에 이미 결정된 거라고 하니 나는 그냥 받아들이려고 한다.


딸은 딸대로, 아들은 아들대로 장점도 단점도 있지 않겠느냐며~.. 임신 전에는 팡민이 닮은 아들이면 좋겠다는 생각을 많이 했었다. 나 닮은 딸은 어려울 것 같다는 생각이 든다.. 안 닮아도 어렵고 닮아도 어렵고..?


초기 임신에는 유산이 많다는 이야기가 요즘은 정말 쉽게 들을 수 있기 때문에, 초기에는 이래도 걱정 저래도 불안했다. 나만 그런 것은 아닌 듯, 맘커뮤니티를 보면 다들 걱정 불안 글들이었다.


12주가 지나며 나도 이제 중기라고 말할 수 있는 시기에 있다. 그래도 아직도 불안한 생각은 문득문득 수면 위로 떠오른다.


그래서 그런지 남자, 여자 상관없이 건강하게만 태어나 주었으면 하는 마음이 정말 크다.


글을 쓰는 지금 14주 차 6일인데 유민이가 얼마나 컸을지 너무너무 궁금하다. 이 궁금하고 설레는 마음을 꼭 참고 이제 6일 뒤면 보러 가는데.. 이런 기다림의 시간도 모두 소중하고 행복한 시간이라는 생각이 든다.


모든 순간이 소중하구나.

호르몬의 노예라 눈물이 많이 난다고 하는 데 나는 눈물이 뭐 그렇게 많아지진 않았다. 그냥 평소와 같은데 가끔 F감성이 물밀듯~ 치고 올라올 뿐. F감성에는 감동, 기쁨뿐 아니라 분노도 있는 것 같다..ㅎㅎ


요즘은 저녁에 잠에 바로 안 들어, 10-20분 정도는 딴생각을 한참 하다 잠을 잔다. 요즘 떠오르는 잡생각은.. 당황스레 시작된 휴직 생각, 어릴 적 부모님께 상처받은 기억들이 주를 이룬다. 그래서 억울하고 슬픈 마음에 옆얼굴을 따라 눈물이 또르르..




입덧도 입덧이지만.

대한민국은 저출산 국가라며 출산을 권장하고 홍보하면서도 아직도 한참 멀었다는 생각이 든다. 이래서는 나라가 50년 뒤 없어지지 않는 것도 이상하겠다 하는 분노. 우리 유민이가 점점 인구수가 줄어드는 이 대한민국에서 어떻게 잘 살아갈 수 있을지 까지 걱정하는 것을 보면, 엄마가 다 되었나 싶기도 하다.


정치하는 누구라도 본다면, 저출산 막으려면 육아휴직 제도부터 제대로 개선하라는 말을 해주고 싶다. 기간 늘리고 돈 더 주고? 그런 게 중요한 게 아니라는 사실.


유민이를 국회로~~!! (절대 안 되지ㅎㅎㅎ


여하튼,

엄마가 행복해야 아이가 행복하다.

엄마가 행복해야 가족이 행복하다.

엄마가 행복해야 나라가 행복하다.(?)

keyword
월요일 연재
이전 01화아기가 생겼다, 내가 엄마라니..