brunch

2025년 4월 결산

짧은 생각들

by 김알옹

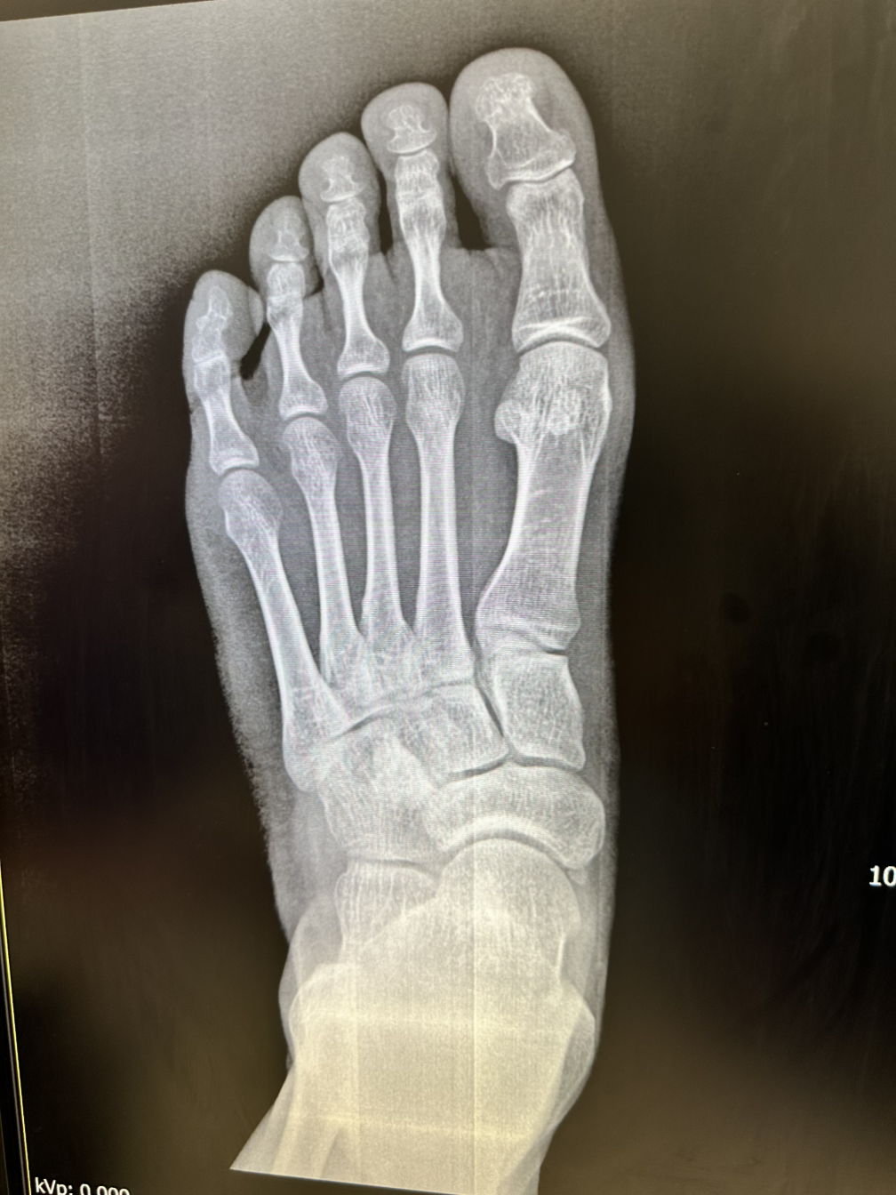
3월 결산에 요즘 산책하는 게임을 하느라 많이 걷는다고 언급했는데, 어느 날 저녁 2만보를 걸었더니 발바닥이 아프기 시작했다. 통증이 심상치 않아 집 앞 정형외과에 갔더니 발이 평발이고 '부주상골'이라는 없어도 되는 작은 뼈가 하나 있어 구조적으로 많이 걸을 수 없는 발이라는 이야기를 들었다. TV 건강 프로그램에 종종 출연하시는 선생님이라 설명을 어찌나 찰떡같이 해주시던지...


"그러니까 환자분 왼발 발가락 받쳐주는 다섯 형제 뼈가 있는데, 가장 힘세고 돈 많은 엄지 뼈는 맨날 놀고먹느라 나머지 뼈들이 뼈 빠지게 일해서 걷고 있는 겁니다." 뼈가 뼈 빠지게 일한다니 선생님 표현력은 처방 안 해주시나요...


엄지쪽 뼈가 저렇게 휘어있으면 안 된다고…


여하튼 그래서 달리기나 등산을 하면 발이 쉽게 피로해지고, 더 무리하면 이렇게 염증이 생길 수도 있으니 운동을 하려면 수영을 하거나 자전거를 타라고 하신다. 말 잘 듣는 나는 따릉이 6개월 정기권을 결제했다. 내가 하는 산책 게임은 자전거를 느리게 (시속 20km/h 미만) 타도 걷는 것과 비슷한 효과가 있으니 쉬엄쉬엄 매일 밤 1-2시간 정도 따릉이를 타러 나간다. 집이 서울 동쪽 끝이라 한강을 타고 동쪽으로 달리다 보면 남양주/팔당으로 가게 된다. 밤 11시 12시의 한강 자전거길은 사람이 하나도 없어서 정말 고요하다. 처음엔 오디오북이라도 들으며 달릴까 했는데, 그 고요함도 나쁘지 않은 것 같아서 음악도 오디오북도 없이 달리고 온다.


이팝나무와 보름달


평일에 저 시간에 원래 책을 읽었는데, 나가서 자전거를 타고 오니 책 읽을 시간이 확 줄어들었다. 게다가 중간에 여행도 다녀오고... 책 많이 못 읽었다는 이야기를 길게 해 봤다. 브런치에 글을 안 쓰는 책들도 보통 짧은 리뷰를 다른 앱에 남겨놓고 결산에 활용하는데, 그것도 안 해놓으니 결산을 할 엄두가 안 나서 차일피일 미루다 보니 어느새 5월도 반이 지나갔다. 뒤늦게 조금씩 기억을 되살려 기록하는 4월의 독서들.




예소연 <영원에 빚을 져서>




김희원 <오염된 정의>




예소연 외 <2025년 제48회 이상문학상 작품집: 그 개와 혁명>


2024년의 온갖 문학상을 다 휩쓸었던 예소연의 작품이 결국 이상문학상 대상을 거머쥐었다. 내 작은 브런치 안에서도 벌써 여러 번 언급된 작품일 정도니 뭐. 앞으로의 작품 활동을 기대한다.


문학상 작품집을 읽는 이유는 내 마음에 쏙 드는 작가를 발견하기 위함이다. 누구나 자신에게 딱 맞는 일상의 물건이 있을 것이다. 베개, 운동화, 의자, 화장품, 커피/차, 속옷, 티셔츠, 가방 등등 유목민처럼 이것저것 사서 체험해 보면서 결국 자신에게 딱 맞는 제품을 발견해서 그것만 쓰는 물건들. 나한테 맞는 소설가를 찾는 것도 비슷한 과정이다. 다양한 문학상 작품집을 통해 간단히 평론가들의 권위까지 더해진 그해의 핫한 소설을 읽어보면서 내 취향에 맞는 소설가를 탐색한다.


김기태 <일렉트릭 픽션>, 문지혁 <허리케인 나이트>, 서장원 <리틀 프라이드>, 정기현 <슬픈 마음 있는 사람>, 최민우 <구아나> 중 김기태 작가님 작품은 재미없었지만 <두 사람의 인터내셔널>로 이미 많은 걸 보여주셨고, 문지혁 작가님 작품도 여기저기 문학상을 다 타셔서 이미 언급했지만 또 읽어도 재미있었다. 나머지 세 편은 별로 재미없었다.



남유하 <오늘이 내일이면 좋겠다>




문지혁 <고잉 홈>


<허리케인 나이트>로 24년의 웬만한 문학상은 다 섭렵한 문지혁 작가님의 단편집. 모든 단편의 인물/배경은 한국 이민자가 등장하는 미국이다. 책 말미에 담긴 공식 서평에선 ‘헤이코리안 플롯‘이라고 지칭하고, 어딘가에선 ’코리안 디아스포라 문학‘이라고 불리는 특이한 구성이다.


풍부한 소재로 이야기를 풀어나가지만 미국이라는 배경과 이민자가 느끼는 슬픔(혹은 한)의 정서가 반복되다 보니, 조오금 질린다. 매 끼니 햄버거를 먹는 기분이랄까. 작품들의 배경이 내가 사는 한국이었다면 그렇게 느끼지 않았을 텐데.


그럼에도 이야기를 짜내는 솜씨는 정말 빼어난 작가님이다. 가끔 한 편씩 읽으면 무릎을 탁 칠 만한.




옌롄커 <해가 죽던 날>




장류진 <우리가 반짝이는 계절>




이호 <살아 있는 자들을 위한 죽음 수업>


법의학자로서 수천 명의 죽음을 지켜보며 느낀 삶의 철학을 담담히 써낸 책. 불필요한 죽음이나 사고의 예방을 위한 임상법의학의 도입이 필요하다고 말씀하시는 부분에서 많이 공감했다. 시스템이 부재해서 생기는 죽음은 얼마든지 예방할 수 있다. 하지만 이 나라에서는 사람의 목숨보다 더 귀한 돈과 시간 때문에 저런 성숙한 제도는 집중포화를 맞고 금세 좌초하게 될 거다.




강보라, 성해나, 윤단 <소설 보다: 봄 2025>


대만 여행에 들고 간 책. 짧은 호흡으로 여기저기 돌아다니며 시간이 날 때 조금씩 짧은 호흡으로 읽으려고 일부러 이런 앤솔로지들을 들고 여행을 떠났다. 최애 성해나 작가님의 작품이 있어 읽기 전부터 설레었다.


강보라 <바우어의 정원>: '영화 관련한 일을 했던 사람이 쓴 소설이구나'라는 느낌이 확 드는 소설들이 종종 있었는데 '이 작가 연극 일을 했나?'라는 느낌은 처음 받아본 소설이다. 두 여성 연극배우가 각자 가진 아픔들을 풀어내는 소품으로 연극이 사용되어 신선하고 반가웠다.


성해나 <스무드>: 난 집에 먹을 게 많으면 맛있는 건 나중에 미뤄놓고 마지막에 먹는 사람이고, 읽고 싶은 책을 다 사면 집에 공간이 없어서 서울살이을 포기해야 할 것 같아 도서관에서 빌려 읽기만 하는데, 작가님의 <혼모노> 책은 사고야 말았다. 그리고 읽지 못하고 있다... 맛있는 음식이랑 똑같은 원리로 맨 마지막에 읽으려는 습성이 발휘된 탓이다. 최애 작가다. '넷플릭스 왜 보냐. 성해나 책 보면 되는데.'라는 박정민 배우의 <혼모노> 추천사에 200% 공감한다.


이 작품은 '타이-극기'를 들고 극우 집회에 참가하게 된 교포 2세의 이야기이다. 깔끔하게 떨어지는 구조와 서사, 인물의 내면까지... <혼모노> 책에도 수록된 걸로 알고 있는데, 다시 한번 읽을 생각으로 책장에 꽂혀있는 <혼모노>를 바라보니 기분이 좋다.


윤단 <남은 여름>: 기억이 잘 안 난다.




성혜령, 이서수, 전하영 <봄이 오면 녹는>


대만 여행에 들고 간 책. 짧은 호흡으로 여기저기 돌아다니며 시간이 날 때 조금씩 짧은 호흡으로 읽으려고 일부러 이런 앤솔로지들을 들고 여행을 떠났다. 갑자기 비가 쏟아져서 다급하게 찾아 들어간 어느 카페에 앉아 읽은 책.


커피 향이 좋아서 기억날 것 같은 순간


성혜령, 이서수, 전하영 세 작가의 작품이 실려있는데, 놀랍도록 맛있는 파나마 게이샤 커피를 마시면서 느낀 기쁨 때문에 첫 작품으로 실린 성혜령의 작품만 그럭저럭 읽었고, 나머지 두 작품은 손이 안 가길래 그냥 커피 맛만 즐기다 왔다. 이서수/전하영 작가님은 전작들에서 나랑 잘 안 맞았는데, 속는 셈 치고 한 번 더 읽어보려고 했지만 역시 안 맞아…




류시은, 박서련, 조예은, 최미래, 함윤이 <지옥: 신의 실수>


대만 여행에 들고 간 책. 짧은 호흡으로 여기저기 돌아다니며 시간이 날 때 조금씩 짧은 호흡으로 읽으려고 일부러 이런 앤솔로지들을 들고 여행을 떠났다.


<지옥>은 <부산행>의 연상호 감독님과 <송곳>의 최규석 작가님이 네이버 웹툰에 연재한 작품이다. 평범하게 살던 사람이 갑자기 '죄인 xxx. 너는 언제언제 지옥에 간다'라는 고지를 받고 정확히 그 시간에 무시무시한 괴물들이 와서 사람을 갈기갈기 찢고 태워서 죽인다. 그래서 인간은 선하게 살아야 한다는 '새진리교'라는 종교가 등장하고, 이 종교의 맹신도이자 행동요원 격인 '화살촉'이라는 단체가 등장해서 사회에 과도한 폭력을 저지른다. 섬뜩한 설정과 세계관에 처음 이 웹툰을 봤을 때 실제 현실에서도 충분히 벌어질 수 있는 일이라고 생각해 몹시 두려웠다. 괴물이 나와 사람을 태우는 것만 다를 뿐이지, 그 어떤 현상이나 사건을 통해 대중을 조종하고 맹신하게 만들어 권력을 갖게 되는 단체의 등장과 광신도들의 폭력을 통한 수단의 달성은 인류의 역사에 자주 등장한 일이니까. (그리고 실제로 이번 비상계엄 때 화살촉을 연상케 하는 미친놈들이 법원을 습격했다.)


돈 많은 넷플릭스가 영상화를 시켰는데, 꽤나 만족스러운 결과물이 나와 재미있게 감상했다.


책은 <지옥>의 세계관에서 벌어지는 고지, 사자, 시연, 부활 등 다양한 이야기들이 작가님들의 상상력을 통해 펼쳐진다. 웹툰이나 드라마를 통해 <지옥>을 먼저 접한 사람들이라면 무릎을 탁 치면서 읽을 수 있을 것이다. 류시은 작가님과(동생과의 비디오를 유출시킨 놈을 단죄하려고 시연을 활용한 언니의 이야기) 박서련 작가님의(저주하고 싶은 사람이 고지를 받게 해주는 부적을 써주는 사이비 무당의 이야기) 작품이 특히 재미있었다.




위화 <인생>


누군가 그러더라. 이 책은 중국판 <스토너>라고. <스토너>의 윌리엄 스토너의 일생을 읽을 때 요동치던 감정이 생생하다. 한 남자의 일생을 쭉 관조하는 소설을 읽다 보면 내 인생이 저기에 겹치는 장면이 나오면서 그 남자에게 동화되며 저 인생이 내 인생 같다는 마음으로 빠져들게 된다. <스토너>나 톨스토이의 <이반 일리치의 죽음>에서는 그런 순간이 있어서 감정이 요동쳤는데, <인생>에서는 다행히 없었다. 그러나... 주인공 푸구이의 일생 이야기는 너무 비극적인데 막상 본인은 초월한 모습을 보여주니 그 괴리감을 견딜 수 있는 중년 남자가 몇이나 있으랴. 슬픈 작품이다.



최재천 <양심: 호모심비우스>


최재천 교수님이 부르짖는 양심.

대한민국을 떠들썩하게 했던 황우석 박사의 (사기) 실험의 뒷 이야기, 돌고래 제돌이를 제주 바다로 방류하기까지 있었던 수많은 갈등들, 롯데월드 아쿠아리움에 갇혀 있는 벨라의 방류를 위한 노력, 4대강 반대에 앞장서며 환경운동가가 된 사연, 호주제 폐지를 위한 헌법재판소 재판에서 과학계를 대표해 왜 호주제가 불합리한 제도인지 낱낱이 파헤친 이야기 등 흥미진진한 본인의 썰을 풀어놓으신다. 학자로서의 권위도 있는데, 사회 참여까지 활발히 하시는 존경할 만한 어른이라고 생각한다.




김범준 <어른의 말투>


나이보다 조금은 어려 보이는 얼굴에, 전형적인 서울오빠 같은 말투로 말하는 나는, 엄연한 한 가정의 가장임에도 불구하고 (특히) 회사에서 '어른'스럽지 못하다는 작은 콤플렉스가 있다. 그걸 고쳐줄 만한 실용적인 팁이라도 있을까 읽어본 책인데, 썩 도움이 되진 않는다. 이 책을 읽고 별 도움이 안 된다고 생각하는 내가 오히려 문제인가 싶기도 하다. 너무나 당연한 말들의 나열이라 지키기만 하면 되는 일인데, 그게 말처럼 쉬운가...


대기업 다니다 은퇴하고 (보통 HR이 많다) 다양한 회사의 외부 교육 프로그램을 노리고 사업을 하는 수많은 강사들이 있다. 이 작가도 그중 하나로 보인다.




박광우 <죽음 공부>


이 책까지 읽으니 이제 의사가 쓴 죽음에 관한 책은 당분간 그만 읽어야겠다는 생각이 든다. 비슷한 주제와 비슷한 직업의 작가들이 쓴 글들을 과하게 많이 읽어서 피곤해 죽을 지경이다. (사실은 회피하고 싶은 주제라 그렇다.)

keyword
작가의 이전글해가 죽던 날