brunch

14. 임신 21주

정밀초음파

by thesun




정밀초음파




병원을 내원한 지 5주 만에 다시 방문하였다. 별 이상이 없으면 4주에 한 번씩 병원을 방문하라는 말은 여전히 유효했다. 이제는 아기의 태동으로 인해 태아의 안전을 크게 걱정할 필요가 없었다. 태동이 하루 동안 전혀 없다면 병원을 방문해야 하지만 햇님이는 첫 태동 이후 하루하루 열심히 움직이느라 바쁘다.


21주 차에는 정밀검사를 진행한다. 정밀 검사를 하는 동안 태아가 움직이라고 초콜릿을 하나 먹고 방문했다. 단것을 먹으면 아이가 활발해져서 초음파를 보는데 수월하다고 들었는데 효과가 없었다. 병원을 내원하기 위해 가는 길에는 열심히 움직이던 햇님이는 병원 도착과 동시에 잠잠해졌다.



Screenshot_20190611-160120.jpg
Screenshot_20190611-160139.jpg


침대에 누워 복부초음파를 보는데 먼저 자궁경부 길이 등을 확인하고 양수량이 적당히 있는지 확인을 했다. 다행히 나는 자궁경부 길이가 4.22cm고 양수량도 적당히 있어서 조산위험이 없다고 했다. 자궁경부 길이가 짧을수록 조산위험이 크기 때문에 절대 안정이 필요하다.


Screenshot_20190611-160224.jpg
Screenshot_20190611-160239.jpg
Screenshot_20190611-160248.jpg
Screenshot_20190611-160259.jpg
Screenshot_20190611-160315.jpg
Screenshot_20190611-160330.jpg


그다음 태아의 머리 둘레를 측정하고 21주 차에 맞게 뇌가 주수에 알맞게 발달하였는지, 물혹 등의 여부나 기형이 있는지 확인을 한다.


Screenshot_20190611-160407.jpg


다음은 양쪽 눈 모두 눈동자의 여부를 확인한다. 왼쪽, 오른쪽 순서대로 태아의 눈동자가 있는지 확인했다. 눈을 감고 있는 태아의 눈동자까지 확인이 가능한 것이 더욱 신기했다.


Screenshot_20190611-160416.jpg


아기의 콧구멍과 인중을 확인했다. 인중과 콧구멍을 보며 구개구순열의 여부를 확인하는데 햇님이는 다행히 인중이 매끄럽게 있음을 알 수 있었다.


Screenshot_20190611-160526.jpg


태아의 옆모습을 보며 콧대를 확인한다. 코뼈 길이를 측정하는데 엄마를 닮았는지 코뼈 길이가 짧아 의사가 두 번이나 측정해서 겨우 0.58cm임을 확인했다. 코뼈 길이를 측정할 때 무안해서 남편이랑 눈을 마주치자마자 슬며시 웃었다.


Screenshot_20190611-160543.jpg


그다음 양측 귀를 확인했다. 왼쪽은 귀가 있는 것을 명확히 확인하고 반대편을 확인하는데 햇님이가 손을 올리고 귀를 가렸다. 초음파로 여기저기 확인하며 겨우 양측 모두 귀가 형성된 것을 확인했다.


Screenshot_20190611-160606.jpg


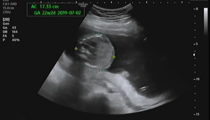
다음은 복부 둘레를 측정하는데 22주 2일 차로 해당되는 수치가 나와서 당황했다. 괜히 체중이 증가하는 나 때문에 아이의 복부 둘레도 증가하는 것은 아닌가 걱정이 되었다. 의사가 이 정도 차이는 괜찮다고 해서 걱정을 덜었다.


Screenshot_20190611-160728.jpg
Screenshot_20190611-160744.jpg
Screenshot_20190611-160754.jpg
Screenshot_20190611-160812.jpg


복부를 보고 장기가 주수에 맞게 잘 발달하고 있는지 확인했다. 심장, 간, 위 등 현재 잘 있는지 확인하고 심장에서 혈류가 잘 흐르고 있는지 확인했다. 심장이 심실 2, 심방 2로 잘 나뉘어 있는지 혈류가 알맞게 흐르고 있는지 확인하는데 신기했다. 혈류가 알맞게 제 방향으로 흐르는 것을 확인하고 태아의 심장이 잘 뛰고 있는지 확인했다.


Screenshot_20190611-160856.jpg
Screenshot_20190611-160920.jpg


그다음 허벅지와 팔 길이를 측정하는데 다행히 전체적으로 주수에 알맞게 성장 중이라고 의사가 설명했다.


Screenshot_20190611-160933.jpg
Screenshot_20190611-160951.jpg


허벅지 길이를 측정하고 아래를 보면 발가락의 개수를 확인했다. 양측 모두 다 발가락 5개 있는지 확인했다. 초음파를 보는데 햇님이가 불편한지 여기저기 발로 밀어대는 모습을 볼 수 있었다.


Screenshot_20190611-161145.jpg


세밀하게 장기를 확인하고 태아의 척추와 갈비뼈들이 잘 형성되고 있는지 확인했다. 21주에는 일반적으로 태아의 머리 엉덩 길이(CRL)가 16~18cm인데 작은 크기임에도 내 품에서 생명이 싹트고 있음을 다시 깨닫게 되었다.


Screenshot_20190611-161249.jpg
Screenshot_20190611-161313.jpg


그다음 손가락을 확인하는데 발도 너무나 귀여웠지만 손을 확인할 땐 더욱 귀엽다고 생각했다. 양쪽 손 모두 손가락 5개 있는 것을 확인하는데 햇님이가 주먹을 쥐고 잘 안 보여줬다. 의사가 나의 배를 살며시 흔들어 햇님이의 반응을 보니 그제야 손을 펴 손가락 5개임을 확인시켜줬다.





keyword
이전 13화13. 너의 성별