기준 없는 비정상, 일자목과 거북목

세상에 없는 '바른 자세'를 찾습니다.

일반화의 오류 vs 선택적 지각

일반화, 一般化, Generalization_특정 사례들의 공통되는 속성들을 일반적인 개념이나 주장

“일반화하지 마세요. 사람마다 다른 거예요.!”

‘일반화하지 말라’는 말은 대표적인 일부 사례만을 통해 가설에 대해 결론을 도출하는 것을 지적할 때 사용하는 말입니다. 여기서 말하는 ‘일반화’라는 것은 어떤 현상을 명확하게 파악하기 위해 공통되는 특성이나 개념을 통계, 수치, 확률과 같이 합리적이고 체계적인 과정을 뜻합니다.


그렇기 때문에 일부 자극적인 사례만을 가져와 자신의 주장을 비정상적으로 합리화시키거나, 선동하는 행동을 지적하기 위해 우리는 ‘일반화하지 마세요.’라고 말하곤 하죠. 하지만 어느 날 그 뒤에 ‘사람마다 다른 거죠!’라는 말이 붙더니 ‘불편감’에 대한 방어 혹은 회피의 도구로서 사용되고 있는 듯합니다.

선택적 지각’이라는 말을 들어본 적이 있나요?
‘선택적 지각’_ 자신의 신념이나 상황에 따라 일어나는 현상들을 왜곡하여 보고 싶은 대로 보는 것.

일반화의 오류와 선택적 지각.
사람은 모두는 내로남불을 하고, 같은 실수를 반복합니다. 물론 저도, 그리고 당신도, 우리 모두 그런 경험이 있죠.

우리는 정말 일반화의 오류라는 말을
마주 보기 싫은 현실을 피하고 싶은
마음으로 사용한 적이 없을까?




기준 없는 비정상

기준, 基準, Standard_행동이나 가치판단의 근거가 되는 무언가


우리 사회를 돌아가게 만드는 ‘기준’은 참으로 애매한 경우가 많습니다. 가치를 평가하고, 판단을 내리기 위해서 세상에서 제시하는 기준은 애매합니다.


물론 모두를 만족시킬 수 있는 기준은 당연히 없겠지만, 다수의 사람들이 인정할 수 있는 기준은 필요하기에 우리는 법체계를 따르기도 하고, 권위의 자격에 의지하기도 하고, 하다못해 성공과 부라는 경험과 증명의 기준에서 우리는 그 가치를 평가하고 기준으로 세우기도 합니다.

사법체계의 기준은 명확한가?
법은 모두에게 평등한가?
사회복지 제도의 기준은?

대한민국 평균 연봉은 약 350만 원이며, 중위수는 약 250만 원인데, 도대체 대한민국의 평균생활 수준의 기준은 무엇에 맞추어져 있는가?

행복의 기준은 어떠한가?
무엇이 성공한 삶인가?

승자와 패자를 나누는 기준은 무엇인가?
나는 사회의 기준에 부합하는 인간일까?

8시간 공복 혈장 혈당이 126mg/dL 이상이면 ‘당뇨병’이라는 질병의 진단 기준이 됩니다. 그렇다면 124mg/dL은 정상인가?

건강검진에서는 건강에 문제가 없다고 한다. 하지만 나는 음주, 흡연, 불면증 등 생활패턴이 망가져 있다. 나는 건강한 사람인가?


장애를 가지고 있으면 건강하지 않은 걸까?
선천적으로 척추장애가 있어 한쪽 하지에 장애가 있던 환자분의 재활을 6개월 정도 맡은 적이 있는데, 그 환자분은 내가 아는 누구보다 인생을 주도적으로, 그리고 멋있게 살아가는 빛나는 사람이었다. 우리는 장애가 있다는 이유만으로 건강하지 않다고 단언할 수 있을까?

기준 없는 비정상이,
기준 없는 정상이,
정상과 비정상을
나누는 기준은 무엇인가?


물리치료사 면허증을 취득한 지 13년, 엄격한 ‘바른 자세’의 기준에 부합하지 않는 사람들의 자세를 지적하는 권위의 태도는 과거와 지금이 크게 바뀐 것이 없습니다.

엄격한 바른 자세의 기준에는 애매함이 없을까?

구글에 ‘normal cervical lordosis angle_정상 목 전만각도’를 검색하면 30-40도라는 정보를 우리는 쉽게 찾을 수 있습니다.


‘정상적인 경추각도 30-40도’ 이 기준은 사실일까?

센터, 병원 등 다양한 전문기관과 여러 권위자들은 “정상적인 허리커브는… 목커브 각도는…”이라며 설명을 하고, 또 우리는 듣습니다. 그런데 만약 이 척추 각도의 기준이 엄청나게 애매하다면? 혹은 만약 틀렸다면, 이들의 주장은 어떻게 되는 걸까?

목 뼈의 각도가 실제 어떤 문제와 연결될 수 있는가?”라는 질문에 대한 본격적인 연구가 진행되기 시작된 것은 1960대를 시작으로 본격적으로 연구가 되기 시작했습니다.

1987년, Gore 외 연구진은 목통증이 있던 환자, 200명을 10년 동안 추적 관찰한 결과 목커브의 변화는 목통증과 상관관계가 없음을 밝혔습니다. (단, 경추 6번과 7번의 퇴행성 변화와는 연관성이 있다는 것은 밝힘)

또한 1997년, Hardacker 외 연구진은 척추의 정렬 각도가 정상이라고 하더라도, 약 60%의 사람들이 전체적인 척추의 불균형이 있음을 지적했던 것을 시작으로_(C2-C7 Plumb line의 sagittal vertical axis), 2007년, Grob 외 연구진은 목이 아픈 것과 척추 정렬의 불균형은 ‘우연의 일치’로 간주해야 한다고 결론짓기도 했죠.

더 문제인 것은 목통증이 없는 사람들을 대상으로 경추의 평균 각도를 일반화하기 위한 연구들을 종합적으로 보면, 평균을 정하기에 그 편차가 너무 크다는 점에 있습니다.
→ 1986년, Gore 외 연구진은 21.3°
→ 1990년, Owens 외 연구진은 22.3°
→ 1996년, Harrison 외 연구진은 34°
→ 2018년, Guang-Ming guo 외 연구진은 12.71°

우리는 경추의 정상각도를 몇 도라고 해야 할까?

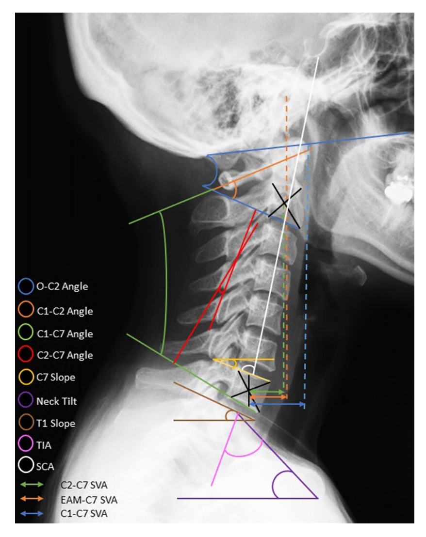
많은 연구자들은 목의 정상적인 각도를 통계화, 수치화, 일반화하기는 어렵기 때문에 다양한 방법을 통해 그 각 개인에게 맞는 적절한 기준을 설정하고 판단해야 한다고 말합니다. 그리고 X-ray 촬영을 통해 제시한 그 적절한 방법은 다음과 같습니다.
→ Pelvic incidence
→ Lumbar lordosis
→ Thoracic lordosis
→ T1 slope
→ Thoracic inlet angle
→ Cervical lordosis
→ SVA
→ CBVA
→ Cervical tilt
→ Neck tilt
→ Cranial tilt


Jouibari MF, Le Huec JC, Ranjbar Hameghavandi MH, Moghadam N, Farahbakhsh F, Khadivi M, Rostami M, K



병원에서, 센터에서 말하는 ‘거북목’, ‘일자목’이라는 기준에서 벗어난 비정상 판정을 받기 위해서 필요한 X-ray 평가에서 사용되어야 하는 방법(parameter, 한도)은 11개에 이릅니다. 여러분은 이런 평가를 통한 진단을 받은 기억이 있나요?


자세, 姿勢_Posture라는 말은 두 가지 의미를 갖습니다.
- 몸을 움직이거나 가누는 형태
- 사물을 대할 때 가지는 마음가짐이나 태도


형태와 태도라는 두 가지 관점으로
균형 있게 바라보는 것이
진정한 ‘바른 자세’를 갖는 것이 아닐까?





결국, 증명의 영역

증명, 證明, Prove_어떤 상황이나 판단에 대해 그것이 진실인지 증거를 통해 밝힘


내가 어떤 가설, 이론, 혹은 철학을 가지고 있는지 보다는 어떤 실질적인 ‘증명’을 할 수 있는지가 더 중요한 시대에 살고 있는 오늘.

어떤 사실을 바탕으로 기준을 세우고, 이를 평가했는지 보다 실질적으로 삶의 변화를 주거나, 돈을 벌거나, 만족을 시켜주는지가 더 중요한 시대를 살고 있다는 말이라 할 수 있죠.

이러한 사회적 현상은 주식투자의 바이블, 벤저민 그레이엄의 [현명한 투자자]가 이야기하는 ‘가치투자’ 보다 ‘테마주’가 더 사랑받고, 상식을 뛰어넘는 광기의 ‘비트코인’을 보면 사람들은 따분한 사실들 보다는 자극적인 사실에 더 끌리는 것은 어쩔 수 없는 현상인 것 같습니다.

그렇기에 지인들이 내 글을 보면 자주 하는 말이 있습니다.
“네가 하고 싶은 말이 아닌 사람들이 듣고 싶어 하는 글을 써.”
“너 글은 너무 어려워… 전문지식이 없는 사람들도 쉽게 읽을 수 있는 글을 써”

저는 대답합니다.
“나는 마주하는 사람들을 위한 글을 쓰고 싶어”
“글이 어려운 게 아니라 원래 사람 몸이 어려운 거야”

과거 로마의 검투사들이 벌이는 잔인한 경기를 보던 사람들이 그들의 멋진 몸과 전투실력에 열광하며, 더 큰 근육과 멋진 몸을 만들고 더 ‘아름다워지기 위기 위해’ 경쟁처럼 몸짱열풍이 부는 모습을 보며, 시인 유베날리스(Iuvenalis , 55-140)가 했던 말이 있죠.

건강한 몸에 건강한 정신까지
깃든다면 보다 바람직할 것이다.


하지만 영국의 사상가 존 로크(John Locke, 1632-1704)는 그의 말을 빌려 ‘건강한 정신에 건강한 정신이 깃든다’라고 말하면서, 몸짱 열풍의 근사한 슬로건으로 전락하고 말았습니다.

철학적 고민이, 애틋한 마음이 자본주의와 얕고 가벼운 정보들 속에서 퇴색되는 모습이 진실로 마음이 아플 때가 있습니다.

답을 내려주는 사람이 아닌, 함께 고민하는 한 사람으로, 건강한 육체와 정신을 위한 동행을 통해 그 과정을 증명하고 싶은 오늘입니다.



keyword