brunch

비염, 코골이를 벗어날 의외의 방법

얼굴비대칭과 비염, 코골이의 상관관계

by 신정민
Prologue

코가 막혀서 숨쉬기 힘들고 끈적한 코가 넘어가서 목에는 가래가 계속 끼고, 음식을 먹을 때는 콧물이 줄줄 흐르고 드르릉드르릉 코골이로 인한 수면무호흡증으로 수면의 질은 떨어져 늘상 피곤하고... 이런 상황을 겪고 있는 분들이 많지 않으실까 합니다. 특히 환절기에는 증상이 더 심해져서 일상 생활이 힘든 상태까지 이른 분들도 많으실거구요.



보통 비염의 원인으로 꽃가루, 미세먼지와 같은 알러젠을 먼저 떠올리지만 그 원인은 매우 다양합니다. 그래서 알러젠을 차단한다거나 항히스타민제를 복용하는 것으로 비염을 컨트롤하는 것은 쉽지 않으며, 아직도 많은 사람들이 편하게 숨쉬지 못하고 두통, 안구통증, 만성 피로, 집중력 저하 등의 2차적 증상으로 고통받고 있는 것이 현실입니다.


오늘은 다른 시각에서 비염과 코골이에 대한 이야기를 좀 해볼까 합니다. 여러분들이 습관적으로 취하는 자세나 잘못된 구강 습관으로 턱이 틀어지고 두개안면골이 비틀리는 구조적 문제가 비염과 코골이의 원인일 수 있다는 점입니다. 비염을 치료하기 위해서 항히스타민제나 비충혈제거제를 사용하거나 코점막을 세척하라거나, 알러젠에 대항할 수 있도록 면역력을 기르라거나 코골이를 완화하기 위해 살을 빼라거나 옆으로 누워자라거나 하는 이야기는 많이 들어 알고 계시겠지만 바른 자세 습관을 가지도록 하고 턱관절에 과부하를 주는 불균형한 근육 사용 습관을 교정하고 안정상태일 때 혀의 습관을 바꾸라는 이야기는 많은 분들에게 생소하실 거 같습니다.


비염 (Rhinitis)


비염이란 콧물, 재채기, 가려움, 코막힘 중 한가지 또는 그 이상의 증상을 동반하는 비점막의 염증성 질환을 의미합니다. 급성으로 발생하는 비염의 경우 감기를 의미하는 바이러스에 의한 감염성 비염이지만 만성 비염은 감염성보다 비감염성의 경우가 많습니다. 비강 구조 이상, 자율신경계의 불균형, 호르몬 이상, 정신적 스트레스가 원인이며 감기로 시작된 비염이 방치되거나 반복되어 부비동염이나 편도선염증으로 이어져 만성화되기도 합니다. 만성 비염은 주로 콧물, 코막힘이 주요 증상이며 입으로 숨쉬는 구강호흡과 비강 분비물이 콧구망 뒤쪽으로 흘러내리면서 후비루와 이로 인한 발작성 재채기가 동반되며 후각이 감퇴되는 반응이 생기기도 합니다. 비염으로 비강을 통한 airway가 좁아지면 뇌로 산소 공급이 원할치 못하고 뇌에서 발생하는 열을 식혀주는 기능을 잘 못하기 때문에 집중력 저하, 만성피로, 두통, 불면증, 학습장애, 성장장애 등 여러가지 문제를 만들어낼 수 있습니다.

코골이(Snoring)

코골이는 기도가 좁아져서 발생하는 공기의 마찰음입니다. 선천적으로 호흡 길이 좁은 구강 구조( 하악이 덜 발달되거나 혀가 구강 용적보다 지나치게 두껍다거나, 주로 조산아인 경우)때문에 발생하기도 하지만, 비염, 축농증으로 인해 비강이 좁아지면서 2차적으로 발생하기도 하고 비만, 과음 그리고 턱관절 장애, 구강근기능 장애 등도 중요한 원인입니다. 코골이는 비강이 좁아지고 목젖이 늘어나면서 혀의 탄성이 떨어지면서 혀가 뒤로 밀리고 넓게 퍼지면서 발생합니다. 비만으로 목과 혀, 편도 등의 조직이 비대해지면서 상기도가 좁아져서 코골이,수면 무호흡증이 나타날 수 있다고 보고 되어 있습니다. 성인 남성은 허리둘리가 34인치, 여성은 32인치가 넘으면 코골이가 발생할 위험이 높다고 합니다.


비염, 코골이와 구조의 관련성


1. 하악골의 후방 이동은 좁은 airway를 만든다

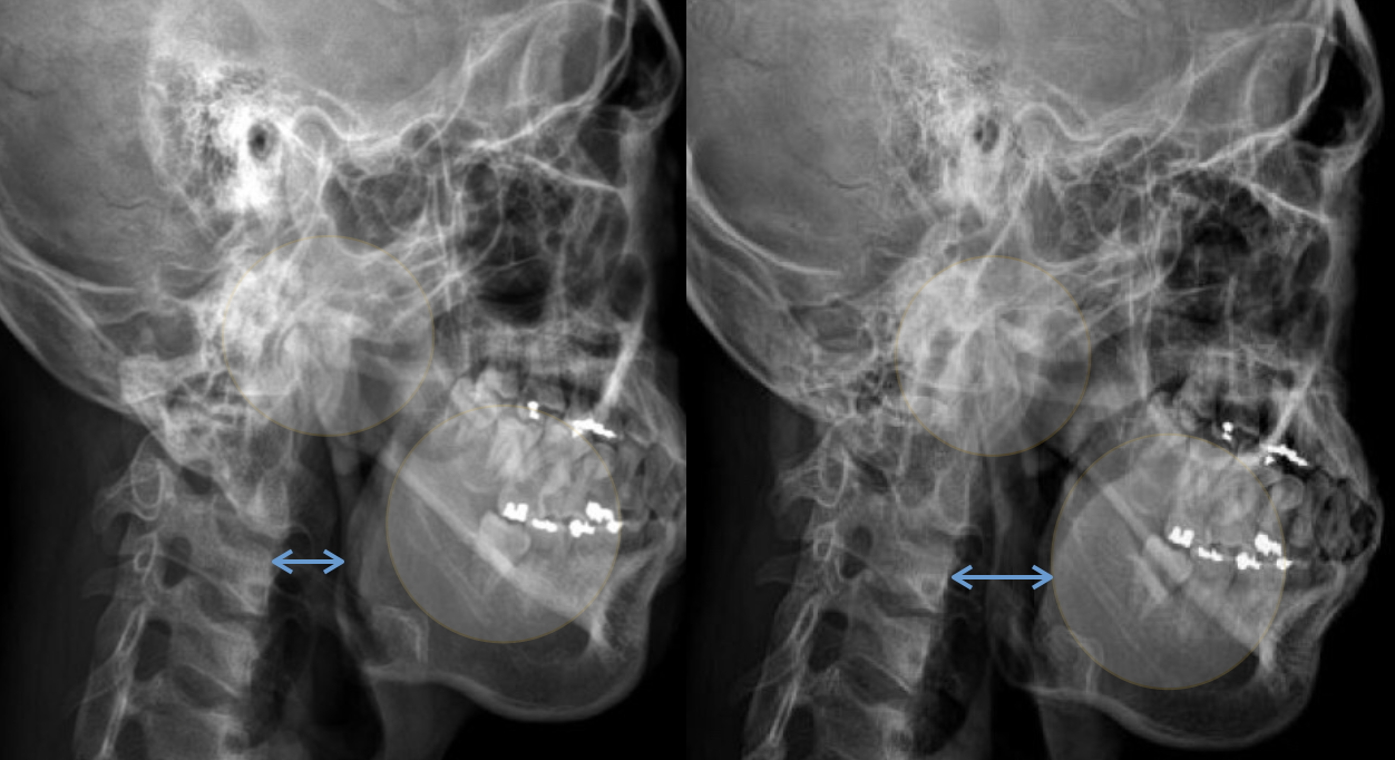
아래턱이 교합 문제나 경추의 아탈구로 뒤로 밀리게 되면 비강에서 이어지는 airway는 좁아지게 됩니다. 아래 엑스레이 사진을 보면 왼쪽 영상의 경우 정상에 가까운 airway 상태이며 오른쪽은 하악이 후방 이동하면서 airway가 좁아져 있는 것을 보여주고 있습니다. 실제로 오른쪽 환자의 경우 심한 비염 증상과 함께 코골이와 수면 무호흡증으로 양압기를 사용하고 있었으며 만성적인 뒷목, 어깨 통증과 함께 얼굴비대칭과 턱관절 장애가 동시에 진행되어 있습니다.

아래턱의 위치에 따른 airway의 변화 ( 왼쪽 : 정상 / 오른쪽 : 좁아진 airway)


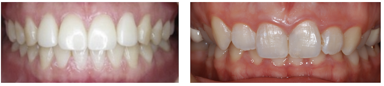
턱이 뒤로 밀리는 양상으로 윗치아가 아래치아를 많이 덮는 부정교합을 과개교합(deep bite)이라고 합니다. 과개 교합의 경우 두통, 중이염, 턱관절 잡음의 발생과 매우 관련이 많으며 밀린 아래턱에 의해 airway가 좁아지고 압박되는 현상이 만들어집니다. 이를 보상하기 위해 만드는 목을 앞으로 쭉 빼는 전방 두부 자세(head foward posture)를 취하게 됩니다. 거북목, 일자목이라고 칭하는 자세말이죠.

왼 쪽 : 정 상 교 합 / 오 른 쪽: 과 개 교 합

이러한 자세는 하악골을 뒤로 더 당기게 되며 설골 주변 근육을 과긴장하게 만들 수도 있으며 턱관절을 중심으로 아래턱과 목에서 형성되는 근육의 역학의 균형을 깨트리는 원인이 될 수 있어서 2차적으로 여러가지 문제를 만들 수 있는 것입니다.


2. 코 점막의 예민도가 올라가고 염증이 반복된다

비강을 통한 공기 순환이 잘 되지 않으면 점막이 과민도가 올라가면서 비염이 잘 낫지 않고 반복되는 것입니다. 외부 공기가 코를 통해 이동하면 비강 내의 섬모가 먼지와 세균을 여과하고 점막에서는 항체가 포함된 다량의 점액질을 분비합니다. 또한 코의 비갑개( 뼈를 덮은 점막 ) 를 통과하면서 공기 중의 온습도과 우리 몸에 맞게 변화됩니다. 이는 스스로 공기의 온습도를 조절하지 못하는 폐를 보호하기 위한 인체 반응입니다. 코를 통과한 공기는 질 좋은 산소로 바뀌게 되기 때문에 뇌로 농축된 산소를 공급할 수 있습니다. 반면에 구강을 통과해 폐로 도달하는 산소는 질적으로 떨어진 상태로 폐에 도달하게 됩니다. 비강 호흡의 경우 부비강 내에서 nitric oxide 생성이 증가하면서 혈류의 흐름이 좋아지게 하고, 혈소판 기능을 정상화시키는 기능까지 있다고 합니다.


3. 두개골의 비틀림이 비중격의 틀어짐을 만들 수 있다

비강은 두개골의 여러 뼈들이 연접해서 구조를 형성하고 있습니다. 턱관절이 불안정하거나 두개골의 jamming 이 발생하고 경막이 긴장하게 되면 vomer에도 영향을 주면서 비중격의 비틀림을 만들 수 있습니다. 휘어진 비중격으로 인해 한쪽 콧구멍의 airway가 좁아지게 되면 공기가 잘 유입되지 않기 때문에 코막힘이 발생하고 염증이 반복되면서 만성 비염으로 진행이 되는 것입니다. 휜 코가 미용적으로도 문제가 되지만 실제로 airway와 관련된 호흡의 문제로 이어지는 것이 이 때문입니다.

혀의 위치가 아래로 떨어지면서 비강이 좁아지게 된다

혀 근육의 탄성이 떨어지면서 이완되면 혀 위치가 후방으로 말려 들어가서 공기의 통로를 막아서 좁게 만드는 것입니다. 이로 인해 코골이가 발생할 수 있으며 심해지면 10초 이내 호흡이 없는 폐쇄성 수면 무호흡증으로 이어지기도 합니다.

혀의 위치가 아래로 떨어지는 현상은 구강 호흡 습관에 의해서도 만들어질 수 있습니다. 구강호흡을 하려면 입을 벌리고 혀를 아래로 떨어트려야 airway가 형성되기 때문입니다.




안면비대칭이나 턱관절 교정 치료를 진행하게 되면 환자가 주관적으로 호소하던 코막힘 증상이 완화될 뿐 아니라 엑스레이 상으로도 휘었던 비중격이 바로 서면서 비강의 상태가 개선되고 좁아던 기도가 턱의 위치가 이동하면서 넓어지기도 하는 등의 변화는 빈번하게 관찰할 수 있습니다.

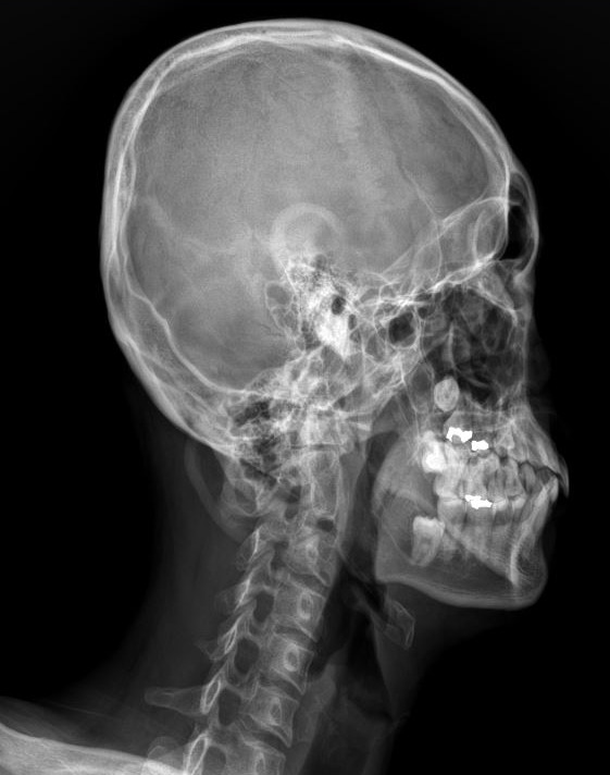
air는 엑스레이에서 까맣게 보여요

위 사진의 두 환자 분의 경우 두개안면골의 비틀림을 재정렬해주는 것만으로도 비중격이 위치가 개선되고 비강 내 공기의 흐름이 좋아진 것을 관찰할 수 있습니다.

이 엑스레이 영상에서는 뒤로 밀려있던 턱이 앞으로 이동하면서 airway의 직경이 개선되는 것을 확인해볼 수 있습니다.




비염, 코골이를 벗어나기 위해 해야할 일


바른 척추 자세 습관을 가지자

바른 자세의 중요성은 백번을 강조해도 지나치지 않습니다. 특히 목을 앞으로 쭉 빼는 두부전방 자세를 반복적으로 취하는 습관은 턱관절과 설골 그리고 혀 근육의 균형을 깨트려서 얼굴뼈의 틀어짐을 만들고 이러한 비틀림이 비강 구조에도 영향을 주면서 비강을 통한 airway의 기능이 떨어지게 되면서 비염과 코골이를 악화시킬 수 있습니다.

https://brunch.co.kr/@ulfit/64

https://brunch.co.kr/@ulfit/56



혀 근력 기르기 / 바른 혀 위치 습관 가지기


바른 혀 위치를 가지는 것도 중요합니다. 말하거나 씹지 않을 때 혀의 가장 안정적인 위치는 스폿지점입니다. 스폿(spot)은 'ㄴ'발음을 할 때 혀 끝이 닿는 위치로 이 위치에 혀를 둘 때 인체의 많은 부분의 근육 약화를 해결할 수 있어서 요가나 명상 기법에서도 이 위치에 혀를 두는 것을 '중심잡기'의 하나의 방법으로 중요하게 다루고 있습니다.(John Diamond)

턱의 크기에 비해 혀가 지나치게 비대해져 있는 경우 혀 자체가 큰 경우보다 혀의 근력과 탄성이 떨어지면서 퍼져 있는 경우가 더 많습니다. 이러한 경우 운동을 통해 충분히 근력을 개선할 수 있습니다. 혀의 근력이 떨어져 있을 때 이를 기르기 위해서 도움이 되는 운동법을 두가지 알려드려 볼게요. 영상을 보시면서 반복해 보세요.



신정민 / 전직 약사 & 현직 한의사

강남 참진한의원에서 난치성여드름, 여드름흉터, 얼핏클리닉 (주름, 안면비대칭, 턱관절장애)를 진료하고 있습니다. 병원에서는 알려주지 않는 약물과 의학 정보과 임상 현장 경험을 반영한 얼굴 건강에 대한 지식을 여러분들과 함께 나누고자 짬짬이 글을 쓰고 있습니다. 제 글을 통해 많은 분들이 건강해지고 행복해지길 진심으로 바랍니다.

keyword
매거진의 이전글건강하고 싶다면 제대로 걸어라