brunch

내 아이를 갖다

생명을 얻다

by 너나나나


image.png?type=w966
20240829_103412.jpg?type=w966

우리 언니 두 명은 아이를 둘씩 낳아서 잘 살고 있다. 그러나 어쩐 일인지 나는 어릴 때부터 결혼이나 아이를 갖고 행복하게 사는 것에 대해서 항상 회의적이었는데 이유를 생각해 보면 언니들이 이미 자식들을 건강하게 낳아서 기르고 있었기 때문에 나 하나 결혼과 출산을 하지 않는다고 해서 부모님이 딱히 슬퍼할 것 같지 않을 것이라 생각했던 것 같다. 또한 나는 평범한 삶을 살아가는 언니들과는 다른 인생을 살고 싶었고 대부분의 사람들이 선택하지 않는 길을 가 보고 싶기도 했다. 그래서 주변에 나 스스로를 비혼주의자로 소개하면서 여행하고 외국에서 일을 하는 자유로운 영혼으로 살았다. 온라인으로 한국어를 가르치다가 지금의 남편을 선생과 학생 사이로 만나 교제를 시작했고 2년 정도 사귀면서 우리는 서로의 미래에 대해 함께 그림을 그려보기로 결정했다. 남자친구 마이클은 키가 크고 얼굴도 조 박만 하고 잘생겼는데 성격까지 온화하고 유쾌하여 그야말로 인생 배우자감으로 더할 나위 없이 제격이었다. 이렇게 귀엽고 잘생긴 사람을 닮은 내 아이가 있으면 얼마나 예쁠까 하는 생각이 자주 들었고 우리는 깊은 대화 끝에 아이를 가져보기로 결정했다. 내 나이 32살, 원래는 결혼이나 아기에 대해서 회의적이었지만 나중에 더 나이가 들어 혹시나 후회할 일이 생기지 않길 바라는 마음에 나의 오랜 반항심은 이리하어 꺾이게 되었다.

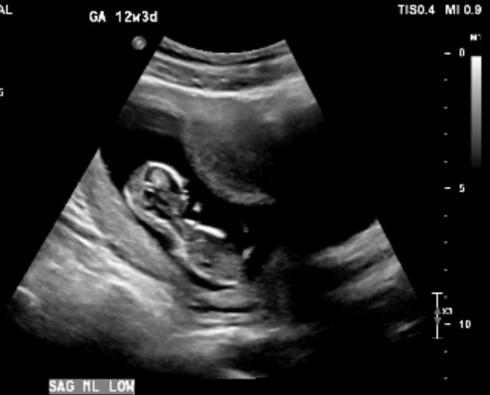
image.png?type=w966

주변에 아이가 생기지 않아 고생하는 사람들을 보긴 했지만 남의 일이라는 생각이 컸고, 자연임심으로 아이들을 낳은 친구들이 더 많았기에 나도 피임을 하지 않으면 어렵지 않게 아이가 생길 거라고 생각했다. 그러나 한 달 두 달이 지나도 소식이 없자 자연임신이라는 것이 쉬운 게 아니라는 것을 깨달았고 좀 더 집중해서 아이를 갖으려 노력한 결과, 세 달째가 됐을 때 마법처럼 생리가 멈추었다. 임신테스트기에 두 줄을 확인했을 때 심장이 두근거리고 호흡이 빨라졌다. 진짜인가 싶어 한동안 두줄을 뚫어져라 쳐다보고 있었다. 마이클은 이 소식을 듣고는 나를 안아주며 너무 좋다고 기뻐했다. 임신을 하고 나서 처음 몇 주 동안은 실감이 전혀 나지 않다가 12주 차 초음파에서 아기의 심장소리를 듣고 그제야 내 뱃속에 생명이 자라고 있다는 것을 느낄 수 있었다. 구토를 하는 입덧은 없었지만 4시간에 한 번씩 밥을 먹어야만 메슥거림이 줄어들었고 소화가 너무 안 돼서 항상 위가 불편했다. 먹지 않아도 메슥거리고 그렇다고 먹으면 또 소화가 안 돼서 아프고, 이도저도 하기 힘든 상태가 2달가량 지속됐다.


Feet.jpg?type=w466


도시 이동을 해서 남편과 둘만 사는 보금자리로 이사를 가면서 입덧도 함께 사그라들었다. 내 집에서 일도 안 하고 내가 마음 편하게 있을 수 있다는 것 자체로 최고의 태교를 할 수 있었다. 영양제도 꾸준히 챙겨 먹고 가능하면 건강한 음식을 먹으려고 노력했다. 로토루아에는 맛있는 식당도 없고 제대로 된 한국 마트 없었기에 밥을 먹는 것에 어려움이 있신 했으나 한국에 갈 날만 손꼽아 기다리며 한 끼 한 끼를 버텼다. 20주가 넘어가면서 배가 조금씩 더 부르기 시작했고 27주 차에는 배가 상당히 나온 상태로 한국을 방문했다. 12시간 비행에 걱정을 많이 했으나 다행히 한국이 겨울이라 그런지 비행기에는 사람이 많이 차지 않아 누워서 올 수 있었다. 긴 비행으로 지친 몸을 이끌고 출구에 나오자 마중 나온 부모님이 우리를 기다리고 있었다. 여름옷을 입고 온 우리는 나름 패딩을 챙겨서 입긴 했지만 한국 1월 강추위에 주차장까지 걸어가는 그 짧은 순간 사이에 정말 너무 추워서 온몸이 부들부들 떨렸다.


%EB%A8%B8%EB%A6%AC.jpg?type=w966


임신한 상태로 한국에 온 우리는 그다음 날 설 준비로 분주했다. 로토루아는 여름이었는데 한국은 겨울이라서 뱃속 아이도 어리둥절했을 것이다. 날씨와 시차 적응을 위해서 설 연휴 동안에는 밖에 한 발자국도 나가지 않고 가족 친척들과 시간을 보냈다. 설 연휴가 끝난 다음날인 1월 31일 금요일, 평일시간을 이용하여 임산부 바우처를 받기 위해서 동사무소를 먼저 방문했는데 자신들이 해 줄 수 있는 것은 없고, 정부 24 홈페이지를 통해 임산부 혜택을 신청하고 보건소에 가 보라고 말했다. 보건소에 가 보니 임산부를 위한 철분제와 수첩을, 분홍색 배지를 주면서 임산부 바우처는 원하는 은행에 직접 가거나 홈페이지를 통해 신청해야 한다고 했다. 나의 주 거래 은행인 국민은행 홈페이지에 들어가서 보니 주말에는 온라인도 일을 하지 않고, 절차가 복잡하게 되어 있어서 그냥 직접 방문하는 것이 가장 좋을 듯했다. 며칠 동안 이리저리 치이면서 임산부 혜택을 받기 위해 정부에서 지원하는 돈을 받는 것에 대한 어려움을 고스란히 느끼면서, 이러니까 사람들이 애를 낳지 않지 라는 생각이 들었다. 동사무소든, 보건소든, 은행이든 뭔가 제대로 된 정보를 주는 곳이 하나도 없었다. 답답한 마음을 이끌고 집에 돌아온 나는 정부 24 홈페이지를 통해 임산부 혜택을 신청하는데 핸드폰 인증이면 다 될 줄 았지만 은행 계좌 인증도 해야 했고 신청 절차를 다 끝낸 후에도 계속해서 오류 메시지 화면이 떠서 여간 스트레스가 아니었다. 신청을 하다가 중간에 버튼을 잘못 누르면 다시 처음부터 다시 인증하고 작성해야 했다. 중간에 자동저장 기능 따위가 없었기 때문에 이런저런 인증과 로그인, 동의, 신청, 등등 모든 절차를 소화하기 위해서는 대단한 인내심이 필요하다는 것을 새삼 다시 느꼈다. 우여곡절 끝에 바우처를 얻은 후 필요한 출산 용품들을 구입했다. 그래도 절차를 복잡했지만 아이를 낳는다고 이렇게 돈을 받을 수 있다는 것 자체에 감사함을 느낀다.


나는 뉴질랜드에서 출산을 하지만 아이는 뉴질랜드와 한국 이중국적을 갖게 된다. 태어나기도 전에 이중국적에 영어와 한국어를 모국어로 장착하게 될 이 아이가 부디 건강하게만 태어나길 바라는 마음이다.

keyword
이전 06화뉴질랜드에서 내 집 마련