brunch

3화. 온몸이 가려운 임신7주차, 이게 정상일까?

임신 7~8주, 불안과 가려움 속에서

by 베이지

해야 할 일 리스트부터 쏟아지다


병원에서 임신 확정을 받은 후, 정신이 없었다.
임신 초기 때 꼭 신청해야 하는 것들, 챙겨야 할 것들이 너무 많았다.


‘임신은 처음인데, 도대체 어디서부터 시작해야 하지?’


정보가 많은 세상은 축복이지만, 동시에 혼란이기도 했다.
맘카페, 블로그, 정부 사이트… 알아볼 수 있는 곳은 많았지만,

진짜 필요한 정보를 가려내는 건 또 다른 일이었다.


나는 대충 넘길 수 없는 성격이다.
최소 다섯 곳 이상은 비교하고 확인해야 마음이 놓인다.
그렇게 하루하루가 물 흐르듯 지나갔다.


‘내가 정말 임신한 게 맞을까?’


아이러니하게도, 몸은 전혀 변한 게 없었다.
입덧도 없고, 배도 나오지 않았다.


‘괜히 임신했다는 생각에 피곤한 걸까?’


심리적 압박감만 커졌다.
몸이 알려주지 않으니, 오히려 내가 스스로 임신을 의심하는 상황이 되었다.


단축근무, 말하지 않아도 티 나는 순간


임신 사실을 회사에 알리고 싶지 않았지만,
가장 먼저 해야 할 일은 단축근무 신청이었다.


법적으로 보장된 권리지만, 신청하는 순간 임신 사실이 공개될 수밖에 없었다.


나는 최대한 조심스럽게 얘기했는데, 사장은 생각보다 날카롭게 반응했다.
말투 하나하나가 서운했고, 결국 목소리가 높아졌다.


‘왜 내가 죄지은 사람처럼 설명을 해야 하지?’


임신으로 인한 첫 번째 갈등.
이제 막 시작인데 벌써 마음이 무겁다.


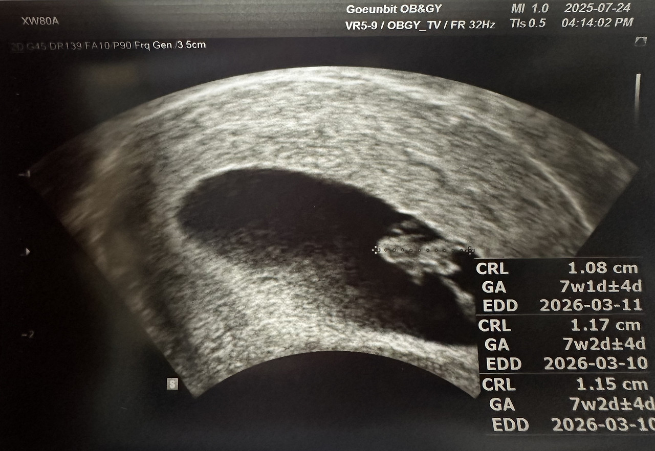
7주 차, 심장 소리를 듣다


드디어 아기의 심장 소리를 들었다.
규칙적으로 뛰는 소리를 들으며, 눈물이 날 줄 알았다.

그런데 이상하게도, 아무 감정이 일지 않았다.
내가 너무 담담해서 오히려 놀랐다.


‘왜 이렇게 무감각하지? 나, 엄마가 맞는 걸까?’

7주 차 아기의 모습. 작지만 또렷하게 심장이 뛰고 있었다.
0724 (9).jpg
0724 (3).jpg
0724 (8).jpg


가장 힘든 증상, 온몸의 가려움


그때부터 가장 큰 이슈가 생겼다.
온몸이 가려워 며칠째 잠을 잘 수가 없었다.


의사 선생님은 페니라민정을 처방해 주셨다.
하지만 먹어도 소용없었다.


밤마다 눈을 감고 기도했다.


“제발 좋으니깐, 간지럼증만 멈추게 해 주세요.”


하지만 호전되지 않았다.
피부가 뒤집어진 것도 아닌데, 속에서부터 올라오는 듯한 가려움.
몸은 점점 지쳐갔고, 하루를 버티는 게 고역이었다.


이 시기만큼은 정말, ‘임신이란 게 축복일까, 시련일까?’ 싶은 순간들이 이어졌다.


식욕은 없는데, 입맛은 까다롭다


입덧은 없었지만 식욕도 없었다.
그런데도 이상하게 당기는 게 있었다.

아이셔 젤리, 키위주스.
그 두 가지는 매일 입에 달고 살았다.

몸은 힘들었지만,

작은 단맛과 새콤함이 그나마 위로가 되었다.


생각해 보면, 엄마는 임신했을 때 입덧이 너무 심해서
아무것도 못 먹고 링거를 맞으며 입원까지 했었다.


그에 비하면 나는 단지 약간 울렁거릴 뿐,
‘이 정도도 입덧이라고 해야 하나?’ 싶을 정도였다.
그래서 입덧의 고통은 잘 느끼지 못했다.


불안과 버팀 사이에서


임신 초기, 나는 기쁘지도 않고 즐겁지도 않았다.
해야 할 일은 태산 같고, 몸은 괴롭고, 마음은 불안했다.


1달 만에 다시 찾은 정신의학과.
선생님은 내 임신 소식을 듣자 너무 기뻐하시며 진심으로 축하해 주셨다.
“약은 더는 드릴 수 없으니, 앞으로 한 달에 한 번씩 상담을 이어가자” 하고 말씀하셨다.


그리고 물으셨다.
“요즘 기분이 어때요?”


나는 망설임 없이 대답했다.


“아무 느낌도 없고… 기쁘지도 않아요.”


그 말을 내 입으로 직접 내뱉고 나서, 나 스스로도 놀랐다.
하지만 상담을 이어가다 보니 알게 되었다.
몸이 힘든 것보다도, 출산 이후의 일들과 앞으로의 걱정이

머릿속에 몰려와 있었다는 걸.


상담 후 진행한 심리검사에서도 변화가 뚜렷했다.
몇 달 전 검사에서의 답변과는 정반대 결과가 나왔다.
그만큼 지금의 나는, 다른 마음 상태 속에 있었다.


그럼에도 불구하고, 하루하루 버티며 달력을 넘긴다.
아기의 심장이 계속 뛰고 있다는 사실만으로도,
나는 조금 더 살아낼 힘을 얻는다.


keyword
이전 03화2화. 위고비 맞고 임신이라니, 나 괜찮은 걸까?