계류유산으로 너를 보내며(4)

반짝이는 2개의 심장을 보다.

by 로투스

또 일주일이 흘러 임신 6주 차가 되어 병원에 다시 한번 방문하는 날이 되었다.


그 사이 나의 몸에는 많은 변화가 일어났다.


4주 차 후반부터 다른 사람들보다 다소 일찍 시작된 입덧이 6주 차가 되니 눈에 띄게 심해져서 학교에서 수업을 하는 내내 속이 울렁거렸다. 점심시간에 급식도 도통 먹기 힘들었다.


의사 선생님은 쌍둥이라서 입덧을 일찍 시작했을 수도 있다고 하셨다.


모성보호 단축근무를 사용하여 2시간 일찍 퇴근해서 집에 오고 나면 좀비처럼 쓰러져 잠만 잤다. 매일같이 몸이 땅으로 꺼지는 피곤함이 느껴졌다.


나는 운동을 이것저것 좋아해서 20대 때부터 근력 운동도 꾸준히 해왔고, 주말이 되면 남편과 취미 생활로 15km-20km씩 하이킹을 해왔다. 연애 때부터 시작해서 2년여에 걸쳐 남편과 함께 해파랑길 50코스(무려 750km)를 완보한.. 2만 보 정도 걷는 것은 우스운.. 체력 하면 자신 있는 나였다.


그런데 출근하고 퇴근하고 나면 방전이 되어 아무것도 할 수 없었다. 입맛을 잃는 일도 내게는 흔치 않은 일인데 입덧으로 인해 잘 먹지 못하고, 평소에 그토록 좋아하던 고기는 생각만 해도 느글거려 토할 것 같았다. 평소에 잘 안 먹던 과일과 밀가루 음식, 매운 음식이 당겨 그런 것들 위주로 끼니를 때웠다.


또 기초 체온이 올라 항상 몸이 뜨겁고 열이나 머리까지 뜨끈뜨끈 두통이 오기도 했고, 가슴이 커지고 빵빵해져 스치기만 해도 아파서 퇴근하고 오면 아이스팩을 대고 있어야 했다.


처방받은 입덧약을 먹으니 울렁거림은 조금 나아졌지만, 수면제를 먹은 마냥 잠이 쏟아져서 아침나절에는 절대 먹을 수 없었다. 그래서 밤에 자기 전 입덧약 2알을 먹고 자는 것이 일상이 되었다. 입덧약은 밤에 먹어도 아침에 일어나는 것이 힘들 만큼 강력했다.


몸은 힘들었지만 책에서 읽은 임신 증상이 내게도 나타나는 것을 보니 신기하기도 했다.


나는 워낙 활동량이 많고 외향적 에너지가 큰 사람이었기에 운동도 못하고 집에만 있는 것이 너무 힘들었다. 하지만 그렇다고 무언가를 일부러 하기에는 몸이 따라주지 않았다.


'입덧이 끝나고 안정기가 찾아오면 좋아하던 운동도 슬슬 시작하고 음식도 골고루 잘 먹을 수 있겠지.' 하며 하루하루 내 몸에 적응하며 버텼다.


엄마가 될 준비를 하는 거라고 생각하니 이 과정이 그렇게 힘들게 느껴지지는 않았다. 이마저도 행복했다.


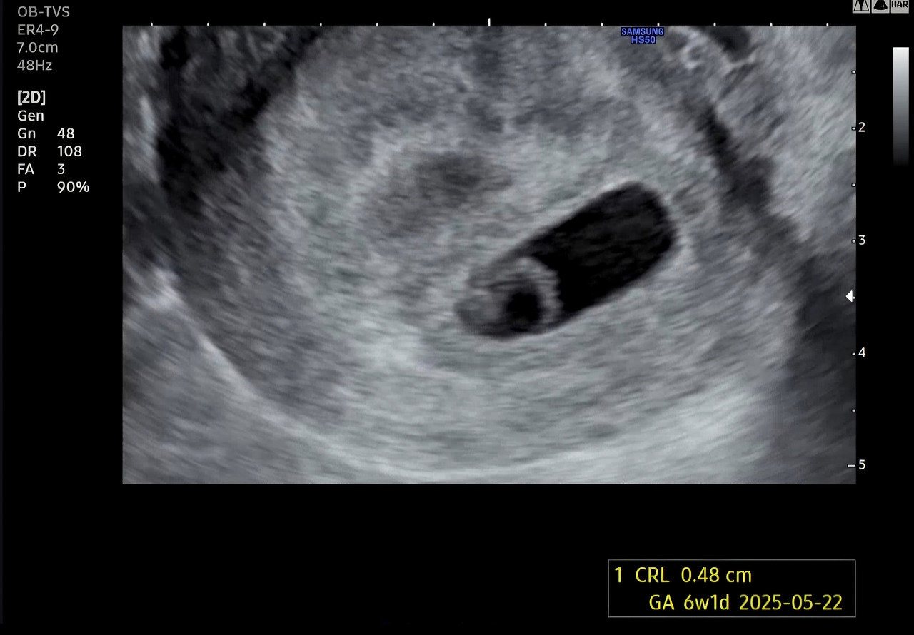
6주 차에 확인한 초음파에서는 지난주보다 훨씬 공간을 늘린 두 개의 아기집과 동그란 난황 2개, 그리고 두 아이의 반짝이는 심장까지 볼 수 있었다.

"우와! 정말 커졌네요."

한 주 한 주 달라져 있는 초음파 속 모습이 너무 신기했다.


반지처럼 동그란 것이 난황이고 그 끝에 붙어있는 게 아기라고 하는데, 내 눈으로는 잘 식별할 수 없었다. 의사 선생님이 여기서부터 여기까지가 아기라고 화면에 표시해 주시며, 머리부터 엉덩이까지의 길이가 한 명은 0.6cm, 한 명은 0.48cm라고 했다.


아기의 모습은 잘 알아볼 수 없었지만 한 가지 확실하게 보이는 것은 심장의 깜박임이었다.

"여기 반짝반짝하는 게 심장이에요."


'우와. 손톱만큼 쪼그만 게 벌써 심장이 있다니...♡'


심장 소리도 들려주셨다.

두 아이 모두 심장이 잘 뛰고 있었다.

쿵쿵 쿵쿵

내 심장도 더러 쿵쿵 뛰었다.


"그런데 한 아이가 난황이 좀 크네요. 난황이 크면 예후가 좀 안 좋기도 하거든요. 먼저 생긴 아기는 난황 크기가 적당한데, 나중에 생긴 아기 난황 크기가 좀 커 보여요. 그래도 두 아이 모두 심장은 잘 뛰어요. 난황 크기보다 심장 뛰는 것이 더 중요하긴 한데.. 그래도 조금 지켜보아야 할 것 같아요. 다음 주에 한 번 더 오세요."


'두둥.. 이건 또 무슨 소리인가..ㅠ

아기집, 심장 소리만 잘 확인하면 되는 줄 알았는데 난황 크기..?'


아가들의 쿵쿵대는 심장 소리를 들은 기쁨도 잠시, 나는 걱정을 안고 집에 와서 난황 크기에 대해 검색하기 시작했다.


난황 크기가 너무 크면 아기가 영양분을 잘 흡수하지 못하고 있는 거라서 잘 자라지 못할 확률이 있다고 한다.


인터넷 커뮤니티에는 아기 난황 크기가 크다는 이야기를 듣고 난 이후 아기의 심장이 멈추었다는 사람도 있었고, 아기의 난황 크기가 큰 편이었지만 잘 자랐다는 사람도 있었다.


50대 50의 확률인 걸까...

점점 걱정이 커져가서 인터넷 커뮤니티는 그만 보기로 했다.

'심장이 잘 뛴다고 하니 괜찮을 거야. 아가를 믿어보자..!'


나와 남편은 더 큰 아기를 요미, 작은 아기를 세미라고 불렀다.


"세미야 화이팅!!! 난황 많이 먹어!!!"라고 응원하며, 초조한 마음으로 또다시 긴 일주일을 보냈다.





keyword
이전 03화계류유산으로 너를 보내며(3)