숙제는 했는데 잘..터졌나요?
의사가 자연임신을 원한다면 바로 시도하라고 했지만, 모든 일에는 순서가 있는 법이라 생각했다.
마음이 조급했지만, 나와 남편은 많은 변수를 예측하고 계획적으로 움직이는 J형 성격이었다.
나는 결혼을 하면서 거주지역을 옮기고 이직을 했기 때문에 새로운 곳에서 적응할 시간이 필요했다.
또, 출산하고 육아휴직을 쓰면서 안정적으로 아기를 키우려면 새 직장에서 일정기간 이상 근무한 후에 임신해야 했다.
그렇게 산전검사를 하고도 1년쯤 지나서야 우리가 생각한 '아기가 생겨도 괜찮을 환경'이 되었다.
그제야 우리는 피임을 멈췄다.
새벽 4시, 눈이 번쩍! 떠졌다.
아침 첫 소변으로 임신 테스트를 하기 위해서였다.
부부관계를 가진 지 일주일밖에 되지 않아서 아직 테스트하기에 이른 시기였지만, '혹시 아기가 생긴 게 아닐까'하는 기대가 알람 없이도 눈 뜨게 했다.
이 설레발을 들키지 않기 위해 아직 자는 남편이 깨지 않게 조용히 방을 빠져나왔다.
이미 테스트 결과를 기다리면서 잠이 다 달아난 게 무색하게도 테스트기는 한 줄이었다.
임신 시도 첫 달인데도 테스트기에 두 줄 뜨는 것이 당연한 일인 것 처럼 실망스러웠다.
피임만 하지 않으면 아기가 바로 생길 줄 알았나보다. 이럴 줄 알았으면 그간 피임한 것이 무슨 의미였나 싶었다.
욕심도 많지, 아니면 아직 감이 없었던 것일 수도.
그 후로 '배란 테스트기'의 도움을 받기 시작했다.
(*배란 테스트기는 임신 테스트기와 사용방법은 같은데, 테스트기 사진을 찍어서 어플에 입력하면 배란일을 알려준다.)
배란 10일 차쯤 되면 혼자만의 싸움이 시작됐다.
몸 상태에 예민하게 귀 기울이면 이상한 곳은 많기도 했다.
졸음, 아랫배 당김, 설사, 심지어 방귀가 잦아지는 것까지도 임신 증상 같았다.
그 덕에 임신 테스트는 하루를 시작하는 통과의례가 됐다.
생리 전까지 마음이 조마조마했지만 '혹시나' 하는 기대를 품고 시험대에 올랐다.
단순히 생리가 늦어졌을 뿐이여도 '생리예정일이 지난 후에 두 줄이 나오기도 한다'는 가능성 낮은 후기가 끝까지 마음을 내려놓지 못하게 만들었다.
바쁜 일상 속에서 배란기의 찬스는 생각보다 짧아서 한 달 한 달, 시간은 잘도 흘러갔다.
미련없이 다음 단계로 넘어갔다.
최근에 임신한 친구가 조언한 것이 있었다.
자기는 1년 동안 나팔관이 막힌 줄 모르고 임신 시도했던 시간이 너무 아깝다며 꼭 확인하라는 것이다.
이름도 생소한 검사에 대해 알아보고 서둘러 예약하려 했지만, 생각보다 나팔관조영술을 하지 않는 곳이 많았다.
(*나팔관조영술은 조영제를 주입해서 나팔관을 통과하는지 보며 나팔관과 자궁의 유착이나 막힘 여부를 확인하는 검사이다.)
그 중 어떤 곳은 평일에만 가능했고, 어떤 곳은 재진일 경우에만 가능하다고 했다.
또, 생리주기를 고려하여 검사 가능한 시기는 한 달에 1주일도 안되었다.
쉬운 게 없었다.
병원 스케줄과 내 몸의 스케줄이 맞는 날, 나는 급히 반차를 내고 내원했다.
사람마다 통증이 다르다 했지만, 누구는 출산보다 아팠다고 할 정도로 명성이 자자한 검사였다.
그래서 걱정됐지만, 물러날 곳은 없다고 생각했다.
그 날 쓴 일기에 '검사는 숨이 가빠질 정도로 아파서 심호흡을 하며 힘들게 받았다'라고 적혀있다.
하지만 검사결과를 듣는 순간, 마음 속으로 외쳤다. "이거면 됐다!"
간호사는 웃으며 위로했다.
"나팔관이 양쪽 다 뚫려 있어요. 그래서 이 정도만 아픈 거예요."
나팔관조영술 후에 임신이 잘 된다는 이야기를 들었다.
마침 아랫배가 콕콕거렸고, 가슴 통증도 있었고, 입과 턱 주변에 트러블도 생겨서 '이번에는 정말 임신한걸까' 기대했는데...
하지만 그 달도 임신은 되지 않았다.
그래서 '증상놀이'라고 하나보다.
희망고문이 따로 없었다.
독감환자가 유난히 많던 겨울, 동지날이었다.
자꾸만 마른기침이 났지만, 이번 달에 세운 임신 계획이 있었기 때문에 퇴근 후, 이비인후과를 포기하고 집 근처 산부인과로 향했다.
배란초음파를 보기로 한 날이었다.
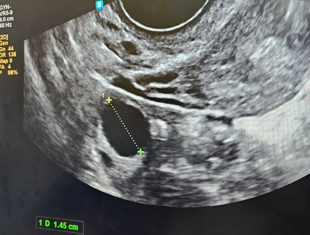
배란초음파로 본 난포크기는 1.6mm였고, 처음으로 의사에게 3일의 '숙제날'을 받았다.
(*난포는 하루에 0.2mm 정도 자라고, 2.0mm 이상으로 자라면 터져서 난자가 방출된다)
숙제 후에는 난포가 잘 터졌는지 확인해야 해서 26일, 다시 내원했다.
초음파를 보던 의사 선생님이 말하길,
"어? 난포가 안 터졌네?"
그럴 수도 있는 것이었다..
이런 경우, 2차 숙제를 또 내줬는데 평일의 피로를 무시하고 그 중 하루라도 관계를 가져야 마음이 편했다.
숙제를 완벽히 하지 못하더라도 성의를 보이며 모범생을 자처하는 이유는 지나간 기회에 대한 후회와 원망을 남기지 않기 위해서였다.
체력이 보통 필요한 게 아니었다.
이 때의 부부관계는 욕구와 애정 위에 의무가 있는 행위인지라 두 사람 모두 반갑지 않은 경우도 예삿일이었다.
(이런 식으로 3주 내내 달려야 했던 한 부부의 남편이, 그런 말은 나도 하겠다며 산부인과 쫓아가겠다고 격분했다는 웃픈 이야기를 들은 적이 있다 하. 하.)
29일, 3차 배란초음파 보는 날.
웃픈 이야기의 주인공이 되지 않길 바랐다.
"잘 터졌네요. 축하해요."
임신한 것도 아니고, 난포가 잘 터진 것도 축하할 일인 줄 이 날 알았다.
성교육 비디오 중 '정자가 난자를 만나러 가는 레이스' 장면에서 들었던 실감 나는 내레이션이 떠올랐다. 생명은 많은 난관을 뚫고 귀하게 탄생한다는 것을 새삼 스레 깨닫는 순간이었다.
하지만 배란초음파를 세 번이나 본 12월도 우리의 노력은 결실을 맺지 못하고 흘러갔다.
'아기가 언제쯤 찾아올까?' 애타는 마음이 커졌다.
그래도 가장 좋은 때, 가장 예쁘고 건강한 모습으로 만날 거라 믿으며 평정심을 유지하려고 노력했다.