지나야만 했던 터널을 지나고 만난 너

태교일기 [31w5d] 딱풀이에게 보내는 3번째 편지 (D-48)

by 유미작가

딱풀아~

새 생명이 찾아왔다니, 너무 반갑고 고마운 일이었지만 엄마는 모든 게 조심스러웠어. 할머니 할아버지는 물론 외할머니 외할아버지에게도 바로 알리지 못했어. 기대했다 실망하기를 5번이나 반복했던 경험이 엄마를 한껏 움츠러들게 만들었어. 사실 원망스러운 마음도 들었어. 그렇게 간절하게 바랄 때는 번번이 실패의 쓴맛을 느끼게 하더니 왜 이제야 싶었지.

임신 테스트기로 2줄을 확인한 후 약 10일가량을 엄마는 별다른 느낌 없이 보냈어. 너무 이른 시기에 병원을 찾아봐야 피검사 외에 할 수 있는 게 없다는 걸 알기에 조금 천천히 병원에 가 볼 생각이었어. 그런데 아빠가 할아버지의 사과농사를 도와드리러 주말마다 내려가야 할 일이 생겼지 뭐야. 엄마는 적어도 첫 번째 진료는 아빠와 함께 가고 싶었어. 그래서 5주 차 4일쯤이었던 토요일 새벽 엄마가 운영하는 커뮤니티에서 진행하는 북토크를 마치고 아빠를 깨워 병원에 갈 채비를 했어.

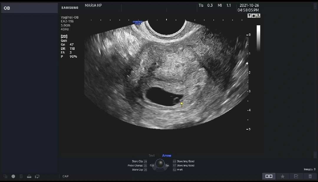
엄마의 마지막 생리일을 고려했을 때 석연치 않은 임신, 병원에서의 첫 반응도 엄마 아빠가 느꼈던 찜찜함과 다르지 않았어. 간호사 선생님은 진료 전 피검사부터 해보기를 제안하셨어. 피를 뽑고 초초하게 30분 정도 기다려 나온 결과는 '임신'. 인공수정과 시험관 시술을 수없이 반복하면서 그렇게 듣고 싶었던 임신이라 판단되는 피검사 수치가 나온 거야. 이어진 의신 선생님과의 초음파 진료에서도 아기집과 난황이 선명하게 보였어. 너의 모습은 아직 작고 작은 점에 불과했지만 우리에게 찾아와 준 너를 느끼기에 충분했어.



엄마가 이전에 임신을 했을 때는 회사 동료들에게 엄마에게 생긴 변화를 알리는 걸 조심스러워했었어. 우물쭈물하다 유산을 하고서야 파트장님에게 연락해 며칠을 쉬었고, 그 후에는 휴양지로 휴가를 다녀온 사람처럼 아무 일도 없었던 듯 사무실에 복귀했어. 그러다 보니 사무실 동료들은 엄마가 임신과 유산을 했었다는 사실 자체를 모르는 경우가 대부분이었어. 지금 생각해보니 엄마는 자신에게 더 중요한 게 무엇인지도 제대로 알지 못하는 바보 같은 사람이었어.


그랬던 엄마가 달라졌어. 딱풀이가 찾아왔을 때 무슨 확신이라도 들었던 걸까? 엄마는 예전처럼 우물쭈물하지 않았어. 무엇이 엄마에게 가장 중요한지 우선순위를 분명히 정할 수 있었고, 마음이 시키는 대로 행동했어. 미리 염려하고 걱정하고 시나리오를 그려보며 눈치 보지 않았어. 엄마가 이렇게 감정에 충실해질 수 있게 된 것은 아프고 힘들었던 시간들 덕분일 거야. 그때는 너무 고통스럽고 암담했지만 딱풀이를 만나기 위해 엄마가 반드시 지나야만 했던 터널이었나 봐. 그리고 그 터널을 지나면서 엄마는 너를 만날 수 있을 만큼 단단한 사람이 되었던 거지.

엄마가 단단해져서 네가 찾아와 준 것일까? 아니면 너를 품었기에 엄마가 단단해진 것일까? 어느 쪽이던 우리가 이렇게 이어지게 된 것은 정해진 운명 같은 일이었겠지? 고맙고 사랑해~♡

keyword